En el marco del 35º congreso de la SERAM 2021, se ha desarrollado un simposio sobre el uso de datos y la gestión eficiente de procesos, con las experiencias del Hospital Universitario Virgen de Valme, de Sevilla, en optimización de dosis y unificación de protocolos; y el Hospital Universitario Morales Messeguer, de Murcia, en la gestión de flujos de pacientes Covid-19.
El simposio llamado ‘La transformación en el radiodiagnóstico: del uso inteligente de los datos a la gestión eficiente de procesos y formación’, impulsado por GE Healthcare, ha contado con la participación de más de 200 profesionales.
Durante el encuentro, Salvador Pedraza, director territorial de Radiología y Medicina Nuclear de Centre IDI de Girona y presidente de la Sociedad de Radiólogos de Cataluña, quien ha moderado el simposio, ha manifestado la necesidad de analizar la situación actual en la que se encuentran las unidades de Radiología y los retos a los que se enfrentan tras la pandemia para reinventarse.
“Muchos de los problemas que teníamos antes del Covid-19 continúan y quizás la forma en la que hemos venido trabajando tiene que cambiar. Nuestra obligación es dar el mejor servicio a los pacientes y las normas que teníamos previamente a lo mejor no son las que nos permiten garantizar este servicio de forma óptima”, ha expuesto en su introducción para dar paso a los ponentes. “Es por ello que escuchar experiencias concretas como las del Hospital de Valme y la del Hospital Morales Meseguer nos sirven para identificar otras formas de hacer las cosas”, ha agregado.
Programa ‘Huella de Energía’
La experiencia del Hospital Valme es una muestra del “complejo” programa ‘Huella de Energía’ que abarca toda la comunidad autónoma Andaluza, una región que es pionera en Europa con tecnología de “primer nivel” y con formación continua para los profesionales que, junto con los comités locales de dosis, han contribuido a la unificación de los protocolos de las pruebas de Radiodiagnóstico y a una importante reducción del nivel de radiación al que se someten los pacientes en estas pruebas médicas.
De acuerdo con Manuel Francisco Rodríguez, jefe del servicio de protección radiológica del Hospital Universitario Virgen de Valme, de Sevilla, la unificación de protocolos y armonización de dosis son resultado de un estudio en el que se han revisado no solo procesos o justificación de prescripciones, sino que se han valorado las necesidades del hospital y de los demás centros asistenciales a la hora de planificar el equipamiento necesario pensando en la seguridad y servicio al paciente.
En este contexto, Rodríguez ha señalado que “contar con tecnología homogénea y con un Centro Avanzado de diagnóstico por Imagen (CADI), en proceso de implementación en el hospital como parte del gran proyecto del Servicio Andaluz de Salud SAS, ha supuesto un cambio de paradigma para el servicio de protección radiológica, porque se aplicaron criterios técnicos y clínicos en la renovación e incorporación de equipos y porque pone en valor el trabajo de años de los radiofísicos en pro de la optimización de dosis a los pacientes, dotando a todo el SAS de herramientas de monitorización, mejora e investigación sin parangón en Europa”.
El CADI, que incorpora cuadros de mando y gestiona de forma centralizada datos e información (‘big data’) de todos los equipos de Radiología de la red pública en tiempo real para la toma de decisiones, constituye un “avance en eficiencia operativa y clínica”. Su éxito, ha destacado Rodríguez, radica en el aseguramiento de la calidad, la minimización de riesgos y la optimización de los servicios diagnósticos por imagen para el sistema de salud andaluz.
Por otra parte, Jose María García-Santos, jefe del servicio de Radiología del Hospital Universitario Morales Messeguer, de Murcia, ha presentado la criticidad de la gestión de urgencias en el contexto Covid-19 y el papel que jugaron los centros de Atención Primaria en la optimización de flujos de pacientes.
Circuito de atención específico para pacientes con sospecha de Covid-19
Los servicios de urgencia, que se vieron desbordados durante los picos de la pandemia del coronavirus, vieron la oportunidad de descongestionar la puerta de urgencias, apoyando a Atención Primaria en el control de los pacientes confinados, a partir de la creación de un circuito de atención específico para pacientes con sospecha de Covid-19.
De acuerdo con García-Santos la coordinación del servicio de Radiología ha sido clave: “Tuvimos que diseñar un circuito extrahospitalario para atención Covid-19, que permitiera mantener lo más separados posible a los pacientes y con ello garantizar la seguridad de todos y evitar el colapso de la entrada de urgencias. Lo pudimos hacer porque atendíamos de forma agendada las radiografías derivadas desde Atención Primaria. Básicamente nos convertimos en la puerta de entrada al hospital optimizando los tiempos de estancia, que en nuestro circuito eran de 41 minutos, en comparación con las tres horas y media a través del circuito de urgencias”, ha explicado.
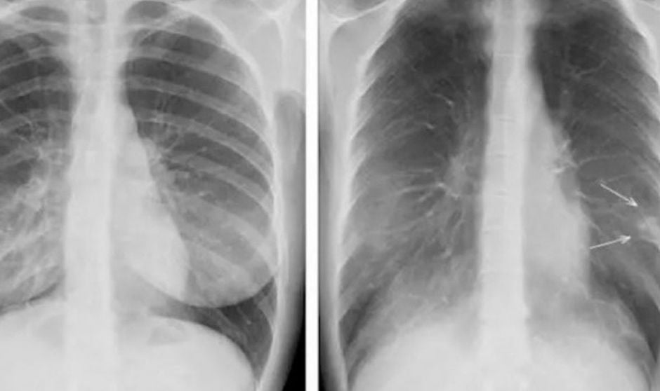
Uso de tomosíntesis en casos Covid-19
Por otra parte, en aquellos momentos críticos, ha comentado García-Santos “empleamos una herramienta intermedia entre el TC y la radiografía de tórax, la tomosíntesis, con una calidad diagnóstica mayor que la de la radiografía, que permitía ver rápidamente una consolidación neumónica, que era el criterio de ingreso.
Más de la mitad de las pruebas que hemos realizado con tomosíntesis de la primera ola venían derivadas directamente de Atención Primaria. Por lo que esa derivación canalizada y organizada la hemos sacado de los servicios de urgencias, con el beneficio añadido de la seguridad para el paciente, que podía regresar a su domicilio si no precisaba un ingreso al descartar neumonías en las pruebas radiológicas”.
REGÍSTRATE GRATIS
PARA SEGUIR LEYENDO
¿Ya eres premium? Inicia sesión
Aviso importante
El usuario desde el que está intentando acceder a este contenido no está registrado como profesional autorizado para acceder a esta información. Esta noticia informa sobre novedades farmacológicas y, por ley, está reservada a profesionales de la salud habilitados para la prescripción o dispensación de medicamentos.
Volver a la portada de Redacción Médica
Las informaciones publicadas en Redacción Médica contienen afirmaciones, datos y declaraciones procedentes de instituciones oficiales y profesionales sanitarios. No obstante, ante cualquier duda relacionada con su salud, consulte con su especialista sanitario correspondiente.