Investigadores británicos hallan una forma de unirse a proteínas disfuncionales que regulan la expresión génica

Encuentran dianas epigenéticas contra la leucemia mieloide aguda


SE LEE EN 2 minutos
Investigadores de la Universidad de Oxford (Reino Unido) han identificado una nueva posible diana para nuevos medicamentos contra la leucemia mieloide aguda.

En esta patología, la disfunción de las proteínas lectoras de las marcas epigenéticas del ADN dispara la expresión génica de células tumorales.

El trabajo realizado por Paul Brennan y Oleg Fedorov se basó en hacer un cribado de componentes químicos por su capacidad de unirse a los dominios YEATS modificados de lisina, un aminoácido presente en la cola de las histonas, que recubren el ADN.


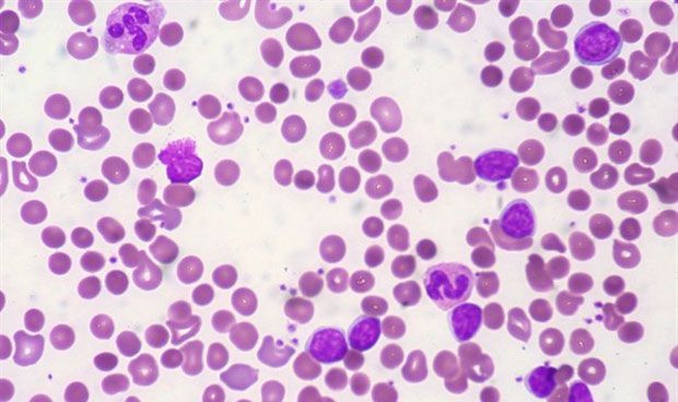
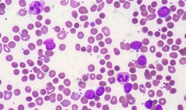
La leucemia mieloide es un tipo de cáncer hematológico que progresa rápidamente y en unas semanas puede ser letal


Probaron más de 200 compuestos hasta dar con el bencimidazol, formado por benceno y anillos aromáticos que contienen nitrógeno. Alterando su estructura para mejorar la unión y hacer la molécula más estable, consiguieron unir dos proteínas con dominios YEATS.


Pocas alternativas a la quimioterapia


Los autores señalan que es la primera vez que se encuentra un inhibidor potente y selectivo de factores epigenéticos que desencadenan la aparición de leucemia mieloide, un tipo de cáncer hematológico que progresa rápidamente y es falta en tan solo unas semanas o meses si no es tratado.

Además, las alternativas a la quimioterapia son escasas y, indican los investigadores, la necesidad de nuevos tratamientos es acuciante.

El estudio, publicado en la revista Angewandte Chemie, abre la puerta a la búsqueda de fármacos que inhiban la acción disfuncional de esta proteína.
Las informaciones publicadas en Redacción Médica contienen afirmaciones, datos y declaraciones procedentes de instituciones oficiales y profesionales sanitarios. No obstante, ante cualquier duda relacionada con su salud, consulte con su especialista sanitario correspondiente.