La precisión diagnóstica de la prueba es del 80% según 'Stoic', aumentando hasta el 86% tras de 5 días de síntomas

La tomografía computarizada es el mejor predictor de mal pronóstico Covid
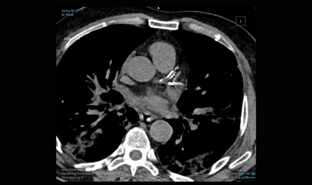
Anotaciones de imagen por tomografía computarizada.


SE LEE EN 2 minutos
POR CRISTIAN GALLEGOS
Una investigación realizada en 20 hospitales universitarios franceses ha evidenciado que la tomografía computarizada es el mejor predictor de mal pronóstico Covid-19. Este proceso de obtención de imagen permitió un diagnóstico correcto de la neumonía causada por el SARS-Cov-2 durante la primera ola de la pandemia del coronavirus en Francia.

DIRECTO | Última hora y novedades sobre el coronavirus Covid-19

El trabajo, publicado en la revista Radiology, se llevó a cabo mediante un proyecto llamado ‘Estudio de Tomografía Computarizada Torácica en Covid-19 (Stoic, por sus siglas en inglés)’, el cual tenía como objetivo construir un conjunto de datos de al menos 10.000 tomografías computarizadas de individuos con sospecha de neumonía por Covid-19, evaluados entre el 1 de marzo y el 30 de abril de 2020. 

El estudio contó con una muestra de cohorte retrospectivo de 10.735 sujetos sospechosos con neumonía causada por el coronavirus. La investigación arrojó que la precisión diagnóstica de la tomografía computarizada general fue del 80 por ciento, considerando la RT-PCR como estándar de referencia, y aumentó al 86,3 por ciento después de 5 días de síntomas.

El predominio masculino, el aumento del índice de masa muscular (IMC), la diabetes y otras características de la muestra de estudio estuvieron en línea con las ya reportadas como factores de riesgo para desarrollar neumonía sintomática por Covid e ingreso hospitalario.


Factores de riesgo


Además de la evaluación del rendimiento diagnóstico, otro objetivo importante del proyecto Stoic, fue evaluar los factores de riesgo de un resultado deficiente. “Encontramos que la edad avanzada, el sexo masculino y la hipertensión eran factores de riesgo para un resultado severo, al contrario de la cantidad de grasa de la pared torácica. Además, el enfisema no resultó ser un predictor independiente de gravedad en nuestro estudio, en línea con el de sujetos con EPOC que representaron solo el 4 por ciento de los ingresados ​​en UCI”, explican los autores del estudio.

El modelo de riesgo de resultado grave mejoró cuando las variables clínicas se combinaron con anotaciones de tomografía computarizada, siendo la extensión del daño parenquimatoso pulmonar el predictor más fuerte.

A modo de conclusión, los autores argumentan que la inteligencia artificial podría ayudar a predecir “mejor” la gravedad de la enfermedad en personas con Covid-19, pero requiere grandes “conjuntos de datos”, una de las razones por las que se lanzó el proyecto Stoic.
Las informaciones publicadas en Redacción Médica contienen afirmaciones, datos y declaraciones procedentes de instituciones oficiales y profesionales sanitarios. No obstante, ante cualquier duda relacionada con su salud, consulte con su especialista sanitario correspondiente.