Un estudio de la Universidad de Birmingham ha hecho un gran avance en la comprensión de cómo diferentes mutaciones genéticas causan la leucemia mieloide aguda (AML, en inglés). El informe, publicado en Cell Reports, pone de relieve las dificultades para explicar la heterogeneidad de la enfermedad.
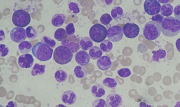
La leucemia mieloide aguda es uno de los cánceres de sangre más comunes en los adultos, con bajas tasas de supervivencia y una imperiosa necesidad de nuevos tratamientos. Por ello, investigadores de las universidades de Birmingham y Newcastle han colaborado conjuntamente para estudiar el ADN de dos tipos de leucemia mieloide aguda en un esfuerzo por explicar cómo puede diferir el pronóstico clínico.
En palabras de Constanze Bonifer, del Instituto de Cáncer y Ciencias Genómicas de la Universidad de Birmingham, "se sabe desde hace mucho tiempo que la leucemia mieloide aguda es altamente heterogénea, implicando diferentes mutaciones genéticas causantes de enfermedades. Esto a su vez conduce a resultados clínicos muy variables, con algunos pacientes que responden mejor a ciertos tratamientos que otros. Antes de llevar a cabo estudio, la razón de las diferentes respuestas al tratamiento era desconocida. Con el análisis descubrimos cómo dos oncogenes -los genes que tienen el potencial de causar cáncer- estrechamente relacionados reprograman de forma diferente las células madre sanguíneas en la leucemia mieloide aguda y las expanden fuera de control".
Alta incidencia en Reino Unido
Según su homólogo en el Departamento de Hematología del mismo centro, Justin Loke, "utilizamos la tecnología molecular más avanzada para investigar por qué dos tipos de la enfermedad con mutaciones en el mismo gen muestran un perfil clínico completamente diferente. Comprobamos que el mantenimiento del estado leucémico de estos dos tipos de leucemia mieloide aguda depende de diferentes conjuntos de genes normales. Así, identificamos una ruta para el desarrollo de tratamientos adaptados y personalizados para los pacientes con diferentes mutaciones causantes del cáncer con el fin de tratar específicamente cada tumor".
Desde principios de los 90 la enfermedad ha crecido más de un 28% entre la población británica. Actualmente alrededor de 2.400 personas se les diagnostica AML cada año en el Reino Unido y se estima que uno de cada 200 hombres y una de cada 255 mujeres la padecerán durante su vida.
REGÍSTRATE GRATIS
PARA SEGUIR LEYENDO
¿Ya eres premium? Inicia sesión
Aviso importante
El usuario desde el que está intentando acceder a este contenido no está registrado como profesional autorizado para acceder a esta información. Esta noticia informa sobre novedades farmacológicas y, por ley, está reservada a profesionales de la salud habilitados para la prescripción o dispensación de medicamentos.
Volver a la portada de Redacción Médica
Las informaciones publicadas en Redacción Médica contienen afirmaciones, datos y declaraciones procedentes de instituciones oficiales y profesionales sanitarios. No obstante, ante cualquier duda relacionada con su salud, consulte con su especialista sanitario correspondiente.