Científicos identifican las HHyP, que son capaces de regenerar el tejido

Descubren unas nuevas células que plantean el fin del trasplante hepático


SE LEE EN 3 minutos
Investigadores del King's College de Londres (Reino Unido) han utilizado la secuenciación de ARN para identificar un tipo de célula que pueda regenerar el tejido hepático y tratar la insuficiencia hepática sin necesidad de trasplantes, según publican en la revista 'Nature Communications'.

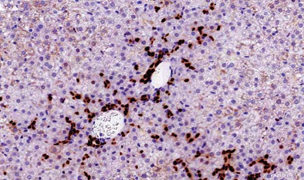
Los científicos han identificado un nuevo tipo de célula llamada progenitor híbrido hepatobiliar (HHyP), que se forma durante nuestro desarrollo temprano en el útero. Sorprendentemente, el HHyP también persiste en pequeñas cantidades en los adultos y estas células pueden crecer hasta convertirse en los dos tipos de células principales del hígado adulto (hepatocitos y colangiocitos) que le dan a HHyPs propiedades similares a las células madre.

El equipo examinó los HHyP y descubrió que se parecen a las células madre de ratones que se ha encontrado que reparan rápidamente el hígado de los ratones después de una lesión importante, como ocurre en la cirrosis.

El autor principal, Tamir Rashid, del Centro de Células Madre y Medicina Regenerativa del King's College de Londres, explica que "por primera vez, hemos encontrado que las células con verdaderas propiedades similares a las células madre pueden existir en el hígado humano. Esto a su vez podría proporcionar una amplia gama de aplicaciones de Medicina regenerativa para el tratamiento de enfermedades hepáticas, incluida la posibilidad de evitar la necesidad de trasplantes de hígado".

El trasplante puede dar lugar a complicaciones 


La enfermedad hepática es la quinta causa de muerte en el Reino Unido y la tercera causa más común de muerte prematura, y el número de casos continúa aumentando. Puede ser causada por problemas de estilo de vida como la obesidad, los virus, el uso indebido de alcohol o problemas no relacionados con el estilo de vida, como las enfermedades autoinmunes y genéticas.

Los síntomas de la enfermedad hepática incluyen ictericia, picor y sensación de debilidad y cansancio y, en casos más graves, cirrosis. El único tratamiento para las enfermedades hepáticas graves en la actualidad es un trasplante de hígado que puede llevar a complicaciones de por vida y por lo que la necesidad de órganos de los donantes supera con creces las crecientes demandas.

"Ahora debemos trabajar rápidamente para desbloquear la receta para convertir células madre pluripotentes en HHPs para que podamos trasplantar esas células en pacientes a voluntad. A más largo plazo, también trabajaremos para ver si podemos reprogramar HHPs en el cuerpo. Utilizando medicamentos farmacológicos tradicionales para reparar hígados enfermos sin trasplante de células u órganos ", apunta Rashid.

Las informaciones publicadas en Redacción Médica contienen afirmaciones, datos y declaraciones procedentes de instituciones oficiales y profesionales sanitarios. No obstante, ante cualquier duda relacionada con su salud, consulte con su especialista sanitario correspondiente.