Una investigación del Centro para la Adicción y Salud Mental (CAMH) de Canadá, ha mostrado que el cerebro se altera después de años de depresión persistente. Los investigadores han asegurado que tras analizar las imágenes cerebrales obtenidas es necesario tratar la depresión a medida que avanza.
Jeff Meyer, autor del estudio, ha afirmado que: “Las personas con periodos más largos de depresión no tratada y que han durado más de una década han mostrado una inflamación cerebral mayor que aquellos que se encontraban en un estado depresivo, pero de corta duración”.
No es la primera vez que Meyer analiza el comportamiento de la inflamación cerebral en pacientes con depresión. A pesar de ello, hasta él y su equipo no habían sido capaces de determinar con exactitud si sus primeras conclusiones eran ciertas o no.
Meyer ha asegurado que: "Una mayor inflamación en el cerebro es una respuesta común en las enfermedades cerebrales degenerativas a medida que avanzan, como la enfermedad de Alzheimer y la enfermedad de Parkinson".
Innovación para paliar los efectos de la enfermedad
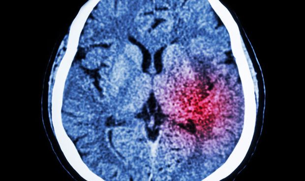
En el estudio se midió la inflamación cerebral utilizando un tipo de imagen cerebral llamada tomografía por emisión de positrones (PET). Las células inmunitarias del cerebro, conocidas como microglía, están involucradas en la respuesta inflamatoria normal del cerebro al trauma o la lesión, pero demasiada inflamación se asocia con otros trastornos degenerativos y depresión. Cuando se activan las microglías, producen más proteína translocadora (TSPO), un marcador de inflamación que se puede observar mediante imágenes PET.
Ahora, el equipo de Meyer tiene la voluntad de desarrollar un fármaco capaz de revertir la inflamación cerebral, para que los niveles sean los mismos entre pacientes con una larga depresión no tratada y los que sí están tratados.
REGÍSTRATE GRATIS
PARA SEGUIR LEYENDO
¿Ya eres premium? Inicia sesión
Aviso importante
El usuario desde el que está intentando acceder a este contenido no está registrado como profesional autorizado para acceder a esta información. Esta noticia informa sobre novedades farmacológicas y, por ley, está reservada a profesionales de la salud habilitados para la prescripción o dispensación de medicamentos.
Volver a la portada de Redacción Médica
Las informaciones publicadas en Redacción Médica contienen afirmaciones, datos y declaraciones procedentes de instituciones oficiales y profesionales sanitarios. No obstante, ante cualquier duda relacionada con su salud, consulte con su especialista sanitario correspondiente.