Los trasplantes de pulmón son una alternativa para los pacientes que desarrollan fibrosis pulmonar

Covid-19: nuevo tratamiento "potencial" identificado para casos graves


SE LEE EN 4 minutos
POR CRISTIAN GALLEGOS
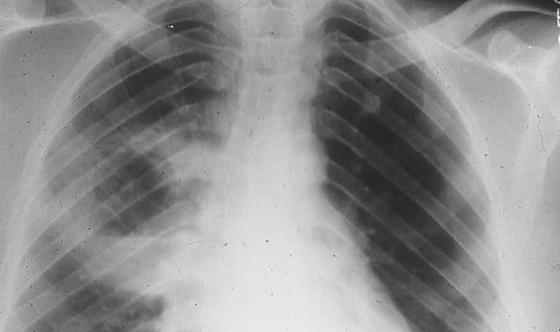
Algunos de los pacientes contagiados por el Covid-19 desarrollan una lesión pulmonar irreversible. Para estos casos que no pueden ser retirados de la ventilación mecánica, el trasplante de pulmón surge como única opción para salvarle la vida. Un estudio revela que tras el trasplante que se hizo a tres pacientes que tenían insuficiencia respiratoria asociada al coronavirus el ARN del SARS-CoV-2 no pudo detectarse en los pulmones explantados, pero se observaron patología fibrótica y cambios transcripcionales que se asemejan a los de los pulmones de pacientes con fibrosis pulmonar.

DIRECTO | Última hora y novedades sobre el coronavirus Covid-19

El estudio publicado en la revista Science presenta los primeros pasos que realizaron los autores con tres pacientes con insuficiencia respiratoria asociada al Covid-19: una mujer latina de 28 años con neuromielitis óptica, un hombre de 62 años con hipertensión que fue sometido a ECMO veno-venoso, por síndrome de dificultad respiratoria aguda (SDRA) grave, inducido por Covid-19 y un hombre de 43 años con diabetes mellitus tipo 2 médicamente controlada, el cual requirió ventilación mecánica y ECMO veno-venoso durante tres y seis días.

“Realizamos hibridación in situ de fluorescencia de una sola molécula (smFISH) para detectar hebras positivas y negativas de ARN del SARS-CoV-2 en tejido pulmonar explantado de los tres pacientes y en muestras de tejido pulmonar de control adicionales. Realizamos imágenes de matriz extracelular y secuenciación de ARN unicelular en tejido pulmonar explantado de los tres pacientes que se sometieron a trasplante y en biopsias pulmonares postmortem calientes de dos pacientes que habían muerto de neumonía asociada al coronavirus”, señalan los investigadores.


Aparición de lesión y fibrosis pulmonar 


Tras los primeros exámenes, los científicos detectaron que los pulmones de estos cinco pacientes contagiados por el virus estaban libres de SARS-CoV-2 según lo detectado por smFISH, pero la patología "mostró evidencia extensa de lesión y fibrosis que se asemejaba a la fibrosis pulmonar en etapa terminal”, explican los investigadores. En esta línea, los autores del estudio explican que algunos pacientes con Covid-19 grave desarrollan enfermedad pulmonar fibrótica para la cual el trasplante de pulmón es su única opción de supervivencia.


Trasplante de pulmón y Covid-19


El trasplante de pulmón es un tratamiento que salva vidas para una variedad de enfermedades pulmonares en etapa terminal. Anualmente, se realizan más de 2.700 trasplantes de pulmón en Estados Unidos con una supervivencia a 1 año de más del 90 por ciento y una supervivencia a 3 años de más del 75 por ciento.

Los expertos del estudio explican que hay limitaciones sobre el uso del trasplante de pulmón como terapia para pacientes con SDRA grave secundario a Covid-19. "En primer lugar, existe la preocupación de que el SARS-CoV-2 o los patógenos superinfectantes asociados con la neumonía viral en el pulmón nativo puedan reaparecer en el aloinjerto. En segundo lugar, el daño vascular y pleural severo secundario a la infección por SARS-CoV-2 podría crear barreras técnicas para el trasplante, aumentar el tiempo en que los tejidos están isquémicos y empeorar los resultados. En tercer lugar, el grave desacondicionamiento asociado con la ventilación mecánica prolongada, la sedación y el bloqueo neuromuscular podrían complicar la recuperación después del trasplante. En cuarto lugar, existe incertidumbre sobre si el pulmón puede repararse a sí mismo después de una neumonía grave asociada al SARS-CoV-2; la reparación pulmonar eficaz daría lugar a resultados a largo plazo mejores que el trasplante de pulmón", sentencian los autores de la publicación.
Las informaciones publicadas en Redacción Médica contienen afirmaciones, datos y declaraciones procedentes de instituciones oficiales y profesionales sanitarios. No obstante, ante cualquier duda relacionada con su salud, consulte con su especialista sanitario correspondiente.