Un estudio publicado en Nature describe varias claves para avanzar en una vacuna contra el coronavirus que sea efectiva

Coronavirus vacuna: descifran cómo reacciona el cuerpo ante el Covid-19
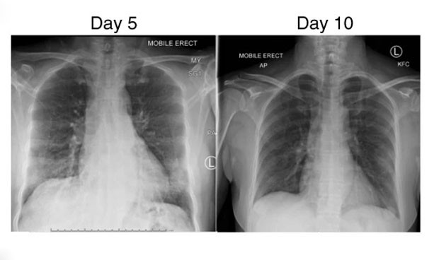
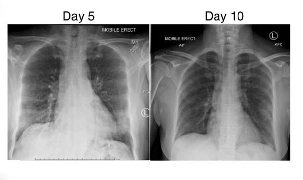
Imagen de los pulmones de la paciente. Fuente: Nature.


SE LEE EN 3 minutos
Un paso más hacia la vacuna del coronavirus. Investigadores australianos han descubierto cómo reacciona el organismo ante el SARS-CoV-2, el virus causante de Covid-19.

El estudio, publicado en Nature, destaca que el organismo se comporta igual que ante uno de los tipos de gripe. De esta forma, conociendo la respuesta inmune del organismo, se puede avanzar en el desarrollo de medicamentos profilácticos.

"Nuestro estudio indica que se pueden obtener respuestas inmunes multifactoriales robustas al nuevo virus SARS-CoV-2 y, al igual que en el caso de la enfermedad aviar H7N98 [uno de los tipos de gripe], las respuestas inmunes adaptativas tempranas podrían correlacionarse con mejores resultados clínicos", señalan los investigadores.

El caso estudiado se trata de una mujer de Wuhan, de 47 años, que viajó a Australia procedente de Hubei. "No tuvo contacto con el mercado de mariscos de Huanan ni con casos conocidos del virus COVID-19. Por lo demás, estaba sana, no fumaba y no tomaba medicamentos", detallan.

-Accede aquí al estudio completo de Nature-


Síntomas de coronavirus


Entre los síntomas referidos por la paciente se encontraban:
  • dolor de garganta
  • tos seca
  • dolor torácico pleurítico
  • disnea leve
  • fiebre
Según reveló su examen clínico, tenía "una temperatura de 38,5°C, una frecuencia del pulso de 120 latidos por minuto, una presión sanguínea de 140/80 mm Hg, una frecuencia respiratoria de 22 respiraciones por minuto y una saturación de oxígeno del 98 en respiración ambiente".

Una vez detectado el SARS-CoV-2 mediante una PCR, los profesionales constataron que no tenía otras patologías por lo que "su manejo fue la rehidratación de líquidos intravenosos sin oxigenación suplementaria. No se administraron antibióticos, esteroides o agentes antivirales", apuntan.

"Fue dada de alta al aislamiento domiciliario el día 11. Sus síntomas se resolvieron por completo el día 13 y permaneció bien en el día 20, con aumentos progresivos en los anticuerpos IgM e IgG de unión al SARS-CoV-2 en plasma desde el día 7 hasta el día 20".


Respuesta inmune al Covid-19


"En conjunto, nuestro estudio proporciona contribuciones novedosas para la comprensión de la amplitud y la cinética de las respuestas inmunes durante un caso no grave de Covid-19", detallan los investigadores entre sus conclusiones.

Con los síntomas del coronavirus "esta paciente no experimentó complicaciones de insuficiencia respiratoria o síndrome de dificultad respiratoria aguda, no requirió oxigenación suplementaria y fue dada de alta una semana después de su hospitalización, consistente con enfermedad no grave pero sintomática".

Además los investigadores detallan haber "proporcionado evidencia sobre el reclutamiento de poblaciones de células inmunes, junto con anticuerpos de unión a IgS e IgG SARS-CoV-2, en la sangre del paciente antes de la resolución de los síntomas", detallan.
Las informaciones publicadas en Redacción Médica contienen afirmaciones, datos y declaraciones procedentes de instituciones oficiales y profesionales sanitarios. No obstante, ante cualquier duda relacionada con su salud, consulte con su especialista sanitario correspondiente.