Este descubrimiento podría servir para desarrollar pruebas de rutina en pacientes con antecedentes familiares

Una mutación hereditaria aumenta drásticamente el cáncer de páncreas
El estudio ha sido publicado en 'Nature Genetics'.


SE LEE EN 3 minutos
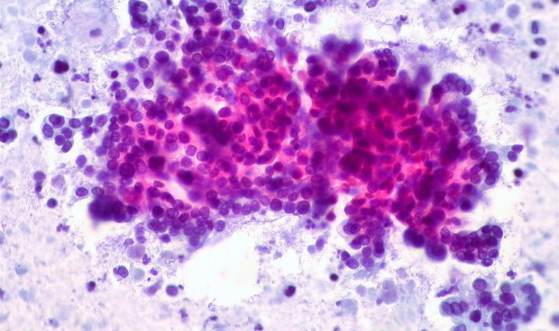
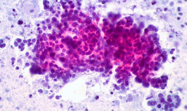
Investigadores norteamericanos han identificado una mutación genética hereditaria rara, que se produce en el gen conocido como RABL3, que aumenta dramáticamente el riesgo de cáncer de páncreas y de otros tipos, durante toda la vida.

El descubrimiento de la mutación previamente desconocida, que ha sido publicado en 'Nature Genetics' por investigadores del Centro de Cáncer Dana-Farber y Brigham and Women's, podría servir para desarrollar pruebas de rutina en individuos con fuertes antecedentes familiares de cáncer pancreático, para determinar si portan la mutación.

"Existe evidencia de que la detección del cáncer de páncreas a través de la detección de individuos de alto riesgo puede mejorar los resultados", ha señalado Sahar Nissim, genetista de cáncer y gastroenterólogo del Instituto de Cáncer Dana-Farber y el Hospital Brigham and Women's, y primer autor del estudio.

La mutación recientemente identificada en el gen RABL3 aumenta de manera similar la probabilidad de que se desarrolle cáncer durante la vida de la persona. "El cáncer de páncreas familiar, en el que una mutación genética heredada es responsable de múltiples casos en una sola familia, puede darnos información valiosa que abre nuevas opciones preventivas y de tratamiento para el cáncer de páncreas", señalan.


Estudio


La mutación RABL3 se detectó cuando los científicos estudiaron una familia en la que había cinco parientes con cáncer de páncreas y múltiples familiares con otros tipos de cáncer, un patrón que sugiere una mutación hereditaria que causa predisposición a desarrollar cáncer.

El análisis incluyó secuenciar el ADN de un miembro de la familia, que desarrolló cáncer de páncreas a los 48 años, y el de su tío paterno, a quien le diagnosticaron a los 80.

La mutación RABL3 también se encontró en varios otros miembros de la familia que desarrollaron cáncer y en un miembro de la familia que no ha sido diagnosticado con cáncer. Confirmar que una nueva mutación genética causa cáncer mediante enfoques epidemiológicos a menudo requiere muchos años de búsqueda de familias similares en todo el mundo.


Mutación rara en la población general


Los investigadores enfatizaron que la mutación RABL3 es rara en la población general, pero dijeron que su detección, y posiblemente otras mutaciones en el gen RABL3, pueden revelar la predisposición genética en otras familias con un síndrome de cáncer hereditario no resuelto.

Identificar una mutación en estas familias ayudaría a guiar a los familiares que deberían considerar la detección del cáncer de páncreas.
Las informaciones publicadas en Redacción Médica contienen afirmaciones, datos y declaraciones procedentes de instituciones oficiales y profesionales sanitarios. No obstante, ante cualquier duda relacionada con su salud, consulte con su especialista sanitario correspondiente.