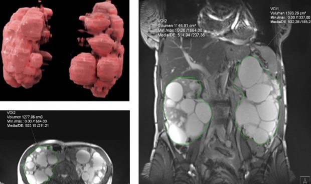
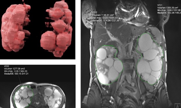
Resona, el centro de diagnóstico por imagen avanzada del grupo Asisa, ha incluido en su cartera de servicios la cuantificación de volumetría renal mediante resonancia en equipo de tres teslas en sus estudios sobre poliquistosis renal. Esta técnica mejora la capacidad de diagnóstico de la enfermedad renal garantizando la máxima seguridad de los pacientes.
La aplicación de esta técnica permite a Resona ofrecer estudios más precisos sobre la evolución de los pacientes y mejorar la eficacia de los tratamientos. Actualmente, el volumen renal total (VRT) en el seguimiento de pacientes con poliquistosis renal autosómica dominante se considera un biomarcador de progresión a insuficiencia renal y, por lo tanto, un factor determinante a la hora de realizar el pronóstico sobre la evolución de la enfermedad.
Igualmente, se ha determinado mediante ensayos clínicos que el uso de determinados fármacos (tolvaptan) ayuda a reducir la velocidad de la progresión de la enfermedad, evitando el aumento del tamaño renal y retrasando el deterioro de la función renal. Por ello, la capacidad de contar con una herramienta de medición exacta del VRT es de gran importancia para la óptima selección de los pacientes candidatos al tratamiento y para controlar su respuesta al mismo.
Cálculo del volumen mediantre fórmula elipsoide
La cuantificación de volumetría renal mediante resonancia en equipo de tres teslas mejora la capacidad respecto a otros medios de diagnóstico, como el uso de la ecografía y el cálculo del volumen mediante la fórmula elipsoide, que ofrece datos menos precisos y menos reproducibles. En el caso del cálculo volumétrico mediante TAC, aunque es una técnica más exacta que la ecografía, implica el uso de radiación ionizante.
La resonancia magnética de tres teslas con la que cuenta Resona, utilizando la segmentación renal a través de inteligencia artificial y planimetría, ofrece cálculos del VRT más precisos, sin irradiación y reproducibles, además de permitir el estudio adicional de la patología renal y la complicación de los quistes, su crecimiento o presencia de hemorragia, así como obtener imágenes 3D.
REGÍSTRATE GRATIS
PARA SEGUIR LEYENDO
¿Ya eres premium? Inicia sesión
Aviso importante
El usuario desde el que está intentando acceder a este contenido no está registrado como profesional autorizado para acceder a esta información. Esta noticia informa sobre novedades farmacológicas y, por ley, está reservada a profesionales de la salud habilitados para la prescripción o dispensación de medicamentos.
Volver a la portada de Redacción Médica
Las informaciones publicadas en Redacción Médica contienen afirmaciones, datos y declaraciones procedentes de instituciones oficiales y profesionales sanitarios. No obstante, ante cualquier duda relacionada con su salud, consulte con su especialista sanitario correspondiente.