Una mujer murciana de 60 años pasó de ser una “feliz y positiva” a, en apenas dos meses, volverse apática, triste y tener un comportamiento religioso exacerbado. En un principio, su entorno familiar y social vinculó esos cambios de actitud vitales tan drásticos a una posible depresión derivada del diagnóstico de un cáncer a un pariente cercano del cual cuidaba. Sin embargo, no se trataba de eso, sino de un glioblastoma multiforme que hacía que, entre otras cosas, pensase que mantenía conversaciones con la Virgen.
El caso ha sido descrito por un grupo de investigadores del Hospital General Universitario de Morales Meseguer de Murcia, que ha publicado un trabajo sobre el mismo en la revista Neurocase.
Sin antecedentes de enfermedades neurológicas
En su informe, detallan que la paciente “no tenía antecedentes de enfermedades neurológicas, trastornos psicóticos, ansiedad o trastornos del estado de ánimo”. Asimismo, en cuanto a los rasgos de su personalidad, se resalta que “no era una mujer dada a la exaltación, la sugestión o las obsesiones repetidas”.
“Estas características estaban en marcado contraste con el hecho de que en un espacio de tiempo muy corto ella había desarrollado un interés creciente en la Biblia y otros escritos sagrados y pasaba las horas del día recitando infinitas letanías religiosas”, añade el texto.
Sorpresa en su entorno social
Todo esto “sorprendió” a la gente que la rodeaba, aunque ella percibió que esta actitud era valiosa y positiva dado que le inculcaba “un sentimiento de tremendo bienestar”, detalla el estudio, que también aclara que no había alteraciones psicomotoras, ni conmociones, manías, obsesiones o preocupaciones.
“Por lo general, la paciente grababa el audio de sus sesiones místicas en las que afirmaba que estaba viendo, sintiendo y conversando con la Virgen María”, dicen los investigadores acerca de las alucinaciones con las que se le manifestó el glioblastoma multiforme.
“Estos episodios podrían durar horas o incluso días, sin ataques asociados, déficits neurológicos, pérdida de conciencia o amnesia de lo que había ocurrido una vez que el episodio había pasado. En el tiempo, no parecían ser episódicos y no seguían ningún patrón de tiempo preestablecido. Su mente interpretó y reelaboró estos episodios de acuerdo a su forma de pensar. Días después de estas experiencias mantuvo su fe y siguió pensando que las experiencias habían sido válidas y reales”, asevera el estudio del caso.
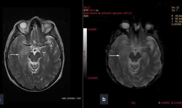
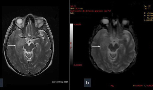
Lóbulo temporal derecho, posible culpable
A pesar de que en el estudio se indica que no se ha identificado qué parte del cerebro ha sido la responsable de las experiencias místicas de la paciente, se tiene la hipótesis de que haya podido ser el lóbulo temporal derecho.
Muerte de la paciente
Cabe destacar que la mujer del caso registrado por los investigadores del Hospital General Universitario de Morales Meseguer de Murcia, a pesar de que empezó a ser tratada dos meses después de presentar los síntomas descritos, falleció a los ocho meses.
REGÍSTRATE GRATIS
PARA SEGUIR LEYENDO
¿Ya eres premium? Inicia sesión
Aviso importante
El usuario desde el que está intentando acceder a este contenido no está registrado como profesional autorizado para acceder a esta información. Esta noticia informa sobre novedades farmacológicas y, por ley, está reservada a profesionales de la salud habilitados para la prescripción o dispensación de medicamentos.
Volver a la portada de Redacción Médica
Las informaciones publicadas en Redacción Médica contienen afirmaciones, datos y declaraciones procedentes de instituciones oficiales y profesionales sanitarios. No obstante, ante cualquier duda relacionada con su salud, consulte con su especialista sanitario correspondiente.