Logran producir imágenes de microscopio electrónico de partículas intactas de coronavirus en la mucosa olfativa

Covid: las autopsias apuntan a que entra en el cerebro a través de la nariz
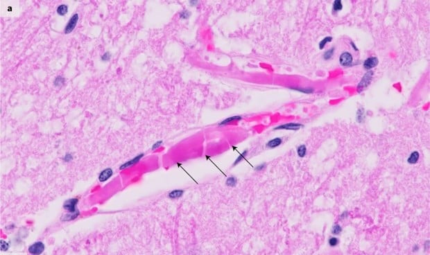
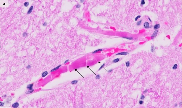
Signos de eventos (micro)tromboembólicos e inmunotinción de SARS-CoV-2 en el sistema nervioso central de personas fallecidas con Covid-19. Nature.


SE LEE EN 3 minutos
POR MARÍA GARCÍA
Un equipo de investigadores de Charité - Universitätsmedizin Berlín ha estudiado con muestras de tejido post-mortem los mecanismos por los cuales el nuevo coronavirus puede llegar al cerebro de pacientes con Covid-19. Los resultados, que muestran que el SARS-CoV-2 ingresa en este órgano a través de las células nerviosas de la mucosa olfativa, se han publicado en Nature Neuroscience.

Los investigadores partían de la base que si se han notificado síntomas neurológicos en una gran mayoría de personas con Covid-19 era probable que el SARS-CoV-2 penetrase en el sistema nervioso central. Bajo el liderazgo Helena Radbruch y Frank Heppner, del Departamento de Neuropatología del Charité, el equipo multidisciplinario ha rastreado cómo el virus ingresa al sistema nervioso central y posteriormente invade el cerebro.

DIRECTO | Última hora y novedades sobre el coronavirus Covid-19



"El SARS-CoV-2 puede ingresar al sistema nervioso cruzado la interfaz neural-mucosa en la mucosa olfatoria"


A través de diversas técnicas, como la inmunohistoquímica, han conseguido demostrar la presencia de ARN y proteína del SARS-CoV-2 en regiones anatómicamente distintas de la nasofaringe y el cerebro. "Pudimos diseccionar las células que albergan el virus y arrojar luz sobre el mecanismo de entrada del sistenma nervioso central del SARS-CoV-2 en la interfaz neural-mucosa en la mucosa olfativa", explican los autores.

Así, han visto que el "SARS-CoV-2 puede ingresar al sistema nervioso cruzando la interfaz neural-mucosa en la mucosa olfatoria, aprovechando las inmediaciones de la mucosa olfatoria, tejido endotelial y nervioso, incluidas las delicadas terminaciones nerviosas olfativas y sensoriales. Posteriormente, el SARS-CoV-2 parece seguir las estructuras neuroanatómicas, penetrando áreas neuroanatómicas definidas, incluido el centro primario de control respiratorio y cardiovascular en el bulbo raquídeo", describen.

Puede tener un impacto exacerbado en la función respiratoria


"También pudimos visualizar partículas de CoV intactas a nivel ultraestructural. Además, describimos los cambios morfológicos asociados con la infección, como el infarto isquémico tromboembólico del sistema nervioso central y presentamos evidencia de neurotropismo del SARS-CoV-2", añaden. Por primera vez, este equipo ha logrado producir imágenes de microscopio electrónico de partículas intactas de coronavirus dentro de la mucosa olfativa.

"Es importante destacar, sin embargo, que los pacientes Covid-19 involucrados en este estudio tenían lo que se definiría como enfermedad grave, perteneciendo a ese pequeño grupo de pacientes en los que la enfermedad resulta fatal. No es necesariamente posible, por lo tanto, transferir los resultados de nuestro estudio a casos con enfermedad leve o moderada", resalta Heppner.

“También encontramos SARS-CoV-2 en áreas del cerebro que controlan funciones vitales, como la respiración. No se puede descartar que, en pacientes con Covid-19 grave, la presencia del virus en estas áreas del cerebro tenga un impacto exacerbado en la función respiratoria, sumando problemas respiratorios debido a la infección pulmonar por SARS-CoV-2 . Pueden surgir problemas similares en relación con la función cardiovascular", ha añadido.
Las informaciones publicadas en Redacción Médica contienen afirmaciones, datos y declaraciones procedentes de instituciones oficiales y profesionales sanitarios. No obstante, ante cualquier duda relacionada con su salud, consulte con su especialista sanitario correspondiente.