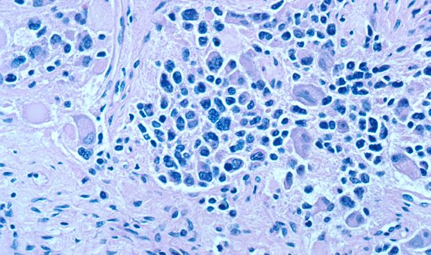
Investigadores españoles han conseguido un nuevo avance que posibilitará mejoras en el pronóstico y el tratamiento de pacientes con neuroblastoma. Científicos del Instituto de Investigación Sanitaria La Fe de Valencia dirigidos por Jaime Font de Mora, en colaboración con José Luis Zugaza, investigador Ikerbasque en la UPV/EHU y en el centro Achucarro Basque Center for Neuroscience, han identificado mutaciones en el gen Tiam1 que realizan predicciones más eficaces a enfermos con neuroblastoma.
El estudio revela que estas mutaciones que previenen la progresión de esta enfermedad están localizadas en diferentes dominios de Tiam1 relacionados con las proteínas GTPasas Ras y Rac así como con Myc, todas ellas implicadas en la etiología y progresión de este tipo cáncer.
Los resultados de este trabajo se han publicado en la revista 'Oncotarget' y sugieren que el señalosoma controlado por Tiam1 puede ser esencial para el desarrollo del neuroblasoma y, por tanto, Tiam1 se posiciona como una diana que ayude a mejorar la eficacia de la terapia en neuroblastoma.
Según explican en un comunicado, el siguiente paso es incorporar estos estudios a la práctica clínica para mejorar las herramientas y procedimientos de diagnóstico, en aras a implementar tratamientos más tempranos para los pequeños afectados.
El neuroblastoma es el tumor extracraneal sólido más frecuente en la infancia, representa el 7% de todos los cánceres pediátricos, y es la causa del 15% del total de defunciones por procesos oncológicos en la infancia. Su incidencia oscila entre 8 y 10 casos por millón de niños y año. Se han descrito casos familiares de neuroblastoma, pero son muy poco frecuentes.
REGÍSTRATE GRATIS
PARA SEGUIR LEYENDO
¿Ya eres premium? Inicia sesión
Aviso importante
El usuario desde el que está intentando acceder a este contenido no está registrado como profesional autorizado para acceder a esta información. Esta noticia informa sobre novedades farmacológicas y, por ley, está reservada a profesionales de la salud habilitados para la prescripción o dispensación de medicamentos.
Volver a la portada de Redacción Médica
Las informaciones publicadas en Redacción Médica contienen afirmaciones, datos y declaraciones procedentes de instituciones oficiales y profesionales sanitarios. No obstante, ante cualquier duda relacionada con su salud, consulte con su especialista sanitario correspondiente.