Su exposición por sí sola ya es suficiente para inducir síntomas similares al Covid-19

La proteína pico del SARS-CoV-2 tiene potencial para causar daño pulmonar
Pavel Solopov, Universidad Old Dominion.


SE LEE EN 3 minutos
Investigadores han encontrado, a partir de un modelo de ratón de lesión pulmonar aguda, que la exposición a la proteína pico del SARS-CoV-2 por sí sola era suficiente para inducir síntomas similares al Covid-19, incluida la inflamación severa de los pulmones.

El SARS-CoV-2, el virus que causa el Covid-19, está cubierto de pequeñas proteínas en forma de picos. Estas proteínas se unen a los receptores de las células, iniciando un proceso que permite que el virus libere su material genético en una célula sana.

DIRECTO | Accede aquí a la última hora del coronavirus Covid-19

"Nuestros hallazgos muestran que la proteína pico SARS-CoV2 causa daño pulmonar incluso sin la presencia del virus intacto", ha indicado Pavel Solopov, profesor asistente de investigación en el Centro de Investigación Frank Reidy de Bioeléctrica en la Universidad Old Dominion. "Este mecanismo previamente desconocido podría causar síntomas antes de que ocurra una replicación viral sustancial". Solopov ha presentado la nueva investigación en la reunión anual de la Sociedad Estadounidense de Farmacología y Terapéutica Experimental durante la reunión virtual de Biología Experimental (EB) 2021. 

Estudiar el SARS-CoV-2 puede ser un desafío porque los experimentos que involucran el virus intacto requieren un laboratorio de nivel 3 de bioseguridad. Para superar este obstáculo, los investigadores crearon un nuevo modelo de lesión pulmonar aguda que utiliza ratones transgénicos que expresan el receptor humano del SARS-CoV-2 en sus pulmones.

"Nuestro modelo de ratón reduce drásticamente el peligro de realizar este tipo de investigación al permitir que se estudie la lesión pulmonar por Covid-19 sin utilizar el virus vivo intacto", ha explicado Solopov. "Esto aumentará y diversificará en gran medida la capacidad de realizar investigaciones sobre Covid. Es probable que nuestro modelo también sea útil para estudiar otros coronavirus".

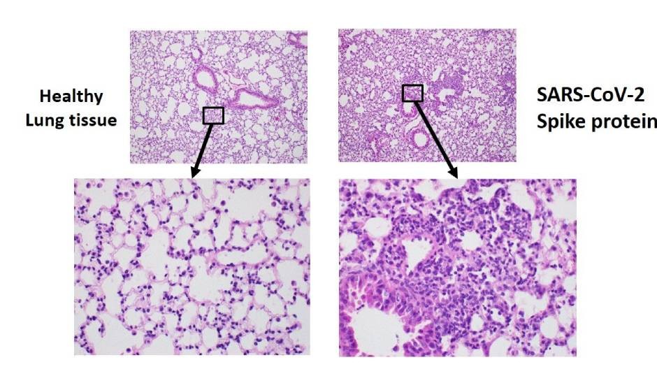
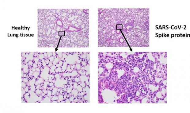
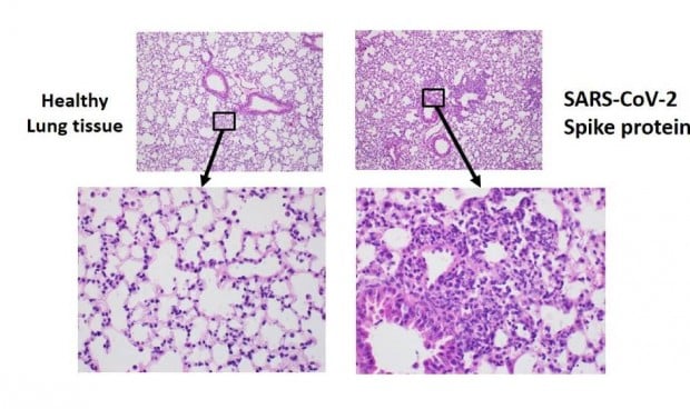
Estas fueron las diferencias entre los dos grupos de ratones


Los investigadores inyectaron a los ratones modificados genéticamente un segmento de la proteína de pico y analizaron su respuesta 72 horas después. Otro grupo de ratones recibió solo solución salina para que sirviera de control.

De esta forma encontraron que los ratones modificados genéticamente a los que se les inyectó la proteína de pico exhibían síntomas similares al Covid-19 que incluían inflamación severa, un flujo de glóbulos blancos en sus pulmones y evidencia de tormenta de citocinas. Los ratones que solo recibieron solución salina se mantuvieron normales.

"Estos hallazgos muestran que el ratón genéticamente modificado junto con solo un segmento de la proteína del pico se puede utilizar para estudiar la lesión pulmonar del SARS-CoV-2", ha añadido Solopov. "Podemos utilizar esta herramienta para desarrollar una mejor comprensión de cómo la proteína de pico causa síntomas pulmonares, incluso sin el virus intacto, con el fin de desarrollar nuevos objetivos y terapias para Covid-19".

Los investigadores planean continuar esta línea de investigación utilizando el nuevo modelo de ratón para estudiar la efectividad de varios fármacos para reducir la gravedad de la lesión pulmonar aguda y Covid-19.
Las informaciones publicadas en Redacción Médica contienen afirmaciones, datos y declaraciones procedentes de instituciones oficiales y profesionales sanitarios. No obstante, ante cualquier duda relacionada con su salud, consulte con su especialista sanitario correspondiente.