• Profesionales
    • Enfermería
    • Directivos de la Salud
    • Derecho Sanitario
    • Farmacia
    • Ingeniería Hospitalaria
    • Más profesiones sanitarias
    • Medicina
  • Política
    • Empleo / Oposiciones
    • Ministerio de Sanidad
    • Parlamentarios de Sanidad
    • Sanidad hoy
  • Formación
    • Estudiantes
    • MIR
    • EIR y más residentes
  • Empresas
    • Industria farmacéutica
    • Sanidad privada
    • Tecnología sanitaria
  • Especialidades
    • Cardiología
    • Dermatología
    • Farmacia Hospitalaria
    • Hematología y Hemoterapia
    • Medicina Familia
    • Medicina Interna
    • Neumología
    • Neurología
    • Oncología
    • Pediatría
    • Psiquiatría
    • Radiología
  • Autonomías
    • Andalucía
    • Cataluña
    • Madrid
    • C. Valenciana
    • Galicia
    • Castilla y León
    • País Vasco
    • Canarias
    • C-La Mancha
    • Murcia
    • Aragón
    • Extremadura
    • Asturias
    • Baleares
    • Navarra
    • Cantabria
    • La Rioja
  • Podcast
    • PÓDCAST Especialidades
    • PÓDCAST Política Sanitaria
  • El Bisturí
  • Hemeroteca
  • Pódcast
  • Más Noticias de Sanidad
  • Newsletter
  • Recursos de Salud
Opinión
La Revista
  • Linkedin
  • Tritter/X
  • Facebook
  • YouTube
  • Instagram
  • WhatsApp
  • Es noticia
  • Decreto MIR
  • Presupuesto Canarias
  • Inserción laboral en Medicina
  • Examen MIR
  • Plazas MIR 2026 en Baleares
  • Estatuto Marco
  • Linkedin
  • Tritter/X
  • Facebook
  • YouTube
  • Instagram
  • WhatsApp
  • Profesionales
    • Enfermería
    • Directivos de la Salud
    • Derecho Sanitario
    • Farmacia
    • Ingeniería Hospitalaria
    • Más profesiones sanitarias
    • Medicina
  • Política
    • Empleo / Oposiciones
    • Ministerio de Sanidad
    • Parlamentarios de Sanidad
    • Sanidad hoy
  • Formación
    • Estudiantes
    • MIR
    • EIR y más residentes
  • Empresas
    • Industria farmacéutica
    • Sanidad privada
    • Tecnología sanitaria
  • Especialidades
    • Cardiología
    • Dermatología
    • Farmacia Hospitalaria
    • Hematología y Hemoterapia
    • Medicina Familia
    • Medicina Interna
    • Neumología
    • Neurología
    • Oncología
    • Pediatría
    • Psiquiatría
    • Radiología
  • Autonomías
    • Andalucía
    • Cataluña
    • Madrid
    • C. Valenciana
    • Galicia
    • Castilla y León
    • País Vasco
    • Canarias
    • C-La Mancha
    • Murcia
    • Aragón
    • Extremadura
    • Asturias
    • Baleares
    • Navarra
    • Cantabria
    • La Rioja
  • El Bisturí
  • Hemeroteca
  • Pódcast
  • Más Noticias de Sanidad
  • Newsletter
  • Recursos de Salud
Opinión
La Revista
  • Linkedin
  • Tritter/X
  • Facebook
  • YouTube
  • Instagram
  • WhatsApp
  • Profesionales
    Derecho Sanitario Directivos de la Salud Enfermería Farmacia Ingeniería Hospitalaria Más profesiones sanitarias Medicina
  • Política
    Empleo / Oposiciones Ministerio de Sanidad Parlamentarios de Sanidad Sanidad hoy
  • Formación
    EIR y más residentes Estudiantes MIR
  • Empresas
    Industria farmacéutica Sanidad privada Tecnología sanitaria
  • Especialidades
    Cardiología Dermatología Farmacia Hospitalaria Hematología y Hemoterapia Medicina Familia Medicina Interna Neumología Neurología Oncología Pediatría Psiquiatría Radiología
  • Autonomías
    Andalucía
    Cataluña
    Madrid
    C. Valenciana
    Galicia
    Castilla y León
    País Vasco
    Canarias
    C-La Mancha
    Murcia
    Aragón
    Extremadura
    Asturias
    Baleares
    Navarra
    Cantabria
    La Rioja
  • El Bisturí
  • Pódcast
  • Opinión
  • La Revista
  • Portada
  • Secciones
  • Especialidades


Enfermería consigue mejorar la calidad vida de niños con TDAH

Enfermería consigue mejorar la calidad vida de niños con TDAH

Hematología apunta a la calidad de vida del paciente con mieloma múltiple

Hematología apunta a la calidad de vida del paciente con mieloma múltiple

La SEMI participa en un software para diagnosticar enfermedades autoinmunes

La SEMI participa en un software para diagnosticar enfermedades autoinmunes


Covid-19: los niños infectan menos a los adultos que a la inversa

Covid-19: los niños infectan menos a los adultos que a la inversa

"Todos los centros de trasplante de médula ya están a pleno rendimiento"

"Todos los centros de trasplante de médula ya están a pleno rendimiento"

El CSIC crea hidrogeles para cultivar células T y usarlas en inmunoterapia

El CSIC crea hidrogeles para cultivar células T y usarlas en inmunoterapia


Dos de cada tres pacientes con párkinson empeoraron en el confinamiento

Dos de cada tres pacientes con párkinson empeoraron en el confinamiento

El SAS participa en un ensayo que usa valproato para el Síndrome de Wolfram

El SAS participa en un ensayo que usa valproato para el Síndrome de Wolfram

Psiquiatría: el cole presencial "es fundamental para que el niño socialice"

Psiquiatría: el cole presencial "es fundamental para que el niño socialice"


"El Plan de Salud Mental debe mirar al consenso internacional"

"El Plan de Salud Mental debe mirar al consenso internacional"

Covid-19: los niños sin síntomas transmiten el virus durante semanas

Covid-19: los niños sin síntomas transmiten el virus durante semanas

La microbiota juega un papel fundamental en la salud de la persona

La microbiota juega un papel fundamental en la salud de la persona


Covid-19: el mayor estudio del mundo en niños halla un nuevo síntoma

Covid-19: el mayor estudio del mundo en niños halla un nuevo síntoma

Covid-19: Separ forma a más de 2.000 profesionales sanitarios en su manejo

Covid-19: Separ forma a más de 2.000 profesionales sanitarios en su manejo

Asocian deterioro cognitivo y mal pronóstico de la insuficiencia cardiaca

Asocian deterioro cognitivo y mal pronóstico de la insuficiencia cardiaca


Una terapia de moléculas pequeñas reduce la metástasis del cáncer de colon

Una terapia de moléculas pequeñas reduce la metástasis del cáncer de colon

Covid-19: Esta calculadora permite saber el riesgo de contagio en colegios

Covid-19: Esta calculadora permite saber el riesgo de contagio en colegios

Familia desmiente la falta de actividad contra el Covid-19 en Primaria

Familia desmiente la falta de actividad contra el Covid-19 en Primaria


Segunda ola Covid | "No sabemos si los cuidados intermedios estarán listos"

Segunda ola Covid | "No sabemos si los cuidados intermedios estarán listos"

Concurso TRD Sergas: Neumología tampoco ve lógico tanto cambio de equipos

Concurso TRD Sergas: Neumología tampoco ve lógico tanto cambio de equipos

Récord de ataques de ansiedad durante la pandemia del Covid-19

Récord de ataques de ansiedad durante la pandemia del Covid-19


El 15% de los ingresados por Covid tiene trombosis venosas asintomáticas

El 15% de los ingresados por Covid tiene trombosis venosas asintomáticas

Separ pide mascarilla siempre, incluso en niños y enfermos respiratorios

Separ pide mascarilla siempre, incluso en niños y enfermos respiratorios

Familia e Interna tachan de "amenaza social" a negacionistas del Covid-19

Familia e Interna tachan de "amenaza social" a negacionistas del Covid-19


Los médicos descubren la respuesta del cuerpo a la dieta 'de moda'

Los médicos descubren la respuesta del cuerpo a la dieta 'de moda'

Covid-19: un estudio relaciona el SARS-CoV-2 con pérdidas de memoria

Covid-19: un estudio relaciona el SARS-CoV-2 con pérdidas de memoria

Los pacientes VIH con progresión lenta tienen un perfil genético distinto

Los pacientes VIH con progresión lenta tienen un perfil genético distinto


Interna ve "inaceptable" no estar en el Plan frente al Covid de Sanidad

Interna ve "inaceptable" no estar en el Plan frente al Covid de Sanidad

VIH: miden el efecto inmunológico a largo plazo de varios antirretrovirales

VIH: miden el efecto inmunológico a largo plazo de varios antirretrovirales

Covid-19: la vuelta al cole presencial favorece el desarrollo emocional

Covid-19: la vuelta al cole presencial favorece el desarrollo emocional


Los antibióticos aumentan el riesgo de enfermedad inflamatoria intestinal

Los antibióticos aumentan el riesgo de enfermedad inflamatoria intestinal

El Covid-19 no se transmite a través de la leche materna

El Covid-19 no se transmite a través de la leche materna

Los niños son propagadores silenciosos del Covid-19

Los niños son propagadores silenciosos del Covid-19


Crean unas células humanas que producen insulina para tratar la diabetes

Crean unas células humanas que producen insulina para tratar la diabetes

Descartado que el síndrome en niños vinculado al Covid-19 sea Kawasaki

Descartado que el síndrome en niños vinculado al Covid-19 sea Kawasaki

El uso excesivo de antibióticos reduce la supervivencia en cáncer de vejiga

El uso excesivo de antibióticos reduce la supervivencia en cáncer de vejiga


Vall d'Hebron relaciona gestantes con Covid con edema en la piel de fetos

Vall d'Hebron relaciona gestantes con Covid con edema en la piel de fetos

Identifican biomarcadores en sangre que avanzan el riesgo de alzhéimer

Identifican biomarcadores en sangre que avanzan el riesgo de alzhéimer

Los neumólogos celebran prohibir fumar para frenar la propagación del Covid

Los neumólogos celebran prohibir fumar para frenar la propagación del Covid


Covid: Neumología pide a Illa prohibir fumar sin distancia en toda España

Covid: Neumología pide a Illa prohibir fumar sin distancia en toda España

Covid-19| "La hidroxicloroquina como profilaxis apenas se ha estudiado"

Covid-19| "La hidroxicloroquina como profilaxis apenas se ha estudiado"

El sedentarismo aumenta el riesgo de hospitalización con bronquiectasias

El sedentarismo aumenta el riesgo de hospitalización con bronquiectasias


El 41º Congreso SEMI centra su programa en nuevas tecnologías y Covid-19

El 41º Congreso SEMI centra su programa en nuevas tecnologías y Covid-19

Separ y Fenaer advierten: "las actividades de formación sanitaria peligran"

Separ y Fenaer advierten: "las actividades de formación sanitaria peligran"

"Hay jóvenes que meses después de pasar el Covid-19 no pueden ni moverse"

"Hay jóvenes que meses después de pasar el Covid-19 no pueden ni moverse"


Los médicos de Familia alertan de pacientes con Covid-19 persistente

Los médicos de Familia alertan de pacientes con Covid-19 persistente

Familia denuncia la opacidad de las CCAA con el sistema de rastreo de Covid

Familia denuncia la opacidad de las CCAA con el sistema de rastreo de Covid

Covid-19: médicos piden prohibir de urgencia fumar en la hostelería

Covid-19: médicos piden prohibir de urgencia fumar en la hostelería


Covid19: la SEFH ayuda a 155 servicios hospitalarios con su Fondo Solidario

Covid19: la SEFH ayuda a 155 servicios hospitalarios con su Fondo Solidario

"Ha habido pérdida de la relación médico-paciente tras el Covid-19"

"Ha habido pérdida de la relación médico-paciente tras el Covid-19"

La prescripción electrónica evita hasta un 65% de errores de medicación

La prescripción electrónica evita hasta un 65% de errores de medicación


El CNIO camina hacia un nuevo tratamiento para tumores pediátricos

El CNIO camina hacia un nuevo tratamiento para tumores pediátricos

MIR 2020: La Paz es el hospital favorito para realizar Oncología Médica

MIR 2020: La Paz es el hospital favorito para realizar Oncología Médica

Fusionar dos inmunoterapias aumenta su eficacia para tratar la leucemia

Fusionar dos inmunoterapias aumenta su eficacia para tratar la leucemia


La SEHH, "inquieta" por que prohíban que la industria financie la formación

La SEHH, "inquieta" por que prohíban que la industria financie la formación

Covid-19: ocho de cada 10 pacientes ve en Atención Primaria su "gran apoyo"

Covid-19: ocho de cada 10 pacientes ve en Atención Primaria su "gran apoyo"

Un nuevo mecanismo regulador abre la ventana al tratamiento de la leucemia

Un nuevo mecanismo regulador abre la ventana al tratamiento de la leucemia


Pediatras avisan de que no volverán a su práctica "normal" tras el Covid-19

Pediatras avisan de que no volverán a su práctica "normal" tras el Covid-19

"Las categorías diagnósticas cerradas en TDAH y autismo ya no son útiles"

"Las categorías diagnósticas cerradas en TDAH y autismo ya no son útiles"

Separ pide al Gobierno que "reconozca el trabajo" de las sociedades médicas

Separ pide al Gobierno que "reconozca el trabajo" de las sociedades médicas


Covid-19: deporte en familia como plan para contrarrestar el confinamiento

Covid-19: deporte en familia como plan para contrarrestar el confinamiento

Las niñas con TDAH son menos hiperactivas físicamente que los niños

Las niñas con TDAH son menos hiperactivas físicamente que los niños

MIR 2020: Interna considera un éxito la elección y atisba su consolidación

MIR 2020: Interna considera un éxito la elección y atisba su consolidación


Mindfulness para mejorar la templanza de los padres de niños con TDAH

Mindfulness para mejorar la templanza de los padres de niños con TDAH

La medicación estimulante del TDAH es relativamente segura en mayores

La medicación estimulante del TDAH es relativamente segura en mayores

Una buena 'reserva cognitiva' mantiene el cerebro sano pasados los 90 años

Una buena 'reserva cognitiva' mantiene el cerebro sano pasados los 90 años


Consenso para tratar el abuso de sustancias en adolescentes con TDAH

Consenso para tratar el abuso de sustancias en adolescentes con TDAH

Un análisis de sangre detecta el cáncer 4 años antes de su aparición

Un análisis de sangre detecta el cáncer 4 años antes de su aparición

Covid-19: Neumología investiga qué llevó a los pacientes a la UCI

Covid-19: Neumología investiga qué llevó a los pacientes a la UCI


Andalucía da su sello de calidad a la Farmacia de Serranía de Málaga

Andalucía da su sello de calidad a la Farmacia de Serranía de Málaga

Los medicamentos con código de barras evitan errores y optimizan beneficios

Los medicamentos con código de barras evitan errores y optimizan beneficios

Un nanofármaco bloquea las células de la leucemia sin dañar las sanas

Un nanofármaco bloquea las células de la leucemia sin dañar las sanas


Dermatología postCovid: 'sándwich' entre la asistencia presencial y virtual

Dermatología postCovid: 'sándwich' entre la asistencia presencial y virtual

La mitad de nuevos casos de párkinson en España está sin diagnosticar

La mitad de nuevos casos de párkinson en España está sin diagnosticar

La CART pública, a punto de aprobarse y con la vista en 11 hospitales

La CART pública, a punto de aprobarse y con la vista en 11 hospitales


Los dermatólogos quieren formarse en cáncer y enfermedades autoinmunes

Los dermatólogos quieren formarse en cáncer y enfermedades autoinmunes

Los pediatras lanzan un registro nacional de niños afectados por Covid-19

Los pediatras lanzan un registro nacional de niños afectados por Covid-19

El Covid preocupa más a Cardiología por el daño miocárdico que por infartos

El Covid preocupa más a Cardiología por el daño miocárdico que por infartos


Covid-19 | Observan un aumento de la pérdida acelerada del pelo

Covid-19 | Observan un aumento de la pérdida acelerada del pelo

Tras un 'bypass', hacer ejercicio por la mañana ayuda a dormir mejor

Tras un 'bypass', hacer ejercicio por la mañana ayuda a dormir mejor

Separ reclama a Sanidad una ley contra la "pandemia" del amianto

Separ reclama a Sanidad una ley contra la "pandemia" del amianto


Un defecto cardiaco leve de niño aumenta el riesgo de enfermedades crónicas

Un defecto cardiaco leve de niño aumenta el riesgo de enfermedades crónicas

Las estatinas reducen el riesgo de muerte en mayores de 75 años

Las estatinas reducen el riesgo de muerte en mayores de 75 años

Un hospital descubre que el 18% de embarazadas ingresadas tenían Covid-19

Un hospital descubre que el 18% de embarazadas ingresadas tenían Covid-19


Dermatología alerta de problemas por uso de gel hidroalcohólico en verano

Dermatología alerta de problemas por uso de gel hidroalcohólico en verano

Covid-19: piden transformar la salud mental y potencial la telepsiquiatría

Covid-19: piden transformar la salud mental y potencial la telepsiquiatría

"La telepsiquiatría se mantendrá por la propia demanda de los pacientes"

"La telepsiquiatría se mantendrá por la propia demanda de los pacientes"


Covid-19: más de la mitad de los pacientes desarrolla síntomas neurológicos

Covid-19: más de la mitad de los pacientes desarrolla síntomas neurológicos

La SEMI distingue a 27 servicios de Interna por su "excelente atención"

La SEMI distingue a 27 servicios de Interna por su "excelente atención"

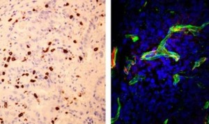
Los vasos sanguíneos "se comunican" con las neuronas sensoriales

Los vasos sanguíneos "se comunican" con las neuronas sensoriales


Primera 76 77 78 79 80 90 100 110 120 130 Última

Certificado bajo medición GfK DAM
Una publicación de
Copyright © 2004 - 2025 Sanitaria 2000
Linkedin Tritter/X Facebook YouTube Instagram WhatsApp
Aviso legal y condiciones de uso
Soporte válido 3-23-WCM Redacción Médica: La información que figura en esta edición digital está dirigida exclusivamente al profesional destinado a prescribir o dispensar medicamentos por lo que se requiere una formación especializada para su correcta interpretación
  • Quiénes somos
  • Publicidad
  • Política de privacidad
  • Política de cookies
  • Inscripción actividades
agencia digital  | 323WCM23