El descubrimiento ha emanado de un equipo de investigadores de la Escuela Andaluza de Salud Pública
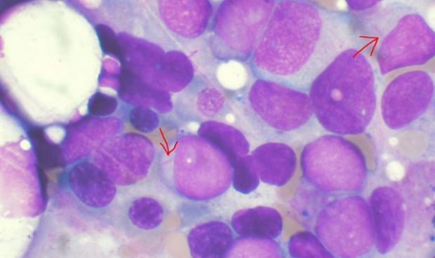
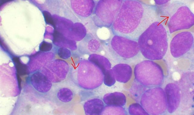
Cambios genéticos que han permitido el hallazgo.
SE LEE EN 3 minutos
POR REDACCIÓN
Un equipo de investigación internacional con profesionales de la Escuela Andaluza de Salud Pública (EASP) ha descubierto que es posible identificar a las personas con alto riesgo de desarrollar Leucemia Mieloide Aguda (LMA) años antes de que sean diagnosticadas.
Profesionales de la EASP, junto a investigadores del Instituto Wellcome Sanger y el Instituto Europeo de Bioinformática (EMBL-EBI), del Centro de Investigación Biomédica en Red de Epidemiología y Salud Pública (CIBERESP) y de otros centros de relevancia internacional, han descubierto que los pacientes con LMA tenían cambios genéticos en la sangre años antes de desarrollar la enfermedad.
El estudio, publicado en la revista Nature, y del que ha informado la EASP en un comunicado, muestra que los análisis de sangre que estudian cambios en el código de ADN pueden revelar los orígenes de la LMA en personas sanas.
Los investigadores han explicado que a través de un estudio sobre nutrición y cáncer con más de medio millón de participantes de diez países europeos se han podido descubrir los primeros pasos en el desarrollo de este tipo de leucemia.
"El reclutamiento de EPIC comenzó a principios de los años noventa, se recogieron muestras de sangre de un gran número de personas y se hizo un seguimiento de estos individuos a lo largo del tiempo estudiando la aparición de cáncer", han explicado los especialistas de España.
"Algunas de estas personas más tarde desarrollaron LMA y, utilizando sus muestras de sangre almacenadas, se pudo mirar qué cambios genéticos ya estaban presentes años antes de que apareciera la enfermedad", ha explicado los expertos, que secuenciaron el ADN sanguíneo almacenado de 124 pacientes con LMA y lo compararon con el de 676 personas que permanecieron sanas.
Este análisis permitió descubrir que muchas de las personas que desarrollaron este tipo de leucemia tuvieron cambios genéticos particulares que los diferenciaron de los que no lo hicieron y que podrían usarse colectivamente para desarrollar una prueba predictiva del riesgo de tener LMA muchos años antes del diagnóstico.
"La leucemia mieloide aguda a menudo aparece de forma muy repentina en los pacientes, por lo que nos sorprendió descubrir que sus orígenes son generalmente detectables más de cinco años antes de que se desarrolle la enfermedad", ha explicado Grace Collord, investigadora del Wellcome Sanger Institute y la Universidad de Cambridge.
El estudio se centró en los genes que se sabe están asociados con la LMA, y se encontraron mutaciones frecuentes en algunos de estos genes en muchas personas, incluidas algunas que no desarrollaron LMA.
Según los autores, este estudio proporciona por primera vez evidencia de que se puede identificar a las personas en riesgo de desarrollar LMA muchos años antes de que realmente desarrollen esta enfermedad potencialmente mortal.
REGÍSTRATE GRATIS
PARA SEGUIR LEYENDO
¿Ya eres premium? Inicia sesión
Aviso importante
El usuario desde el que está intentando acceder a este contenido no está registrado como profesional autorizado para acceder a esta información. Esta noticia informa sobre novedades farmacológicas y, por ley, está reservada a profesionales de la salud habilitados para la prescripción o dispensación de medicamentos.
Volver a la portada de Redacción Médica
Las informaciones publicadas en Redacción Médica contienen afirmaciones, datos y declaraciones procedentes de instituciones oficiales y profesionales sanitarios. No obstante, ante cualquier duda relacionada con su salud, consulte con su especialista sanitario correspondiente.