Un estudio analiza el uso de la técnica de imagen en la fase arterial en pacientes con traumatismo pélvico

Una tomografía arterial extra no mejora la derivación para una angiografía
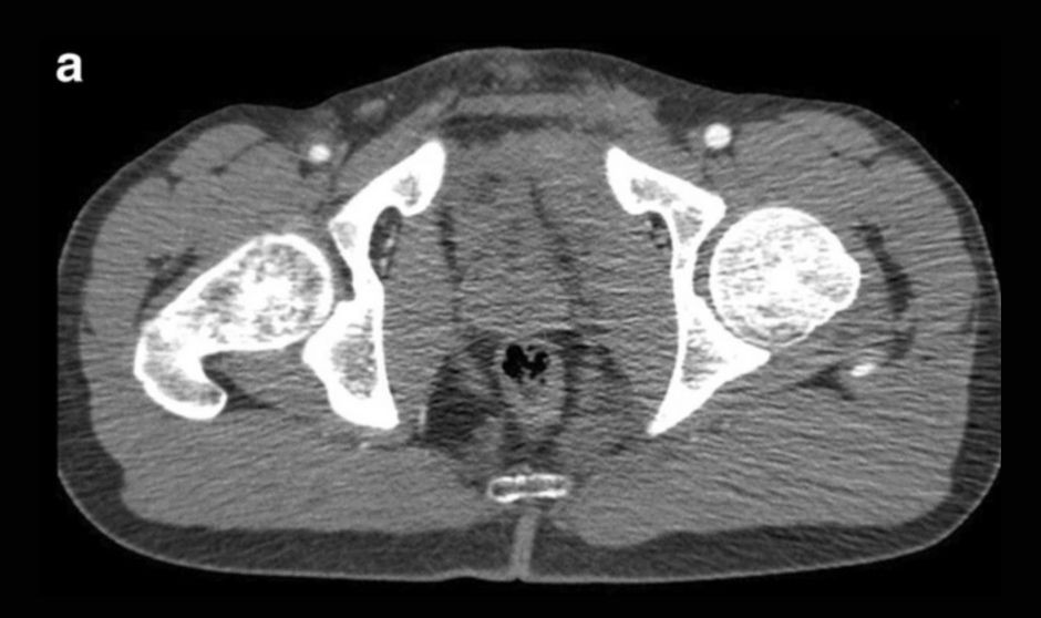
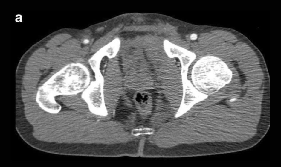
Imagen de pelvis.


SE LEE EN 3 minutos
POR CRISTIAN GALLEGOS
Una investigación realizada en el Hospital Universitario de Oslo, y publicada en la revista Springer Open ha evidenciado que una exploración de tomografía computarizada en la fase arterial parece no mejorar el diagnóstico para identificar a pacientes con traumatismo pélvico que recibieron una intervención angiográfica a petición del cirujano traumatólogo. 

Los expertos diagnosticaron las lesiones arteriales pélvicas en la angiografía por tomografía computarizada y añadieron una fase arterial a exploración de fase venosa portal más extendida. “Las lesiones arteriales se ven como extravasación en las imágenes arteriales o como hematomas en aumento en las imágenes tardías, mientras que las lesiones venosas carecerían de extravasación de contraste en la exploración arterial temprana”, señalan los investigadores

Dos radiólogos, cada uno con más de 10 años de experiencia en imágenes de trauma, inicialmente evaluaron los exámenes de forma independiente antes de que se obtuviera un consenso para los hallazgos discordantes.

El objetivo fue determinar si existe un beneficio diagnóstico de una tomografía computarizada arterial adicional para predecir la decisión de derivación para una intervención angiográfica. “ Comparamos un conjunto de imágenes venosas de portal único con un conjunto combinado de fases venosas arteriales y portales”, explican los especialistas.

La investigación contó con una muestra de 157 pacientes (54 mujeres, 103 hombres) con una mediana de edad de 45 años. De ellos, 17 recibieron intervención angiográfica.


Hallazgos positicos de la tomografía computarizada


Los hallazgos positivos de la tomografía computarizada en la fase venosa de portal solo tuvieron una sensibilidad y especificidad del 62 por ciento y el 86 por ciento, frente al 56 por ciento y el 93 por ciento para los hallazgos simultáneos en la fase arterial y venosa portal.

La especificidad fue significativamente mayor para los hallazgos positivos en ambas fases en comparación con la fase venosa portal solamente. La aplicación de un umbral> 0,9 cm de diámetro de extravasación a la fase venosa portal sólo dio como resultado una sensibilidad y una especificidad idénticas a las de ambas fases.

“Es fundamental identificar a los pacientes con riesgo de hemorragia grave después de un traumatismo pélvico. Además de los signos clínicos y los marcadores de laboratorio que indican un shock hemorrágico, los hallazgos de la tomografía computarizada de hemorragia continua son importantes para la toma de decisiones y la pronta intervención. De hecho, el uso informado de la tomografía computarizada en pacientes con fractura pélvica y signos de shock hemorrágico es del 85 por ciento”, concluyen los autores de la investigación. 
Las informaciones publicadas en Redacción Médica contienen afirmaciones, datos y declaraciones procedentes de instituciones oficiales y profesionales sanitarios. No obstante, ante cualquier duda relacionada con su salud, consulte con su especialista sanitario correspondiente.