El algoritmo ha podido reducir la tasa de falsos negativos a un cuarto de la de un patólogo humano

La inteligencia artificial de Google detecta el cáncer mejor que el médico
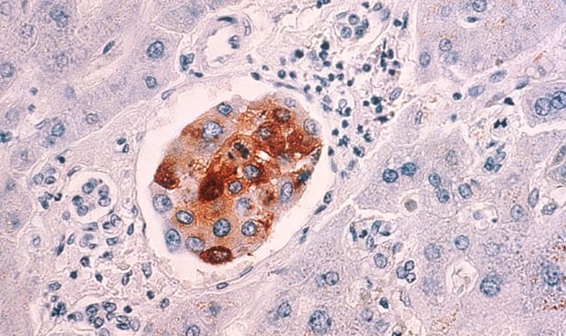
Células metastásicas de mama en el hígado. (Fuente: Wikimedia Commons)


SE LEE EN 1 minuto
POR REDACCIÓN
La inteligencia artificial desarrollada por Google parece encaminada a revolucionar el campo del diagnóstico médico por imagen. Si ya ha habido grandes avances en el examen de lesiones de la piel para detectar la posibilidad de un cáncer, ahora el gigante norteamericano parece haber dado un puñetazo sobre la mesa en el área del cáncer de mama.

Según un informe de Google, su algoritmo ha sido capaz de detectar el 92,4 por ciento de las metástasis en cáncer de mama partiendo de una base de imágenes Camelyon16, frente al 73,2 por ciento de la media de un patólogo entrenado. Además, redujo la tasa de falsos negativos a un cuarto de la del sanitario humano, y en más de la mitad frente a la anterior versión de su inteligencia artificial.

Por si fuera poco, el sistema pudo detectar dos imágenes erróneamente etiquetadas como normales. Los investigadores de Google consideran que su aproximación al diagnóstico por imagen “puede reducir considerablemente los falsos negativos”, si bien todavía tienen que dar un siguiente paso trabajando con bancos de imágenes de mayor tamaño.
Las informaciones publicadas en Redacción Médica contienen afirmaciones, datos y declaraciones procedentes de instituciones oficiales y profesionales sanitarios. No obstante, ante cualquier duda relacionada con su salud, consulte con su especialista sanitario correspondiente.