Investigadores del CNIO han descubierto que una mutación hace creer a las células cancerígenas de que tienen alimentos

Los nutrientes, la clave para detener en ratones un linfoma sin curación
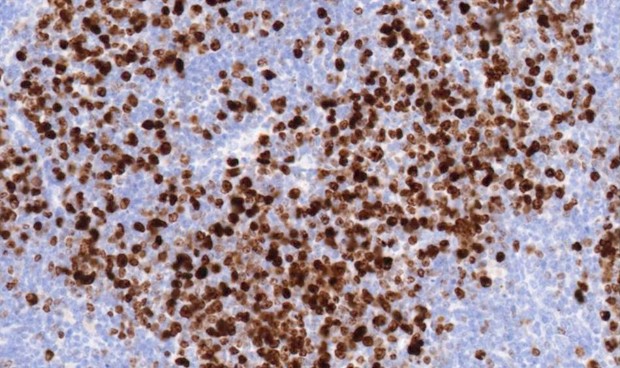
Linfoma folicular en ratones.


SE LEE EN 3 minutos
Investigadores del Centro Nacional de Investigaciones Oncológicas (CNIO) ha descubierto una conexión entre los nutrientes y el linfoma folicular, un tipo de tumor que aparece en los glóbulos blancos del sistema linfático y es consecuencia del crecimiento descontrolado de estas células.

Se da en unos 5-7 casos por 100.000 habitantes, es el segundo tipo de linfoma más frecuente y su incidencia va en aumento. Se trata de un cáncer con una supervivencia larga debido a su lenta progresión, pero para el que no existe una cura: con el tiempo, muchos pacientes dejan de responder a los escasos tratamientos disponibles.


Origen del linfoma folicular


Su causa y origen se encuentra en el sistema inmunitario. Para responder al ataque de un patógeno (por ejemplo, un virus o una bacteria), las diferentes células que forman parte de este sistema (células B, células T, macrófagos) se multiplican y se organizan como un ejército para atacar al patógeno.

Este 'ejército' monta una arquitectura de comunicación entre las células que se desmantela cuando el patógeno ha sido eliminado y la respuesta inmunitaria debe terminar. Sin embargo, en algunos casos esta arquitectura se conserva de manera anómala, el crecimiento de las células B que han participado en esta respuesta se descontrola y da lugar a un tumor, los linfomas foliculares.


Mutación del gen RagC



Alejo Efeyan: "Nuestro estudio confirma que las mutaciones en RagC están en el origen de la enfermedad"


Las causas genéticas de este fenómeno aún no están claras, pero uno de cada seis pacientes muestra mutaciones en RagC, uno de los genes de la importante ruta metabólica de mTOR. Este estudio, publicado en la revista Nature Metabolism, confirma que la mutación es causa y no consecuencia de la enfermedad, tratándose de la primera evidencia de actividad oncogénica entre los genes que informan a mTOR de la presencia de nutrientes para crecer.

Empleando la novedosa técnica de edición genética Crispr-Cas9, los investigadores indujeron la mutación en un modelo de ratón que vio aumentada su supervivencia tras ser tratado con rapamicina, un inhibidor de mTOR que ya se encuentra en clínica para otros tumores.


Crecimiento descontrolado


El Grupo de Metabolismo y Señalización Celular del CNIO ha identificado el papel de esta ruta como origen de los linfomas foliculares, y proponen la exploración en futuros estudios de una posible estrategia terapéutica con un fármaco que ya está en clínica para otros tumores.

"Lo que hemos visto es que, con la mutación que hemos inducido en RagC, este gen está siempre en modo 'on'. Esto hace que las células B que han participado en una respuesta inmunitaria crean que tienen nutrientes para crecer y lo hagan descontroladamente. Nuestro estudio confirma que las mutaciones en RagC están en el origen de la enfermedad y, por lo tanto, nos encontramos ante la primera evidencia de actividad promotora de tumores de RagC y de todo el conjunto de genes que informa a mTOR de la presencia de nutrientes para crecer", explica Alejo Efeyan, autor principal de la investigación.
Las informaciones publicadas en Redacción Médica contienen afirmaciones, datos y declaraciones procedentes de instituciones oficiales y profesionales sanitarios. No obstante, ante cualquier duda relacionada con su salud, consulte con su especialista sanitario correspondiente.