Diccionario de enfermedades

Neumotórax

¿Cómo se diagnostica el  neumotorax?
La cavidad pleural es el espacio virtual que se encuentra entre la pleura visceral (el tejido que recubre al pulmón) y la pleura parietal (el tejido que recubre por dentro la cavidad torácica). Este espacio es habitualmente minúsculo con una escasa cantidad de líquido en el pequeño espacio existente. Sin embargo este espacio puede llenarse de aire (neumotórax) o de líquido (derrame pleural) en diversas enfermedades.

Un neumotórax es la entrada de aire en la cavidad pleural. Como consecuencia de ello, el pulmón se colapsa, es decir se encoge por la presión del aire, y deja de funcionar. El aire puede entrar a la cavidad pleural desde el propio pulmón, al perforarse la pleura visceral por algún motivo (rotura de una bulla, cáncer, rotura de una costilla, etc.) o desde el exterior, al perforarse la pared torácica y la pleura parietal como consecuencia de un traumatismo (por ejemplo un accidente de tráfico) o una herida (por ejemplo una puñalada).

Causas del Neumotórax


Los neumotórax se clasifican en:
  • Neumotórax espontáneos. Ocurren sin causa desencadenante aparente. Se dividen en:
  • Neumotórax espontáneo primario. No existe ninguna enfermedad pulmonar que lo justifique. Suele deberse a la rotura de pequeñas bullas (burbujas) o pequeños quistes, situados en la parte más alta del pulmón. Se observa casi exclusivamente en fumadores. La mitad de los pacientes que sufren un episodio de neumotórax espontáneo primario tendrán un segundo episodio en el futuro.
  • Neumotórax espontáneo secundario. Existe una enfermedad pulmonar o pleural subyacente que lo puede justificar. En general se trata de pacientes que padecen una EPOC, si bien casi cualquier enfermedad pulmonar (asma, fibrosis pulmonar, neumonía, enfisema, etc.) lo puede favorecer.
  1. Neumotórax traumáticos. Se producen como consecuencia de un traumatismo torácico que puede ser penetrante (se observa una herida por donde el aire entra al interior de la cavidad pleural) o no penetrante (se produce sin que haya herida al exterior). Pueden también producirse como complicación de alguna prueba diagnóstica, por ejemplo al pinchar con una aguja para extraer líquido del pulmón, al intentar tomar una vía en una vena del cuello, etc.

Síntomas del Neumotórax


Los síntomas dependen del tamaño del neumotórax. En general suele producir:
  • Dolor de aparición súbita en la zona del pecho donde se ha colapsado el pulmón.
  • Dificultad respiratoria (disnea), que será mayor si el neumotórax es muy grande y en aquellos pacientes que tienen una enfermedad pulmonar previa y, por tanto, pueden tener pocas reservas en el único pulmón que de momento les queda funcionante.


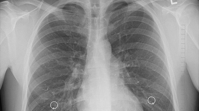
¿Cómo se diagnostica?


El diagnóstico de neumotórax se sospecha con los síntomas que refiere el paciente y con la auscultación del pulmón y se confirma al realizar una radiografía del tórax donde se observa que no hay tejido pulmonar en una zona del tórax. A veces es necesario realizar una gasometría para determinar la cantidad de oxígeno en sangre y más raramente, un TAC si se va a proceder a una intervención quirúrgica.

¿Pueden prevenirse el neumotórax?


La única manera de prevenir los neumotórax es no fumar o abandonar el consumo de tabaco.

¿Cuál es su pronóstico?


Los neumotórax se repiten con frecuencia, sobre todo si se continúa fumando. En caso de un segundo neumotórax existe indicación de tomar alguna actitud terapéutica para evitar la aparición de un tercero.

Tratamiento del Neumotórax


El tratamiento inicial del neumotórax es la extracción del aire del interior de la cavidad pleural. Cuando el neumotórax es muy pequeño a veces no se hace nada y el aire va desapareciendo por sí solo con el tiempo. Si el neumotórax es más grande, se realiza una toracocentesis y se deja un tubo colocado entre dos costillas, en la cavidad pleural, mediante el que se extrae el aire de la misma. El tubo se conecta a un dispositivo con agua, lo que permite que el aire salga del pulmón y que no pueda volver a entrar.

Si el aire no puede ser totalmente extraído o si se producen recurrencias (es decir, nuevos neumotórax), se debe realizar una toracoscopia con grapado de las bullas de aire que se encuentren en el pulmón y con abrasión pleural (irritación de la pleura), lo que facilita la unión entre la pleura visceral y la parietal y el cierre de la cavidad. Esta técnica evita casi al 100% que se produzcan nuevas recurrencias.

En los casos de pacientes con mala situación respiratoria en la que no esté indicada una toracoscopia, puede inyectarse alguna sustancia en el interior de la cavidad pleural (pleurodesis) que produce una irritación química de la pleura y facilita también el sellado de la misma.
Aunque esta información ha sido redactada por un especialista médico, su edición ha sido llevada a cabo por periodistas, por lo que es un contenido meramente orientativo y sin valor de indicación terapéutica ni diagnóstica. Recomendamos al lector/a que cualquier duda relacionada con la salud la consulte directamente con el profesional del ámbito sanitario correspondiente.