Investigadores de la Facultad de Medicina de la Universidad de Minnesota (Estados Unidos) han conseguido combinar el ultrasonido con partículos de vidrio para aumentar la efectividad de la inmunoterapia en el cáncer cerebral más común en adultos, el glioblastoma.
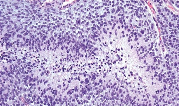
El cuerpo tiene ejércitos de glóbulos blancos que ayudan a combatir las bacterias, los virus y las células cancerosas. Esta constelación de células constituye el sistema inmunológico. "Una de las razones principales por las que el glioblastoma es tan agresivo es que apaga el sistema inmune", explica Clark C. Chen, el autor principal de este estudio, que se ha publicado en la revista Advanced Therapeutics.
La inmunoterapia funciona activando los glóbulos blancos que están presentes en muchos tipos de cáncer. Por razones que no están claras, los glioblastomas contienen pocos glóbulos blancos. Por lo tanto, no hay nada que activar en la inmunoterapia.
Ultrasonido focalizado de alta intensidad
Para solucionar esta situación, el equipo de investigación inyectó partículas de sílice hueca (una forma de vidrio) en los glioblastomas para facilitar el reclutamiento de glóbulos blancos. Los tumores inyectados fueron tratados con ultrasonido focalizado de alta intensidad (HIFU). Este ultrasonido 'infló' las partículas de vidrio para romper las células cancerosas, liberando proteínas que atraen a los glóbulos blancos.
Al modular el ultrasonido de alta frecuencia, los investigadores pudieron crear diferentes temperaturas bajo las cuales se rompieron las células cancerosas. "Impresionantemente, la inmunoterapia solo funciona cuando el ultrasonido se ajusta para mantener una temperatura corporal estable a medida que se rompen las células cancerosas. Las temperaturas que se desvían demasiado de la temperatura corporal parecen comprometer la eficacia de los glóbulos blancos", detalla Clark C. Chen.
REGÍSTRATE GRATIS
PARA SEGUIR LEYENDO
¿Ya eres premium? Inicia sesión
Aviso importante
El usuario desde el que está intentando acceder a este contenido no está registrado como profesional autorizado para acceder a esta información. Esta noticia informa sobre novedades farmacológicas y, por ley, está reservada a profesionales de la salud habilitados para la prescripción o dispensación de medicamentos.
Volver a la portada de Redacción Médica
Las informaciones publicadas en Redacción Médica contienen afirmaciones, datos y declaraciones procedentes de instituciones oficiales y profesionales sanitarios. No obstante, ante cualquier duda relacionada con su salud, consulte con su especialista sanitario correspondiente.