Según sugiere un estudio, esta técnica es una "opción terapéutica eficaz y segura"

La escleroterapia guiada por ultrasonido muestra una eficacia del 98,3%


SE LEE EN 2 minutos
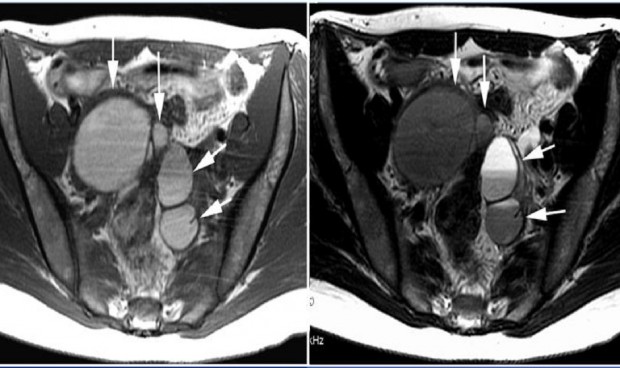
La eficacia y seguridad de la escleroterapia guiada por ultrasonido en Estados Unidos para el tratamiento del endometrioma ovárico mediante una revisión sistemática y un metanálisis muestra una eficacia del 98,3 por ciento, según un estudio de la Revista de la Sociedad Europea de Radiología publicado en Springer Link. 

Los investigadores que han participado en dicho estudio han llevado a cabo diferentes búsquedas en las bases de datos Medline y Embase para informar sobre los resultados en pacientes con endometrioma que fueron tratados con escleroterapia guiada por Estados Unidos. Se analizaron metanálisis de recurrencia, resolución del dolor, embarazo, éxito técnico y tasas de complicaciones. Se realizaron análisis de subgrupos con respecto al tiempo de permanencia de la escleroterapia (menos de 10 minutos frente a más de 10 minutos).

Se incluyeron veintiocho estudios (1301 pacientes). La eficacia técnica combinada fue del 98,3 por ciento. Las estimaciones combinadas de recurrencia, resolución del dolor y tasa de embarazo fueron 13,8 por ciento, 85,9 por ciento y 37,6 por ciento, respectivamente. La tasa de complicaciones mayores agrupada fue del 1,7 por ciento. Un tiempo de escleroterapia superior a 10 minutos tuvo una tasa de recurrencia agrupada más baja en el mismo transcurso de tiempo. Las comparaciones directas mostraron que la tasa de recurrencia fue significativamente menor con escleroterapia superior a 10 minutos que con escleroterapia igual o inferior a 10 minutos.

En cuanto a las tasas de embarazo, la escleroterapia de más de 10 minutos no mostró diferencias significativas en comparación con la escleroterapia de igual o menor a los 10 minutos. Las comparaciones directas con la cirugía mostraron que la escleroterapia aumentó la tasa de embarazo en comparación con la cirugía (OR, 2,0; p = 0,042). No hubo diferencias significativas en el nivel de AMH antes y después de la escleroterapia (p = 0,951). No hubo diferencias significativas en las tasas de complicaciones mayores entre la escleroterapia superior a 10 minutos e igual o inferior a 10 minutos.

Como conclusión, esos estudios establecen que la escleroterapia guiada por ecografía parece ser una "opción terapéutica eficaz y segura" con respecto a la recurrencia, la resolución del dolor y el embarazo para pacientes con endometrioma ovárico. Se justifican los ensayos controlados aleatorios futuros para comparar los resultados de la escleroterapia guiada por Estados Unidos con la cirugía.
Las informaciones publicadas en Redacción Médica contienen afirmaciones, datos y declaraciones procedentes de instituciones oficiales y profesionales sanitarios. No obstante, ante cualquier duda relacionada con su salud, consulte con su especialista sanitario correspondiente.