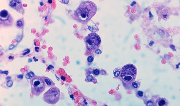
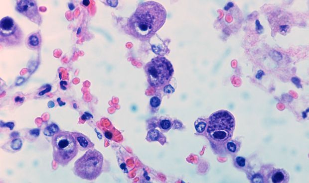
Un fármaco para la ansiedad podría proteger al cerebro frente a un virus congénito que que se encuentra en todo el mundo y se relaciona con la varicela y la mononucleosis infecciosa. La medicación disponible clínicamente de forma segura y eficaz protege contra los defectos cerebrales causados por la versión de ratón del citomegalovirus (CMV), según concluye una nueva investigación cuyos resultados se publican en The Journal of Neuroscience.
Más de la mitad de los adultos estadounidenses están infectados, pero la mayoría de las personas no experimentan ningún síntoma porque un sistema inmune sano mantiene el virus bajo control. Sin embargo, la infección por CMV en los bebés puede causar un tamaño de cerebro inusualmente pequeño (microcefalia, como genera el virus Zika menos común), la sordera, la ceguera, la disfunción mental y otros problemas neurológicos que pueden durar toda la vida.
No hay una vacuna eficaz contra el CMV y no se recomienda tomar los tratamientos actuales durante el embarazo o suministrárselos a los recién nacidos debido a su potencial para causar cáncer u otros defectos de nacimiento. Anthony Van den Pol y sus colegas de la Facultad de Medicina de la Universidad de Yale, en New Haven (Estados Unidos), encontraron que una dosis baja diaria del estabilizador del estado de ánimo valnoctamida redujo la cantidad de CMV en el cuerpo de ratones recién nacidos infectados y suprimió la replicación del virus que ya había llegado al cerebro, sin efectos secundarios negativos.
El tratamiento también normalizó el desarrollo neurológico y conductual en los ratones infectados, incluyendo las interacciones sociales deterioradas que se cree que se relacionan con la infección por CMV y el trastorno del espectro autista. Finalmente, los investigadores mostraron que el fármaco suprime la replicación de CMV en células del cerebro fetal humano.
REGÍSTRATE GRATIS
PARA SEGUIR LEYENDO
¿Ya eres premium? Inicia sesión
Aviso importante
El usuario desde el que está intentando acceder a este contenido no está registrado como profesional autorizado para acceder a esta información. Esta noticia informa sobre novedades farmacológicas y, por ley, está reservada a profesionales de la salud habilitados para la prescripción o dispensación de medicamentos.
Volver a la portada de Redacción Médica
Las informaciones publicadas en Redacción Médica contienen afirmaciones, datos y declaraciones procedentes de instituciones oficiales y profesionales sanitarios. No obstante, ante cualquier duda relacionada con su salud, consulte con su especialista sanitario correspondiente.