• Profesionales
    • Enfermería
    • Directivos de la Salud
    • Derecho Sanitario
    • Farmacia
    • Ingeniería Hospitalaria
    • Más profesiones sanitarias
    • Medicina
  • Política
    • Empleo / Oposiciones
    • Ministerio de Sanidad
    • Parlamentarios de Sanidad
    • Sanidad hoy
  • Formación
    • Estudiantes
    • MIR
    • EIR y más residentes
  • Empresas
    • Industria farmacéutica
    • Sanidad privada
    • Tecnología sanitaria
  • Especialidades
    • Cardiología
    • Dermatología
    • Farmacia Hospitalaria
    • Hematología y Hemoterapia
    • Medicina Familia
    • Medicina Interna
    • Neumología
    • Neurología
    • Oncología
    • Pediatría
    • Psiquiatría
    • Radiología
  • Autonomías
    • Andalucía
    • Cataluña
    • Madrid
    • C. Valenciana
    • Galicia
    • Castilla y León
    • País Vasco
    • Canarias
    • C-La Mancha
    • Murcia
    • Aragón
    • Extremadura
    • Asturias
    • Baleares
    • Navarra
    • Cantabria
    • La Rioja
  • Podcast
    • PÓDCAST Especialidades
    • PÓDCAST Política Sanitaria
  • El Bisturí
  • Hemeroteca
  • Pódcast
  • Más Noticias de Sanidad
  • Newsletter
  • Recursos de Salud
Opinión
La Revista
  • Linkedin
  • Tritter/X
  • Facebook
  • YouTube
  • Instagram
  • WhatsApp
  • Es noticia
  • Biotecnología sanitaria en Europa
  • Temarios FSE
  • VRS y gripe
  • Huelga médica
  • Negociación Estatuto Marco
  • Concierto Muface
  • Guardias médicas
  • Examen del PIR
  • Linkedin
  • Tritter/X
  • Facebook
  • YouTube
  • Instagram
  • WhatsApp
  • Profesionales
    • Enfermería
    • Directivos de la Salud
    • Derecho Sanitario
    • Farmacia
    • Ingeniería Hospitalaria
    • Más profesiones sanitarias
    • Medicina
  • Política
    • Empleo / Oposiciones
    • Ministerio de Sanidad
    • Parlamentarios de Sanidad
    • Sanidad hoy
  • Formación
    • Estudiantes
    • MIR
    • EIR y más residentes
  • Empresas
    • Industria farmacéutica
    • Sanidad privada
    • Tecnología sanitaria
  • Especialidades
    • Cardiología
    • Dermatología
    • Farmacia Hospitalaria
    • Hematología y Hemoterapia
    • Medicina Familia
    • Medicina Interna
    • Neumología
    • Neurología
    • Oncología
    • Pediatría
    • Psiquiatría
    • Radiología
  • Autonomías
    • Andalucía
    • Cataluña
    • Madrid
    • C. Valenciana
    • Galicia
    • Castilla y León
    • País Vasco
    • Canarias
    • C-La Mancha
    • Murcia
    • Aragón
    • Extremadura
    • Asturias
    • Baleares
    • Navarra
    • Cantabria
    • La Rioja
  • El Bisturí
  • Hemeroteca
  • Pódcast
  • Más Noticias de Sanidad
  • Newsletter
  • Recursos de Salud
Opinión
La Revista
  • Linkedin
  • Tritter/X
  • Facebook
  • YouTube
  • Instagram
  • WhatsApp
  • Profesionales
    Derecho Sanitario Directivos de la Salud Enfermería Farmacia Ingeniería Hospitalaria Más profesiones sanitarias Medicina
  • Política
    Empleo / Oposiciones Ministerio de Sanidad Parlamentarios de Sanidad Sanidad hoy
  • Formación
    EIR y más residentes Estudiantes MIR
  • Empresas
    Industria farmacéutica Sanidad privada Tecnología sanitaria
  • Especialidades
    Cardiología Dermatología Farmacia Hospitalaria Hematología y Hemoterapia Medicina Familia Medicina Interna Neumología Neurología Oncología Pediatría Psiquiatría Radiología
  • Autonomías
    Andalucía
    Cataluña
    Madrid
    C. Valenciana
    Galicia
    Castilla y León
    País Vasco
    Canarias
    C-La Mancha
    Murcia
    Aragón
    Extremadura
    Asturias
    Baleares
    Navarra
    Cantabria
    La Rioja
  • El Bisturí
  • Pódcast
  • Opinión
  • La Revista
  • Portada
  • Secciones
  • Especialidades


Hasta un 40% de los menores de seis años padecen caries tempranas

Hasta un 40% de los menores de seis años padecen caries tempranas

Los pediatras apoyan la creación de una formación ‘extra’ para los MIR

Los pediatras apoyan la creación de una formación ‘extra’ para los MIR

Los pediatras alertan del repunte de las ETS entre los adolescentes

Los pediatras alertan del repunte de las ETS entre los adolescentes


Los pediatras: menos cumbres con Salud y más soluciones para el día a día

Los pediatras: menos cumbres con Salud y más soluciones para el día a día

El ictus es la primera causa de muerte en mujeres en España

El ictus es la primera causa de muerte en mujeres en España

Falta un protocolo común entre Primaria y hospital sobre dolor articular

Falta un protocolo común entre Primaria y hospital sobre dolor articular


El paciente pluripatológico requiere "un cambio en la mentalidad en AP"

El paciente pluripatológico requiere "un cambio en la mentalidad en AP"

Feijóo pide a Pediatría propuestas para paliar el déficit de profesionales

Feijóo pide a Pediatría propuestas para paliar el déficit de profesionales

Los médicos de Familia españoles son los terceros de Europa más provacunas

Los médicos de Familia españoles son los terceros de Europa más provacunas


Cardiología pide un aumento del 10% en las plazas de su especialidad

Cardiología pide un aumento del 10% en las plazas de su especialidad

La Generalitat catalana detecta 24 brotes de impétigo en 2018

La Generalitat catalana detecta 24 brotes de impétigo en 2018

Un estudio abre nuevas vías para tratar el aneurisma aórtico abdominal

Un estudio abre nuevas vías para tratar el aneurisma aórtico abdominal


Los médicos de Familia catalanes apoyan despenalizar la eutanasia

Los médicos de Familia catalanes apoyan despenalizar la eutanasia

Operan de la médula espinal a dos bebés en el útero materno

Operan de la médula espinal a dos bebés en el útero materno

El sello SEMI-Excelente reconoce a 17 Servicios de Medicina Interna

El sello SEMI-Excelente reconoce a 17 Servicios de Medicina Interna


Una campaña visibiliza el TDAH, que afecta al 5% de la población en España

Una campaña visibiliza el TDAH, que afecta al 5% de la población en España

Identifican diferencias de género y sexo en las enfermedades coronarias

Identifican diferencias de género y sexo en las enfermedades coronarias

Pediatras recomiendan dar alimentos sólidos antes de los 10 meses

Pediatras recomiendan dar alimentos sólidos antes de los 10 meses


Eva Negro: "No existe un registro nacional de tutores FIR"

Eva Negro: "No existe un registro nacional de tutores FIR"

Dengue autóctono de España: los médicos explican sus síntomas y tratamiento

Dengue autóctono de España: los médicos explican sus síntomas y tratamiento

Redfaster da claves sobre la incorporación del farmacéutico a las Urgencias

Redfaster da claves sobre la incorporación del farmacéutico a las Urgencias


La atención 'online', tan válida como en consulta para tratar la psoriasis

La atención 'online', tan válida como en consulta para tratar la psoriasis

Encuentran que un viejo antibiótico es eficaz frente al cáncer de piel

Encuentran que un viejo antibiótico es eficaz frente al cáncer de piel

Farmacéuticos de hospital, en el II Congreso de Nutrición en Oncología

Farmacéuticos de hospital, en el II Congreso de Nutrición en Oncología


Investigan la prevalencia y la incidencia global de la rosácea

Investigan la prevalencia y la incidencia global de la rosácea

El 45% del los diagnosticados con melanoma portan una mutación BRAF

El 45% del los diagnosticados con melanoma portan una mutación BRAF

"El paciente y su entorno han de ser el motor de la atención farmacéutica"

"El paciente y su entorno han de ser el motor de la atención farmacéutica"


Un libro desmonta bulos sobre la piel basándose en la ciencia

Un libro desmonta bulos sobre la piel basándose en la ciencia

Premiado un MIR que estudia el impacto sexual de una enfermedad de la piel

Premiado un MIR que estudia el impacto sexual de una enfermedad de la piel

El intestino irritable, responsable de 1 de cada 4 consultas de Digestivo

El intestino irritable, responsable de 1 de cada 4 consultas de Digestivo


El cambio climático aumenta el riesgo cardiovascular en zonas mediterráneas

El cambio climático aumenta el riesgo cardiovascular en zonas mediterráneas

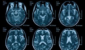
Las imágenes de resonancia magnética mejoran la prevención del ictus

Las imágenes de resonancia magnética mejoran la prevención del ictus

Nace un programa de atención integral de niños con cardiopatías congénitas

Nace un programa de atención integral de niños con cardiopatías congénitas


La cirugía bariátrica reduce un 40% infartos e ictus en obesos con diabetes

La cirugía bariátrica reduce un 40% infartos e ictus en obesos con diabetes

Una variante genética aumenta la incidencia de fibrilación auricular

Una variante genética aumenta la incidencia de fibrilación auricular

C's quiere mejorar con cursos la formación de la ciudadanía en RCP

C's quiere mejorar con cursos la formación de la ciudadanía en RCP


La SEFH y la URJC presentan un título de experto en análisis de datos

La SEFH y la URJC presentan un título de experto en análisis de datos

Descubren una forma de prevenir enfermedades del corazón en diabetes tipo 1

Descubren una forma de prevenir enfermedades del corazón en diabetes tipo 1

¿Por qué prolongar la vida de pacientes cardiacos depende de 20 minutos?

¿Por qué prolongar la vida de pacientes cardiacos depende de 20 minutos?


Residentes y tutores quieren que se valore la excelencia en el MIR

Residentes y tutores quieren que se valore la excelencia en el MIR

Lluís de Lecea: "El sueño está implicado en la respuesta inmune"

Lluís de Lecea: "El sueño está implicado en la respuesta inmune"

La Medicina generalista quiere saber cómo ve el crónico el sistema de salud

La Medicina generalista quiere saber cómo ve el crónico el sistema de salud


Los niños en hogares con fumadores sufren más infecciones respiratorias

Los niños en hogares con fumadores sufren más infecciones respiratorias

ESMO analiza los avances en cáncer de próstata y carcinoma

ESMO analiza los avances en cáncer de próstata y carcinoma

"Estemos de acuerdo en la financiación y resolvamos la precariedad de AP"

"Estemos de acuerdo en la financiación y resolvamos la precariedad de AP"


Semergen 2018: 'Iberican' confirma el aumento de la obesidad en España

Semergen 2018: 'Iberican' confirma el aumento de la obesidad en España

Semergen pone el broche de oro a su congreso más multitudinario

Semergen pone el broche de oro a su congreso más multitudinario

ESMO 2018 presenta nuevos avances en distintos subtipos de cáncer de mama

ESMO 2018 presenta nuevos avances en distintos subtipos de cáncer de mama


Recetar ejercicio físico no implica una carga más para el médico

Recetar ejercicio físico no implica una carga más para el médico

El mapa de competencias del médico de Familia ya está listo

El mapa de competencias del médico de Familia ya está listo

SEMG y los estudiantes de Medicina renuevan su convenio de formación

SEMG y los estudiantes de Medicina renuevan su convenio de formación


Sanidad resolverá 250 acreditaciones de unidades MIR antes de fin de año

Sanidad resolverá 250 acreditaciones de unidades MIR antes de fin de año

Semergen presenta una guía MIR para atender a crónicos complejos

Semergen presenta una guía MIR para atender a crónicos complejos

Así logró un modesto hospital español un gran paso contra el cáncer de mama

Así logró un modesto hospital español un gran paso contra el cáncer de mama


Oncología denuncia en el ESMO la demora en el reembolso de nuevos fármacos

Oncología denuncia en el ESMO la demora en el reembolso de nuevos fármacos

Troncalidad: El programa del MIR de Familia necesitará 'supertutores'

Troncalidad: El programa del MIR de Familia necesitará 'supertutores'

Una molécula, la relación entre la diabetes y la insuficiencia cardiaca

Una molécula, la relación entre la diabetes y la insuficiencia cardiaca


Descubierta una relación entre el consumo de café y la rosácea

Descubierta una relación entre el consumo de café y la rosácea

La Medicina de Familia ya está consolidada: ¿por qué siguen 3 sociedades?

La Medicina de Familia ya está consolidada: ¿por qué siguen 3 sociedades?

Ramón García Sanz, nuevo presidente electo de los hematólogos

Ramón García Sanz, nuevo presidente electo de los hematólogos


La financiación sanitaria debe alcanzar, como mínimo, el 7% del PIB

La financiación sanitaria debe alcanzar, como mínimo, el 7% del PIB

"Dormimos menos por las exigencias de la vida diaria"

"Dormimos menos por las exigencias de la vida diaria"

La dieta mediterránea mejora la función pulmonar de pacientes fumadores

La dieta mediterránea mejora la función pulmonar de pacientes fumadores


Los niños más pequeños de la clase están más diagnosticados de TDAH

Los niños más pequeños de la clase están más diagnosticados de TDAH

Llisterri: "Familia no quiere reconocimiento monetario sino intelectual"

Llisterri: "Familia no quiere reconocimiento monetario sino intelectual"

El ácido fólico en el embarazo reduce los problemas lingüísticos en menores

El ácido fólico en el embarazo reduce los problemas lingüísticos en menores


Vinculan las altas temperaturas con la aparición de esclerosis múltiple

Vinculan las altas temperaturas con la aparición de esclerosis múltiple

Los patrones cerebrales pueden explicar las variaciones del TDAH en niños

Los patrones cerebrales pueden explicar las variaciones del TDAH en niños

Vinculan la nicotina en padres a problemas cognitivos de sus hijos y nietos

Vinculan la nicotina en padres a problemas cognitivos de sus hijos y nietos


La Rioja crea un protocolo que coordina salud y educación ante el TDAH

La Rioja crea un protocolo que coordina salud y educación ante el TDAH

"El 90% de los médicos de Familia no ve que la Primaria haya mejorado"

"El 90% de los médicos de Familia no ve que la Primaria haya mejorado"

Harvard denuncia los "fraudulentos" estudios de uno de sus cardiólogos

Harvard denuncia los "fraudulentos" estudios de uno de sus cardiólogos


Los oncólogos proponen crear un Plan Estratégico de Medicina de Precisión

Los oncólogos proponen crear un Plan Estratégico de Medicina de Precisión

Pediatría: mejor vacunar de la gripe a niños de grupos de riesgo en otoño

Pediatría: mejor vacunar de la gripe a niños de grupos de riesgo en otoño

La microbiota intestinal, posible factor de riesgo de diabetes tipo 1

La microbiota intestinal, posible factor de riesgo de diabetes tipo 1


El Gobierno quiere prohibir fumar en terrazas, playas y coches

El Gobierno quiere prohibir fumar en terrazas, playas y coches

Farmacia Hospitalaria realiza una actualización en patología respiratoria

Farmacia Hospitalaria realiza una actualización en patología respiratoria

Científicos descubren los genes que contribuyen al desarrollo del TDAH

Científicos descubren los genes que contribuyen al desarrollo del TDAH


Hallan la relación entre el dentífrico en embarazadas y los niños con TDAH

Hallan la relación entre el dentífrico en embarazadas y los niños con TDAH

Verónica Casado: "AP debe ser el 50% de la plantilla de la sanidad pública"

Verónica Casado: "AP debe ser el 50% de la plantilla de la sanidad pública"

Hasta 490 sanitarios firman por la financiación de tratamientos anti-tabaco

Hasta 490 sanitarios firman por la financiación de tratamientos anti-tabaco


Los síntomas del TDAH y el envejecimiento se confunden en población mayor

Los síntomas del TDAH y el envejecimiento se confunden en población mayor

Holanda permite vacunarse a los adolescentes aunque sus padres no quieran

Holanda permite vacunarse a los adolescentes aunque sus padres no quieran

La SEFH lleva a Italia su experiencia en la farmacia penitenciaria

La SEFH lleva a Italia su experiencia en la farmacia penitenciaria


En España existen más de 3 millones de afectados por dolor neuropático

En España existen más de 3 millones de afectados por dolor neuropático

Un equipo español abre la puerta a curar el VIH trasplantando células madre

Un equipo español abre la puerta a curar el VIH trasplantando células madre

La española nombrada mejor médico del mundo: "Llego a casa bastante rota"

La española nombrada mejor médico del mundo: "Llego a casa bastante rota"


Los hepatólogos españoles piden guías para la colangitis biliar primaria

Los hepatólogos españoles piden guías para la colangitis biliar primaria

Ingresan en el hospital a la primera persona con adicción a Netflix

Ingresan en el hospital a la primera persona con adicción a Netflix

La mamografía en 3D detecta un 30% más de tumores que la estándar

La mamografía en 3D detecta un 30% más de tumores que la estándar


Primera 109 110 111 112 113 120 130 140 150 160 Última

Certificado bajo medición GfK DAM
Una publicación de
Copyright © 2004 - 2025 Sanitaria 2000
Linkedin Tritter/X Facebook YouTube Instagram WhatsApp
Aviso legal y condiciones de uso
Soporte válido 3-23-WCM Redacción Médica: La información que figura en esta edición digital está dirigida exclusivamente al profesional destinado a prescribir o dispensar medicamentos por lo que se requiere una formación especializada para su correcta interpretación
  • Quiénes somos
  • Publicidad
  • Política de privacidad
  • Política de cookies
  • Inscripción actividades
agencia digital  | 323WCM24