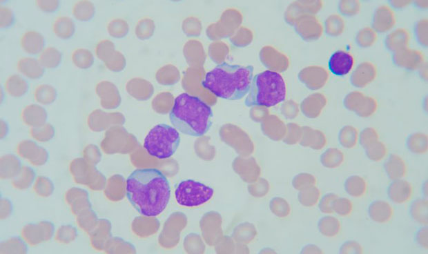
Un estudio liderado por la Universidad de Oviedo integra los datos genómicos de la leucemia linfocítica crónica para detectar su efecto común en la expresión de diferentes genes. El estudio ha sido publicado en el Journal of Gene Medicine.
Los investigadores idearon un algoritmo que relaciona mutaciones y expresión génica (la leucemia linfocítica crónica tiene una gran heterogeneidad), y detectaron las tres mutaciones más importantes: de la región variable de la cadena pesada de las inmunoglobulinas –que sirve para establecer factores pronósticos de evolución de la enfermedad–, la mutación del gen NOTCH1 y la del gen SF3B1.
“Lo que nos extrañó ya desde el principio es que las dos últimas mutaciones están presentes en un número muy reducido de individuos y que eran factores pronóstico que por sí solas no podían explicar la evolución de la enfermedad”, señalan los investigadores. Por eso, se decidieron a buscar los “posibles mecanismos de acción común” que pudiesen dar origen al desarrollo de la leucemia linfocítica crónica, la leucemia más habitual en adultos.
Posibilidades en enfermedades raras
Hay cuatro genes que están impactados por todas las mutaciones, relacionados con las vías de la interleucina-4 (IL-4), que actúa como antiinflamatorio y participa en la regulación del sistema inmunitario en múltiples niveles.
La metodología diseñada es generalizable a otros tipos de cánceres, enfermedades raras y neurodegenerativas, explican los autores. Por ello, ya está siendo aplicada a algunas de estas enfermedades, como ELA, alzhéimer, párkinson o esclerosis múltiple.
El estudio ha sido desarrollado por el grupo de Problemas Inversos del Departamento de Matemáticas de la Universidad de Oviedo, el grupo de Steve Sonis de la Universidad de Harvard, el Dana Farber Cancer Institute, y el Brigham and Women Hospital de Boston.
REGÍSTRATE GRATIS
PARA SEGUIR LEYENDO
¿Ya eres premium? Inicia sesión
Aviso importante
El usuario desde el que está intentando acceder a este contenido no está registrado como profesional autorizado para acceder a esta información. Esta noticia informa sobre novedades farmacológicas y, por ley, está reservada a profesionales de la salud habilitados para la prescripción o dispensación de medicamentos.
Volver a la portada de Redacción Médica
Las informaciones publicadas en Redacción Médica contienen afirmaciones, datos y declaraciones procedentes de instituciones oficiales y profesionales sanitarios. No obstante, ante cualquier duda relacionada con su salud, consulte con su especialista sanitario correspondiente.