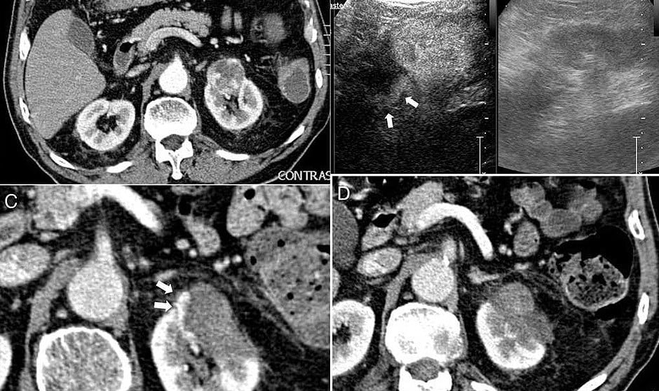
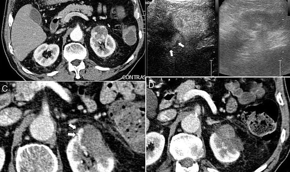
Los investigadores llevaron a cabo 305 ablaciones y, de estas, se hallaron lesiones de tumor renal en 273

La ablación percutánea en tumor renal logra una supervivencia del 95,26%


SE LEE EN 4 minutos
La ablación percutánea es una técnica de aplicación de energía generadora de calor (radioablación) o de frío (crioablación) que se da en el interior de la lesión. Según un último estudio, publicado por la editorial Elsevier, esta técnica aplicada en tumores renales tiene una "altísima eficacia", tal y como declaran los investigadores en el trabajo. 

Una técnica que "permite igualar el pronóstico de un carcinoma renal tras el tratamiento al de una lesión benigna", señalan los expertos. Además, los resultados de la investigación demuestran que con la ablación percutánea realizada en tumores renales se obtiene "una supervivencia global anual del 95,26 por ciento". Asimismo, los investigadores explican que la supervivencia de estos pacientes a los cinco años es del 77,01 por ciento y del 51,78 por ciento a los 10 años. 

"Las complicaciones son muy infrecuentes y se relacionan, al igual que la supervivencia, con la edad y el estado de salud del paciente", según los investigadores quienes añaden que "la eficacia primaria fue dle 96,28 por ciento y la secundaria del 95,28 por ciento".

Para llevar a cabo el estudio, los expertos añaden que "la creatinina en sangre media previa al tratamiento fue de 1,14 mg/dL y al año de 1,30 mg/dL (p <0,0001)". También se dieron algunas "complicaciones en el 13,25 por ciento de las ablaciones, de las que el 4,97 por ciento se dieron en personas mayores".


Los resultados del estudio "están relacionados con la edad de los pacientes y el diámetro tumoral"



Unos resultados que, según señala el estudio, "están relacionados con la edad de los pacientes (p=0,013) y el diámetro tumoral (p <0,0001)". Los investigadores también destacan otro factor relevante: el tamaño del tumor. "Las lesiones de más de cuatro centímetros fueron más propensas a presentar ablaciones incompletas (p=0,002), provocando así esa eficacia secundaria del 95,28 por ciento.

En cuanto a los métodos y materiales que usaron para realizar el trabajo, los expertos destacan que "se realizaron 305 ablaciones y, en general, se hicieron usando radiofrecuencia con electrodos desplegables". De todas ellas, se dieron un total de 273 lesiones de tumores renales entre mayo de 2005 y abril de 2019. 

Para obtener los resultados, "se analizaron supervivencia, eficacia primaria y secundaria y complicaciones relacionándolas con diversos factores del paciente y características de los tumores tratados", exponen los expertos.

El objetivo principal del estudio era "valorar los resultados a largo plazo de la ablación de tumores renales analizando eficacia, supervivencia a largo plazo, así como los factores asociados con complicaciones y el éxito terapéutico", concluyen los investigadores. 

Aspectos prácticos de la ablación por radiofrecuencia en tumor renal


Además de esta investigación, un grupo de investigadores españoles llevaron a cabo otra sobre los aspectos prácticos que puede tener la ablación por radiofrecuencia en tumores renales. Los resultados de esta fueron que "la ablación por radiofrecuencia en este tipo de tumores en manos experimentadas y con una selección apropiada de los tumores (tumores r3,5 cm y de localización exofítica) puede conseguir excelentes resultados oncológicos con una mínima morbimortalidad", señalan los principales investigadores de este trabajo. 

Los resultados de este último estudio, llevado a cabo por el Hospital Universitario de Córdoba y publicado en la revista de la Sociedad Española de Radiología Médica (SERAM), demostraron que "el tamaño medio de los tumores fue de 2,8 centímetros y se consiguió necrosis completa en 17 tumores, un 85 por ciento". Además, el estudio subraya que "en 15 de 16 tumores de 3,5 centímetros o menos se logró realizar la ablación completa". 
Las informaciones publicadas en Redacción Médica contienen afirmaciones, datos y declaraciones procedentes de instituciones oficiales y profesionales sanitarios. No obstante, ante cualquier duda relacionada con su salud, consulte con su especialista sanitario correspondiente.