Imagen compartida en Twitter por @victorespuig                                            
                                        
                                        
                                            "La guardia de ayer en el área de respiratorio
 fue aterradora.
 Sensación continua de descontrol y desbordamiento". Así comienza el testimonio de un residente de Medicina de Familia desde su perfil de Twitter. Con más de 
41.000 nuevos contagios de coronavirus registrados este miércoles 20 de enero, la situación de la tercera ola empeora en los hospitales.
"Estuvimos ingresando entre 
dos y tres pacientes con neumonía por hora. Camas en pasillos e ingresos en sillas en salas de espera. Y seguimos cayendo sin paracaídas", continúa detallando. 
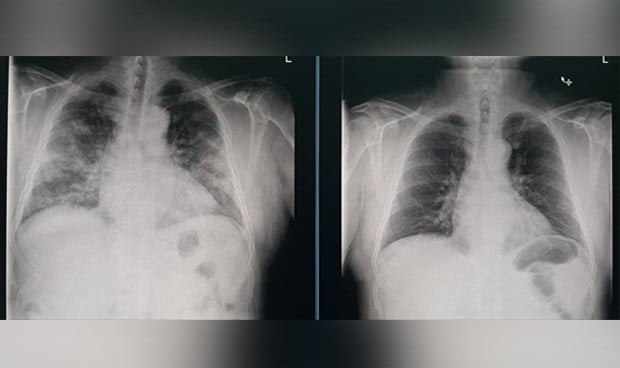
A su vez, este residente ofrece dos radiografías de un mismo paciente para que se vean las diferencias entre su estado normal y con neumonía bilateral causada por el Covid-19. La neumonía es uno de los síntomas graves que provoca el SARS-CoV-2 y de hecho, puede llegar a dejar secuelas en los pacientes. 
"Por desgracia las medias tintas con el Covid-19 no funcionan. Parece mentira que haya pasado un año de pandemia", expresa en otra publicación este MIR, "Solo hay que ver lo único que está funcionando en países vecinos, y esto es: confinamiento domiciliario. Y aparte, el ritmo de vacunación debe ser más acelerado".
A su vez, este residente valenciano se lamenta que los profesionales sanitarios lleven "avisando semanas de lo que nos venía encima" y que las medidas para frenar los contagios "sean competencia únicamente del gobierno". "Nosotros solo podemos seguir al pie del cañón con lo que ello conlleva", apunta. Su testimonio no es diferente a los compartidos por otros profesionales sanitarios estos últimos días, quienes consideran incluso que esta tercera ola de Covid-19 está al nivel de lo que vivieron el pasado mes de marzo, justo al inicio del estado de alarma.
 
                                                        
                                                            
                                                        
                                                    
	Medidas Covid-19 y responsabilidad individual 
Ante la negativa de un usuario a la necesidad de volver a un confinamiento domiciliario en el hilo de Twitter, una sanitaria responde: "El problema es que mientras todo el mundo dice que cumple las medidas, la realidad es que no. Si todo el mundo usara mascarilla (adecuadas) y mantuviera las medidas de distanciamiento y higiene adecuadas no estaríamos en una tercera ola".
"Esta sociedad no tiene ni la más mínima responsabilidad individual y nos tienen que ir obligando a través de multas a mantener estas medidas. Y como aún no las cumplimos tenemos muchos números de que lo vuelva sea confinar en casa y será solo nuestra culpa. El gobierno puede estar haciendo una gestión pésima de la situación, pero al final de todo queda nuestra responsabilidad individual", argumenta esta profesional.                                          
                                        
                                            Las informaciones publicadas en Redacción Médica contienen afirmaciones, datos y declaraciones procedentes de instituciones oficiales y profesionales sanitarios. No obstante, ante cualquier duda relacionada con su salud, consulte con su especialista sanitario correspondiente.