Esta sanitaria reconoce que quiso tranquilizar a la paciente, pero "no podía mentir"

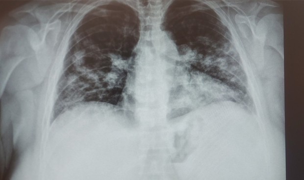
Covid-19 segunda ola: "Hacía meses que no veía una radiografía así"


SE LEE EN 2 minutos
Los facultativos coinciden en la incidencia de la segunda ola de Covid-19 y continúan alertando de las consecuencias que tiene este virus en la población. Es el ejemplo de una médica de Familia que ha reconocido que desde hace meses no mandaba al hospital a un paciente con una radiografía así.

"Quise decirle que fuera tranquila, animarla, pero no pude, sé que no puede estar tranquila con eso, no podía mentir. Se me encogió el corazón. Reconozco que estoy más sensible que en la primera ola, no sé si lo aguantaré", expresa a través de una publicación desde su perfil de Twitter.


"No nos hemos recuperado de la primera, va a ser difícil afrontar la segunda, y la pregunta es la siguiente, ¿valió la pena el esfuerzo? Hay días que creo que sí y otros que creo que no. Me deprimo de solo pensarlo", responde un cardiólogo.
"Parece que pronto comprobaremos si se aprendió de todo lo pasado o no. Vicios e interpretaciones particulares de protocolos, del doble circuito que no se atajan, mal camino para una nueva ola. En fin, ¡vamos pronto a por el segundo asalto!", expresa un facultativo de Urgencias.

Debate ante los protocolos


De hecho, las palabras de esta facultativa han levantando curiosidad entre otros profesionales que le han preguntado sobre su decisión de no derivar a la paciente directamente al hospital antes de hacerle la radiografía al presentar síntomas de Covid-19.

"Así lo empezamos a hacer en marzo, un paciente con disnea, inestable o saturación muy baja, ni me lo planteo, a urgencias de cabeza. Un paciente dudoso, Rx y si no hay neumonía, para casa. Mientras los radiólogos de mi centro, no me digan lo contrario, seguiremos actuando así", aclara está médica. 
Las informaciones publicadas en Redacción Médica contienen afirmaciones, datos y declaraciones procedentes de instituciones oficiales y profesionales sanitarios. No obstante, ante cualquier duda relacionada con su salud, consulte con su especialista sanitario correspondiente.