El análisis señala que el Covid-19 permanece mucho más tiempo en el organismo expandiendo sus focos de contagio

Covid-19 y neumonía: identifican por qué la del coronavirus es distinta
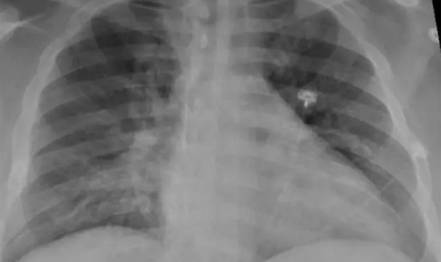
La radiografía de tórax de un paciente positivo de Covid-19 que muestra una neumonía en la parte inferior de los pulmones.


SE LEE EN 3 minutos
Había sospechas, pero ninguna validada por un estudio. La neumonía convencional es completamente diferente a la neumonía causada por el Covid-19. Mientras en la primera suele ser de origen bacteriano, y por tanto controlarse por antibióticos y el propio sistema inmunológico puede identificarlas, con la Covid-19 nada de esto sucede.

Así lo recoge un nuevo estudio publicado en Nature el 11 de enero, donde se ponen de relevancia las diferencias entre ambas enfermedades.

En lugar de infectar rápidamente grandes regiones del pulmón, tal y como hace la neumonía convencional, el SARS-CoV-2 se instala en múltiples pequeñas áreas del pulmón. A partir de ahí, el virus secuestra las propias células inmunes de los pulmones y las usa para propagarse por el pulmón durante un largo periodo de tiempo. Los investigadores usan el ejemplo grafico de un incendio forestal. Es decir, el Covid-19 sería como un foco que se va provocando lentamente otros focos. Esos otros focos serían los otros órganos que se ven afectados por el virus, como los riñones, el cerebro, o el corazón.

“Las complicaciones generadas por el Covid-19, en comparación a otras neumonías, podría explicarse por la prolongación en el tiempo que está presente la enfermedad en el organismo”, señalan los autores del estudio.

Como resultado del análisis detallado, los investigadores identificaron objetivos críticos para tratar la neumonía grave por SARS-CoV-2 y reducir su daño. Los objetivos son las células inmunes: macrófagos y células T. El estudio sugiere que los macrófagos, células típicamente encargadas de proteger el pulmón, pueden infectarse con el SARS-CoV-2 y contribuir a propagar la infección a través del pulmón.

Mejorar el tratamiento


"Nuestro objetivo es hacer que el Covid-19 sea leve en lugar de grave, haciéndolo comparable a un fuerte resfriado", destaca el coautor principal del estudio, Scott Budinger, jefe de medicina pulmonar y de cuidados críticos de la Facultad de Medicina Feinberg de la Universidad Northwestern y Northwestern Medicamento.

"Este esfuerzo realmente representa un 'salto a la luna' en la investigación de Covid-19", afirma el coautor principal del estudio, Richard Wunderink, profesor de medicina pulmonar y de cuidados críticos en Feinberg y director médico de la UCI de Northwestern Medicine.

Y es, tal y como aseguran, “es poco probable que el Covid-19, al igual que la influenza, desaparezca, incluso si gran parte de la población está vacunada”. De ahí la importancia de saber como derivar la enfermedad a un cuadro leve mediante tratamientos que reduzca su gravedad.

Para el estudio, los científicos realizaron un análisis de alta resolución del líquido pulmonar de 86 pacientes con Covid-19 en un ventilador y lo compararon con el líquido pulmonar de 256 pacientes en un ventilador que tenían otros tipos de neumonía. Debido a las preocupaciones de seguridad, solo un puñado de grupos en todo el mundo realizó análisis de la respuesta inmune en los pulmones de pacientes con Covid-19. 
Las informaciones publicadas en Redacción Médica contienen afirmaciones, datos y declaraciones procedentes de instituciones oficiales y profesionales sanitarios. No obstante, ante cualquier duda relacionada con su salud, consulte con su especialista sanitario correspondiente.