Las nuevas tecnologías y la inteligencia artificial están jugando un papel fundamental para detectar más la enfermedad

Papel de la Radiología en el diagnóstico de cáncer de mama
La resonancia magnética se sitúa como técnica de elección entre las mujeres de alto riesgo.


SE LEE EN 3 minutos
En el contexto del día mundial de la lucha contra el cáncer de mama, la Sociedad Española de Radiología Médica (SERAM) reivindica la figura del radiólogo especialista en mama como fundamental en el diagnóstico, orientación, tratamiento y seguimiento de la patología mamaria. Intervienen en las campañas de cribado o prevención interpretando (“informando”) las mamografías realizadas en mujeres sanas, cuando todavía no presentan ningún síntoma.

Los radiólogos especializados en mama realizan todas las pruebas complementarias en caso de detección y cambios mínimos en dichas mamografías para llegar a un diagnóstico certero y participan activamente en la planificación, seguimiento de los tratamiento y revisiones una vez finalizados los mismos.

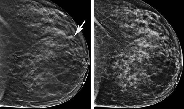
En la carrera por detectar la enfermedad lo antes posible, las nuevas tecnologías y la inteligencia artificial están jugando un papel fundamental para detectar más cáncer y más pequeños siendo una herramienta de ayuda para el radiólogo, que no solo es más eficaz en su diagnóstico, sino que puede gestionar mejor las cargas de trabajo.

“Otras técnicas alternativas como las microondas (ejemplo: proyecto Mammowave) se están desarrollando en Europa con el fin de mejorar de una manera más inocua la detección precoz, aunque aún están en fase de investigación”, apunta Cristina Romero Castellano, especialista de mama de la Sociedad Española de Radiología Médica (SERAM) y jefa de Radiología del Complejo Hospitalario Universitario de Toledo.

Europa pide detectar cánceres en una fase inicial


En septiembre del 2022, como parte del Plan de la UE para el Cribado del Cáncer, y dentro del marco del Plan Europeo de la lucha contra el cáncer, la Comisión propuso un nuevo enfoque para ayudar a los estados miembros a intensificar el cribado del cáncer, centrándose en la detección de cánceres en una fase inicial. Este enfoque tiene como objetivo el aumentar el número de cribados, cubriendo más grupos objetivo y más cánceres. Está basado en los últimos avances y datos científicos disponibles y permitirá ayudar a los estados miembros lograr en 2025 que el 90 por ciento de la población de la Unión que cumpla los requisitos para someterse a un cribado de cáncer de mama, pueda realizárselo.

Para facilitar un cribado más efectivo, tras la revisión de las nuevas evidencias científicas, y ayudados por las nuevas tecnologías aplicadas al cribado como la tomo síntesis y la inteligencia artificial, la UE aconseja bajar la edad de cribado a 45 años y concluir a los 75 en mujeres asintomáticas con riesgo intermedio.

“Desde la Sociedad Española de Diagnóstico por Imagen de la Mama (Sedim) se apoya la bajada de edad del cribado del cáncer de mama y su prolongación hasta los 75 años siguiendo las directrices europeas. En el caso de las mujeres de alto riesgo la resonancia magnética se sitúa como técnica de elección” comenta Romero. Además, “todas estas medidas se toman a raíz de la demostración de que los cribados en este rango de edad disminuyen la mortalidad por cáncer de mama y favorecen tratamientos más inocuos paras las mujeres”, puntualiza la especialista.
 
Las informaciones publicadas en Redacción Médica contienen afirmaciones, datos y declaraciones procedentes de instituciones oficiales y profesionales sanitarios. No obstante, ante cualquier duda relacionada con su salud, consulte con su especialista sanitario correspondiente.