Un estudio señala el complejo MLL1 como vulnerabilidad de la mutación característica de la proteína C/EBPa

Nuevo enfoque para tratar la leucemia mieloide aguda


SE LEE EN 2 minutos
Investigadores del Instituto Ludwig Boltzmann para la Investigación del Cáncer, el Vetmeduni Vienna y la Universidad Médica de Viena (Austria) han identificado un posible enfoque novedoso para el tratamiento de pacientes con leucemia mieloide aguda (LMA) que tienen una isoforma oncogénica mutada de la proteína C/EBPa.

De acuerdo con los resultados publicados en la revista Leukemia, la interacción de la proteína mutada con un regulador epigenético, el llamado complejo MLL1, representa una vulnerabilidad específica de las células de LMA con las mutaciones de C/EBPa.

Si el complejo MLL1 está funcionalmente inhibido, las células de LMA sufren la muerte celular. Mediante la inhibición dirigida de MLL1, el bloqueo asociado al cáncer en la maduración normal de las células sanguíneas podría potencialmente liberarse en los pacientes afectados con este tipo de leucemia.


Necesidad de profundizar en el conocimiento de la leucemia


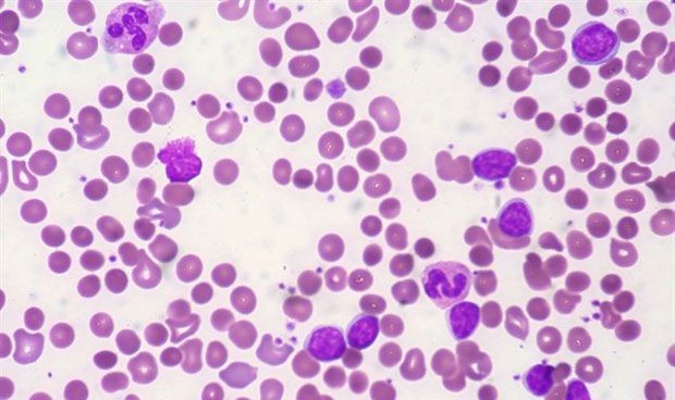
La LMA es la forma más común de leucemia aguda. Se caracteriza por un aumento de células progenitoras mieloides malignas a expensas de las células sanguíneas maduras. Solo el 25 por ciento de todos los pacientes con LMA sobreviven cinco años después del diagnóstico inicial. Por lo tanto, existe una necesidad urgente de profundizar el conocimiento sobre esta forma de cáncer de la sangre y desarrollar nuevos enfoques terapéuticos.

"Al utilizar una combinación de enfoques bioquímicos, genéticos y farmacológicos, ahora hemos podido demostrar que el complejo de la metiltransferasa de la MLL1 es una vulnerabilidad crítica en la LMA con mutaciones de C/EBPa", explica una de las autoras, Luisa Schmidt.
Las informaciones publicadas en Redacción Médica contienen afirmaciones, datos y declaraciones procedentes de instituciones oficiales y profesionales sanitarios. No obstante, ante cualquier duda relacionada con su salud, consulte con su especialista sanitario correspondiente.