• Profesionales
    • Enfermería
    • Directivos de la Salud
    • Derecho Sanitario
    • Farmacia
    • Ingeniería Hospitalaria
    • Más profesiones sanitarias
    • Medicina
  • Política
    • Empleo / Oposiciones
    • Ministerio de Sanidad
    • Parlamentarios de Sanidad
    • Sanidad hoy
  • Formación
    • Estudiantes
    • MIR
    • EIR y más residentes
  • Empresas
    • Industria farmacéutica
    • Sanidad privada
    • Tecnología sanitaria
  • Especialidades
    • Cardiología
    • Dermatología
    • Farmacia Hospitalaria
    • Hematología y Hemoterapia
    • Medicina Familia
    • Medicina Interna
    • Neumología
    • Neurología
    • Oncología
    • Pediatría
    • Psiquiatría
    • Radiología
  • Autonomías
    • Andalucía
    • Cataluña
    • Madrid
    • C. Valenciana
    • Galicia
    • Castilla y León
    • País Vasco
    • Canarias
    • C-La Mancha
    • Murcia
    • Aragón
    • Extremadura
    • Asturias
    • Baleares
    • Navarra
    • Cantabria
    • La Rioja
  • Podcast
    • PÓDCAST Especialidades
    • PÓDCAST Política Sanitaria
  • El Bisturí
  • Hemeroteca
  • Pódcast
  • Más Noticias de Sanidad
  • Newsletter
  • Recursos de Salud
Opinión
La Revista
  • Linkedin
  • Tritter/X
  • Facebook
  • YouTube
  • Instagram
  • WhatsApp
  • Es noticia
  • Prescripción enfermera
  • Empleo médico
  • Receta electrónica Muface
  • Cribados cáncer Vox
  • Ana Pastor deja AMA
  • Linkedin
  • Tritter/X
  • Facebook
  • YouTube
  • Instagram
  • WhatsApp
  • Profesionales
    • Enfermería
    • Directivos de la Salud
    • Derecho Sanitario
    • Farmacia
    • Ingeniería Hospitalaria
    • Más profesiones sanitarias
    • Medicina
  • Política
    • Empleo / Oposiciones
    • Ministerio de Sanidad
    • Parlamentarios de Sanidad
    • Sanidad hoy
  • Formación
    • Estudiantes
    • MIR
    • EIR y más residentes
  • Empresas
    • Industria farmacéutica
    • Sanidad privada
    • Tecnología sanitaria
  • Especialidades
    • Cardiología
    • Dermatología
    • Farmacia Hospitalaria
    • Hematología y Hemoterapia
    • Medicina Familia
    • Medicina Interna
    • Neumología
    • Neurología
    • Oncología
    • Pediatría
    • Psiquiatría
    • Radiología
  • Autonomías
    • Andalucía
    • Cataluña
    • Madrid
    • C. Valenciana
    • Galicia
    • Castilla y León
    • País Vasco
    • Canarias
    • C-La Mancha
    • Murcia
    • Aragón
    • Extremadura
    • Asturias
    • Baleares
    • Navarra
    • Cantabria
    • La Rioja
  • El Bisturí
  • Hemeroteca
  • Pódcast
  • Más Noticias de Sanidad
  • Newsletter
  • Recursos de Salud
Opinión
La Revista
  • Linkedin
  • Tritter/X
  • Facebook
  • YouTube
  • Instagram
  • WhatsApp
  • Profesionales
    Derecho Sanitario Directivos de la Salud Enfermería Farmacia Ingeniería Hospitalaria Más profesiones sanitarias Medicina
  • Política
    Empleo / Oposiciones Ministerio de Sanidad Parlamentarios de Sanidad Sanidad hoy
  • Formación
    EIR y más residentes Estudiantes MIR
  • Empresas
    Industria farmacéutica Sanidad privada Tecnología sanitaria
  • Especialidades
    Cardiología Dermatología Farmacia Hospitalaria Hematología y Hemoterapia Medicina Familia Medicina Interna Neumología Neurología Oncología Pediatría Psiquiatría Radiología
  • Autonomías
    Andalucía
    Cataluña
    Madrid
    C. Valenciana
    Galicia
    Castilla y León
    País Vasco
    Canarias
    C-La Mancha
    Murcia
    Aragón
    Extremadura
    Asturias
    Baleares
    Navarra
    Cantabria
    La Rioja
  • El Bisturí
  • Pódcast
  • Opinión
  • La Revista
  • Portada
  • Secciones
  • Especialidades


Ángela Lamarca, óncologa en el Hospital Universitario Fundación Jiménez Díaz y press officer de ESMO 2023, analiza el impacto y avances de la especialidad en España.

"Europa no es homogénea si hablamos de acceso a tratamientos oncológicos"

El Servicio de Neumología del Hospital Infanta Leonor

La Neumología del Infanta Leonor es condecorada con seis acreditaciones

Hans Eguía, de Semergen, recalca que es necesario un trabajo multidisciplinar entre, otras profesiones, médicos e ingenieros, para llegar a una óptima implementación de la IA en Atención Primaria

Unión médico-ingeniero para sacar el máximo rédito a la IA en Primaria


El Congreso ESMO 2023 se inaugura con la contaminación como causa del aumento del riesgo de cáncer.

ESMO 2023 arranca por la prevención del cáncer en una sanidad "resiliente"

Laura Santos y Pilar Galicia, de Semergen, llaman a 'normalizar' el Chemsex en los casos "bien controlados"

Familia apunta a "cuantificar riesgos" del chemsex en la anamnesis

Equipo directivo del Hospital Sant Joan Alacant

José Miguel Seguí, jefe de Servicio de Interna del Sant Joan d’Alacant


Asunción Gracia, Isabel Jimeno y Ana Mur lideran el encuentro de SEMG Navarra.

Familia impulsa el manejo de la insulinización de la persona con diabetes

Identificar factores genéticos en cáncer de mama limita sus efectos nocivos

Identificar factores genéticos en cáncer de mama limita sus efectos nocivos

José Tomás, de Semergen, recalca que el SNS debe 'seguir' los pasos de EEUU y centrar la detección precoz del cáncer de pulmón en la Atención Primaria

España 'sigue' a EEUU en detección precoz para prevenir el cáncer de pulmón


Álvarez de Arcaya y Juana Carretero analizan cómo prevenir la sarcopenia

La sarcopenia está presente en el 33% de los pacientes de Medicina Interna

Pilar Rodríguez e Inmaculada Cervera consideran insuficiente el presupuesto sanitario de cara al 2024

Presupuesto congelado para 2024: "Es el valor que la política da a sanidad"

Patricia Montenegro y Sergio Fernández recalcan que desde Primaria se debe actuar con "gafas genéticas" puestas para tratar de adelantarse a las enfermedades raras en niños y familiares

Una Primaria con "gafas genéticas" para prevenir enfermedades raras futuras


Papel de la Radiología en el diagnóstico de cáncer de mama

La Radiología española reivindica su papel protagonista en cáncer de mama

Ignacio Miranda defiende la integración de las personas trans en cribado de cáncer de mama

Las personas trans "deben tener un cribado de cáncer de mama personalizado"

Semergen ha inaugurado su 45º Congreso Nacional con la participación de Marciano Gómez y María José Catalá, denunciando la "denostada inversión" que percibe la sanidad en general pero la Medicina Familiar y Comunitaria (MFyC) en particular

Familia inicia su cónclave esperando un cambio en su "denostada inversión"


Luis López Estebaranz, profesor titular de la Universidad Rey Juan Carlos

El dermatólogo Luis López Estebaranz, profesor titular de la URJC

José Polo e Inmaculada Cervera, de Semergen, han presentado su 45º Congreso Nacional en el Ayuntamiento de Valencia, recalcando que están "aburridos" de promesas y que quieren soluciones para la Primaria

Más de 5.000 médicos gritarán "basta ya de promesas" para mejorar Primaria

Inmaculada Cervera, presidenta del Comité Organizador del 45º Congreso Nacional de Semergen, relata a Redacción Médica que la IA tendrá un papel focalizador en el cónclave

Semergen "colocará" la IA en el día a día de Familia en su 45º Congreso


Asunción Nieto es la nueva jefa del Servicio de Neumología

Asunción Nieto, jefa de Servicio de Neumología del Clínico San Carlos

La Universidad Jaume I ha nombrado a Vicente José Pallarés Carratalá nuevo profesor titular de Medicina

El médico de Familia Vicente José Pallarés, profesor titular de la Jaume I

Corina Amor apuesta por las CAR-T frente a las enfermedades autoinmunes crónicas

Desligar al paciente crónico del hospital con CAR-T será posible en 3 años


Ensayo español en enfermedad coronaria para mujeres: Así afecta

España pone a la mujer en el epicentro europeo de la enfermedad coronaria

MFyC y Universidad: mejora progresiva de la tendencia, aunque lejos de los estándares internacionales

Radiografía de Familia en el grado de Medicina: solo es obligatoria en 32

Dolor neuropático en España

El dolor neuropático mantiene "un difícil tratamiento por su complejidad"


Elena Serrano proyecta un nuevo diagnóstico frente el hematoma intracerebral

Este diagnóstico español para hematoma intracerebral aspira a generalizarse

Pedro García Ruíz-Espiga se convierte en profesor titular de la UAM

El neurólogo Pedro García Ruíz-Espiga, profesor titular de la UAM

Inteligencia Artificial en Primaria: ¿Realidad o fantasía?

Familia delega en Sanidad el desembarco seguro de la IA en Primaria


Xosé Bustelo defiende el modelo francés de medicina de precisión para instaurarlo en España

España mira al modelo de nodos francés para crear su Medicina personalizada

Consulta de una médica, donde se puede aplicar el cribado de violencia de género.

El plan de detección de violencia machista en Primaria llega a media España

Una España líder en prevención cardiovascular urge un "empuje" de Sanidad

Una España líder en prevención cardiovascular urge un "empuje" de Sanidad


César Rodríguez, presidente de la SEOM, busca más protagonismo de la Oncología en el MIR y las universidades

Oncología solicita a Sanidad ganar peso en toda la formación médica

Juan Pablo Leiva, presidente de la Secpal, ha fallecido

Muere Juan Leiva, presidente de Secpal y pionero en cuidados paliativos

Josep Munuera, responsable científico de la SERAM, subraya que la radiómica 'obliga' a Radiología a una actualización en su programa formativo

Radiología urge un 'nuevo MIR' empujada por la innovación terapéutica


La SEFH entrega sus premios a los mejores trabajos científicos

La SEFH entrega sus premios a los mejores trabajos científicos

Andrés Muñoz advierte de la necesidad de abordar la trombosis

La Oncología española busca poner en jaque a la trombosis ligada al cáncer

La formación del hematólogo y cardiólogo "debe ser bidireccional"

La formación del hematólogo y cardiólogo "debe ser bidireccional"


La SEMI celebra la X Reunión de Paciente Crónico Complejo

La insuficiencia cardíaca, caballo de Troya en la mayoría ingresos crónicos

CAR-T en España: los últimos avances confirmados

España presenta 2 nuevas terapias CAR-T que consolidan su liderazgo mundial

Ana de Hollanda, coordinadora del Área de Obesidad de la SEEN, y Juan Luis Alonso, miembro de la Sociedad Española de Médicos de Atención Primaria (Semergen).

Dos especialidades se arrogan la prescripción de la terapia contra obesidad


Intervinientes en el acto de conmemoración del Día Mundial de la Salud Mental presidido por la Reina, Letizia Ortiz.

España se une contra los abordajes degradantes a pacientes de salud mental

La gripe estacional española dispara hospitalizaciones y genera mortalidad

La gripe estacional española dispara hospitalizaciones y genera mortalidad

Antoni Gómez, nombrado jefe del Servicio de Cardiología de Bellvitge

Antoni Gómez, jefe del Servicio de Cardiología del Hospital de Bellvitge


La Oncología española analiza las últimas novedades en cáncer de mama metastásico

"Un tratamiento de cáncer de mama tarda en financiarse más de 500 días"

Celso Arango, nuevo miembro de la Academia Nacional de Medicina de Estados Unidos

Celso Arango, nuevo miembro de la Academia Nacional de Medicina de EEUU

Enrique González, historiador y psiquiatra, sobre los cambios en la Psiquiatría durante la transición

"Reinventamos la Psiquiatría para que no fuera un instrumento de represión"


Hugo González, responsable de residentes de la SERAM, recalca que el auge de las nuevas tecnologías necesita una residencia de 5 años en la especialidad

La nueva tecnología exige un MIR de 5 años para "cubrir" toda la Radiología

Álvaro Urbano presenta a la Aemps la documentación para realizar un ensayo clínico con CAR-T ARI 3

El Clínic solicita a la Aemps probar en humanos su tercera CAR-T pública

Antonio Torres, de SEMG, recalca que Primaria debe ser la primera estación para revertir el infradiagnóstico de la depresión anciana

Primaria como primer 'arma' contra el infradiagnóstico en depresión anciana


Cecilia Martínez aboga por mantener el nivel de especialización actual de la Farmacia Hospitalaria

"El grado de especialización de la Farmacia Hospitalaria no puede mermarse"

Expertos afirman que la unión interdisciplinar hace la fuerza contra la farmacontaminación

La Farmacia Hospitalaria se erige como ‘paladín’ de la farmacovigilancia

Expertos aseguran que la digitalización es el eje de una Farmacia Hospitalaria más cercana al paciente

La digitalización, eje de una Farmacia Hospitalaria más cercana al paciente


Tres internistas cuentan sus experiencias con pacientes crónicos y hospitalización domiciliaria.

La hospitalización domiciliaria, la utopía en la gestión del crónico

Adela Balderas aboga un cambio en el paradigma del liderazgo basado en la sensibilidad

"El liderazgo ha de reinventarse; cuidar personas requiere sensibilidad"

Medicina Interna aborda los retos de las decisiones complejas.

Interna combate la incertidumbre con educación en la toma de decisiones


Myriam Montes, miembro de la SERAM, recalca la importancia de llevar a cabo protocolos más conectados entre Radiología y Atención Primaria para prevenir el cáncer de mama en hombres

El cáncer de mama en hombres rehúye del cribado apuntando a nuevo protocolo

La Farmacia Hospitalaria apuesta por dar más voz al paciente para convertirlo en el centro del sistema sanitario con terapias más eficaces

El plan farmacológico individualizado avanza afianzando la adherencia

SEMI organiza una ponencia para abordar cómo mejorar la teleconsulta de crónicos.

Escucha activa y paciencia garantizan una teleconsulta exitosa con crónicos


Expertos en Familia y Geriatría señalan la necesidad urgente de un plan de desescalada de psicofármacos en España.

España se arma contra la nueva pandemia de adictos a los medicamentos

SEMI organiza sus reuniones del grupo de trabajo de crónicos y pluripatológicos.

"En Medicina Interna ahora hablamos de pacientes y no solo de enfermedades"

La SEFH entrega sus premios honoríficos de 2023 a Daniel Cardona, Dolores Fraga, Hilario Martínez y Esperanza Seco.

La SEFH entrega sus premios honoríficos de 2023 en su 68º Congreso


Farmacia Clínica se reinventa rompiendo las barreras del hospital

Farmacia Clínica se reinventa rompiendo las barreras del hospital

César Rodríguez y Joan Albanell analizan el potencial de los puntos cuánticos en cáncer

El hallazgo del último Nobel de Química, "lejos de llegar a la clínica"

Farmacia amplía sus horizontes para lidiar con el dolor postoperatorio

La recuperación domiciliaria sin dolor, reto del farmacéutico de hospital


La cara B del medicamento: expertos analizan en el 68 Congreso de la SEFH cómo evitar su impacto negativo en el medio ambiente

Farmacia Hospitalaria contra ese 5º 'país' más contaminante llamado Sanidad

Yasmín Drak e Isabel Egocheaga llaman a "interrogar" al paciente diabético para tratar de evitar enfermedades cardiovasculares y patología renal crónica

Familia pone coto a la diabetes "interrogando al paciente" en consulta

Cecilia Martínez, presidente de la SEFH tras ganar las elecciones

Cecilia Martínez, nueva presidenta de los farmacéuticos hospitalarios


Gabriel Bastidas, médico de Familia y Urólogo, recalca en la necesidad de elaborar e implementar protocolos para mejorar la prevención de los contagios por ITS

"España precisa protocolos cohesionados que logren el contagio cero de ITS"

Investigadores del Hospital del Mar descubren un nuevo marcador contra el alzhéimer

La barrera hematoencefálica predice la rapidez con que avanza el alzhéimer

Óscar Fernández-Capetillo explica cómo frenar el deterioro celular ayuda a combatir el cáncer de forma más eficaz

Freno de mano al deterioro celular para 'matar' la resistencia del cáncer


Bilbao acoge el 'alma verde' de una Farmacia Hospitalaria ambiciosa en el 68 Congreso Nacional de la SEFH

Bilbao acoge el 'alma verde' de una Farmacia Hospitalaria en expansión

Isabel Jimeno y Rosa Rodríguez, en el V Congreso de SEMG Madrid, recalcan que la Atención Primaria debe reforzar su papel "preventivo" en infecciones respiratorias

Una Primaria más "preventiva" y vacunal para sostener el SNS

José Polo, presidente de Semergen presenta el 45º Congreso Nacional con protagonismo MIR

Semergen presenta su 45 Congreso con la garantía del "relevo generacional"


Pilar Cubo, de SEMI, reflexiona sobre las necesidades de los pacientes crónicos.

"El paciente crónico necesita coordinación entre el hospital y Primaria"

Raúl Córdoba: Guías en Cardio-Oncología 2022

Hematología contará con guías en Cardio-Oncología para salud cardiovascular

Sedación para pacientes con cuidados paliativos

Hasta un 25% de pacientes que reciben cuidados paliativos precisa sedación


La SEFH busca fomentar el diálogo para mejorar la Farmacia Hospitalaria en su 68 Congreso Nacional de Bilbao

"Queremos fomentar el diálogo para mejorar la Farmacia Hospitalaria"

Natalia Ojeda destaca la poca presencia de la Neuropsicología en España

La Neuropsicología en el SNS "debe ser una oportunidad de inversión"

José Polo, presidente de Semergen, recalca que no es "lógico ni de recibo" que el programa formativo de MFyC esté sin actualizar

"Hay algún interés determinado para no aprobar el programa MIR de Familia"


Medicina de Familia y Urgencias: El futuro del SNS

Familia y Urgencias responden con "cohesión" a la incertidumbre de Sanidad

El covid persistente 'salta' a la universidad con acreditación de experto

El covid persistente 'salta' a la universidad con acreditación de experto

La ecografía clínica gana terreno contra las enfermedades autoinmunes

La ecografía clínica gana terreno contra las enfermedades autoinmunes


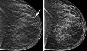
Mamografías de nueva generación: mejor detección y menos radio

Las mamografías de nueva generación detectan antes el cáncer y radian menos

David Gómez Villarejo y José Ignacio Cornago Delgado, que han dado una ponencia sobre el peligro de las enfermedades renales.

Uno de cada 7 españoles sufre una enfermedad renal crónica

"La Medicina Interna está de celebración, el GEAS 2023 ha sido magnífico"

"La Medicina Interna está de celebración, el GEAS 2023 ha sido magnífico"


José Martín Carreira Villamor

Carreira Villamor, catedrático de Radiología y Medicina Física en la USC

 Laura Angelats y Julio Delgado, sobre las nuevas terapias del Clinic contra el cáncer de mama

La CAR-T del Clínic para cáncer de mama, un cambio de paradigma oncológico

Cardiología apuesta por “cuidar la salud para vivir más y mejor"

Trabajo en red hospital-Primaria para reducir la mortalidad cardiovascular


Jacobo Sellarés analiza el papel de la Inteligencia Artificial en sarcoidosis

La radiómica permitirá hacer "evaluaciones cuantitativas" de la sarcoidosis

Los registros de patologías autoinmunes se reformulan y traspasan fronteras

Los registros de patologías autoinmunes se reformulan y traspasan fronteras

Semergen celebrará sus jornadas de salud cardiovascular en abril de 2024 en Huesca

Semergen celebrará sus jornadas de salud cardiovascular en Huesca


Primera 21 22 23 24 25 30 40 50 60 70 Última

Certificado bajo medición GfK DAM
Una publicación de
Copyright © 2004 - 2025 Sanitaria 2000
Linkedin Tritter/X Facebook YouTube Instagram WhatsApp
Aviso legal y condiciones de uso
Soporte válido 3-23-WCM Redacción Médica: La información que figura en esta edición digital está dirigida exclusivamente al profesional destinado a prescribir o dispensar medicamentos por lo que se requiere una formación especializada para su correcta interpretación
  • Quiénes somos
  • Publicidad
  • Política de privacidad
  • Política de cookies
  • Inscripción actividades
agencia digital  | 323WCM23