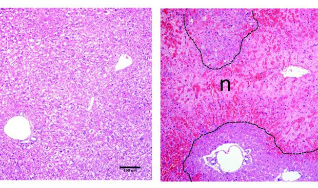
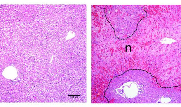
Comparación entre tejido hepático sano (izquierda) y dañado (derecha). (Fuente: Nádia Duarte, IGC)                                            
                                        
                                        
                                            Un estudio publicado en la revista 
Hepatology Communications muestra que la molécula 
CD26/DPP-4 está involucrada en la regeneración de las 
lesiones agudas del hígado, siendo un potencial 
biomarcador de la 
enfermedad hepática.
Se sabe que DPP-4 regula la secreción de 
insulina sobre la base del consumo de comida. La regulación de los 
niveles de azúcar en sangre en 
diabetes tipo 2 se lleva a cabo por la inhibición terapéutica de la actividad enzimática de la molécula CD26/DPP-4.
Esta aproximación ha ganado relevancia clínica. Además, más allá de su papel en el control del nivel de azúcar en sangre, la molécula DPP-4 parece estar relacionada con 
reacciones inflamatorias en varios procesos patológicos.
	
	Células de Kupffer
En el estudio, los investigadores exploraron el papel de CD26/DPP-4 durante la lesión del tejido hepático que conlleva la reducción de la población de células inmunitarias del hígado (células de Kupffer). La actividad enzimática de CD26/DPP-4 en sangre 
aumenta cuando esta población disminuye en modelos animales (ratones) tanto con lesión aguda como crónica del hígado.
Los autores del estudio observaron que la supresión de esta población 
en ausencia de daño hepático hacía aumentar la actividad enzimática de CD26/DPP-4 en sangre. Estos resultados mostraron la estrecha relación entre los cambios en las células de Kupffer asociadas con enfermedades hepáticas y la molécula CD26/DPP-4.
Esta relación entre las células inmunes del hígado y la actividad enzimática de CD26/DPP-4 en la sangre sugiere que el nivel de 
esta actividad puede usarse como biomarcador. Además, puede ser un parámetro bioquímico para evaluar la lesión hepática, ya que en la actualidad esta evaluación solo puede llevarse a cabo a través de métodos invasivos.
                                        
 
                                        
                                            Las informaciones publicadas en Redacción Médica contienen afirmaciones, datos y declaraciones procedentes de instituciones oficiales y profesionales sanitarios. No obstante, ante cualquier duda relacionada con su salud, consulte con su especialista sanitario correspondiente.