Un nuevo algoritmo de inteligencia artificial genera menos falsos positivos y negativos que los médicos humanos

Google es capaz de detectar mejor el cáncer de mama que los radiólogos
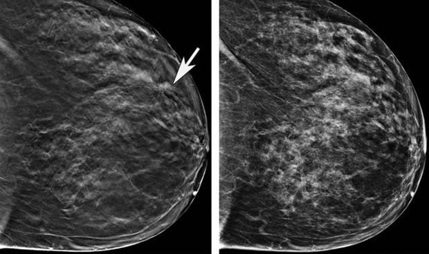
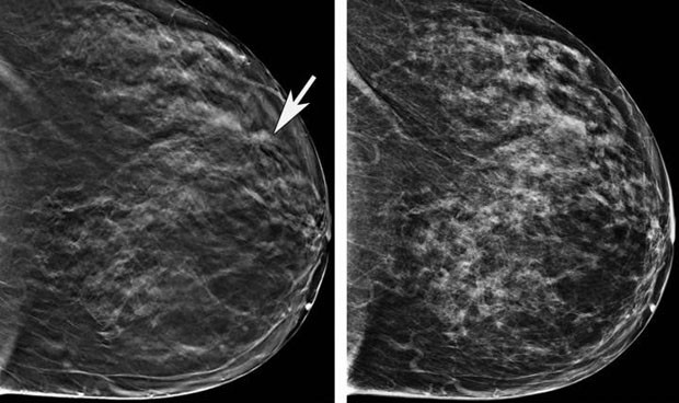
La mamografía es el el principal método de cribado de cáncer de mama.


SE LEE EN 3 minutos
Un sistema de inteligencia artificial desarrollado por Google, en colaboración con expertos del DeepMind, Cancer Research UK Imperial Center, Northwestern University y Royal Surrey County Hospital, es capaz de detectar mejor el cáncer de mama que los radiólogos.

La mamografía es el método que se suele utilizar para detectar el cáncer de mama, si bien el diagnóstico de este tumor sigue siendo un "desafío" para los profesionales dado que es "difícil" leer estas imágenes de rayos X  y, a menudo, se producen falsos positivos y negativos.


El modelo podría aumentar la precisión y eficiencia de los programas de detección del cáncer de mama


Estos problemas hacen, tal y como han recordado los autores principales del trabajo, Shravya Shetty y Daniel Tse, haya retrasos en el diagnóstico y tratamiento del cáncer de mama y que los pacientes se sometan a un "estrés innecesario" y los radiólogos a una "mayor carga" de trabajo.

Ante este escenario, los expertos de Google han desarrollado un nuevo modelo de inteligencia artificial que ha evidenciado que detecta con una mayor precisión el cáncer de mama y, además, da menos falsos positivos y negativos que los radiólogos.


Más de 90.000 radiografías


En concreto, para evaluar su eficacia, los expertos, cuyo trabajo ha sido publicado en la revista Nature, analizaron datos de mamografías de más de 76.000 mujeres del Reino Unido y más de 15.000 mujeres de Estados Unidos, con el fin de comprobar si el sistema podía aprender a detectar signos de cáncer de mama en los escáneres.

Posteriormente, evaluó a más de 25.000 mujeres del Reino Unido y 3.000 de Estados Unidos, lo que permitió a los investigadores comprobar que en este análisis se habían reducido un 5,7 por ciento los falsos positivos entre las mujeres estadounidenses y un 1,2 por ciento entre las inglesas. Además, los expertos observaron una disminución del 9,4 por ciento de los falsos negativos en Estados Unidos y del 2,7 por ciento en Reino Unido.


Menos información 


En este punto, los investigadores han informado de que el modelo de inteligencia artificial necesita menos información para identificar el cáncer de mama que los radiólogos, quienes se basan en las historias clínicas de los pacientes y en los resultados obtenidos en mamografías anteriores.

"A pesar de trabajar sólo con las imágenes de rayos X más recientes, nuestro modelo ha superado a los radiólogos en la identificación precisa del cáncer de mama", han recalcado los expertos de Google, tras informar de que hay algunas señales "prometedoras" de que el modelo podría aumentar la precisión y eficiencia de los programas de detección del cáncer de mama, así como reducir los tiempos de espera y el estrés para los pacientes.
Las informaciones publicadas en Redacción Médica contienen afirmaciones, datos y declaraciones procedentes de instituciones oficiales y profesionales sanitarios. No obstante, ante cualquier duda relacionada con su salud, consulte con su especialista sanitario correspondiente.