La quimioterapia ha dejado de ser una opción terapéutica, dando paso a nuevos tratamientos dirigidos

La leucemia linfocítica no precisa siempre de tratamiento, sino seguimiento
La leucemia no está siempre clínicamente activa.


SE LEE EN 4 minutos
La Sociedad Española de Hematología y Hemoterapia (SEHH) ha celebrado una nueva edición del Observatorio de Hematología (ODH), un foro de debate sociosanitario en el que se analizan diversos asuntos de interés y/o actualidad relacionados con la especialidad de Hematología y Hemoterapia, y con impacto en los pacientes hematológicos y sus familias. Uno de los objetivos de esta iniciativa es la divulgación científica desde diferentes puntos de vista. Bajo el título “Vivir con leucemia linfocítica crónica (LLC)”, en este nuevo ODH,, han participado Adela Salvador, paciente de LLC, y Fátima de la Cruz, su hematóloga en el Hospital Universitario Virgen del Rocío, de Sevilla.

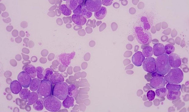
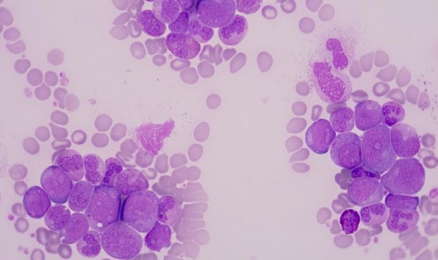
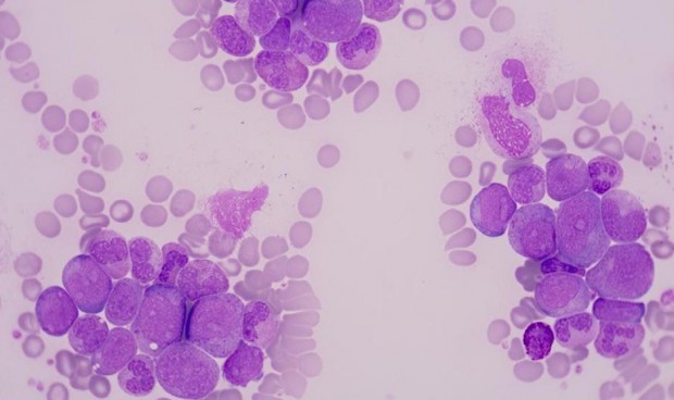
La LLC es uno de los cánceres de la sangre más prevalentes en la población adulta, con una incidencia en España de 4/5 casos por 100.000 habitantes y año. “La edad media de presentación de este tipo de leucemia es de, más o menos, 70 años, y suele ser un diagnóstico casual, con motivo de un control rutinario de salud, a través de una analítica de sangre en la que el número de linfocitos aparece elevado”, explica Fátima de la Cruz. Así es como se le diagnosticó a Adela Salvador hace diez años, pero en su caso, “en una de las revisiones por la leucemia mieloide crónica que padecía en ese momento, totalmente asintomática, y por la cual entré en un ensayo clínico para descontinuar el tratamiento”. En palabras de su hematóloga, “es muy poco frecuente tener dos leucemias, una mieloide y otra linfoide, porque afectan a células diferentes de la sangre y, en principio, no están relacionadas, aunque deben realizarse estudios genéticos”.

Tanto Adela Salvador como Fátima de la Cruz reconocen que el momento del diagnóstico puede tener un gran impacto en el paciente y en sus familiares, “al asociar la palabra leucemia con una muerte próxima o con la necesidad de recibir un tratamiento intensivo, como puede ser la quimioterapia”. Sin embargo, “estamos hablando de un tipo de cáncer de la sangre indolente y poco agresivo que, en muchos de los casos, no requiere tratamiento, sólo seguimiento cada tres o seis meses, dependiendo de cada paciente, incluso anuales en algunos casos”, señala la hematóloga.

Precisamente, es este punto el que suele generar inquietud en los pacientes. “Es habitual que se preocupen cuando les comunicamos que no es necesario tratar la enfermedad, si no controlarla. Por eso es muy importante dedicarles tiempo para explicarles bien en qué consiste la LLC y por qué se toma la decisión de no tratarles, ya que, en ese momento, la enfermedad no está clínicamente activa y, por lo tanto, no está comprometiendo sus vidas”. Es el caso de Adela, que lleva desde el diagnóstico de su leucemia “totalmente asintomática, sin tratamiento y con una vida normal”.

La necesidad de fuentes de información seguras


Para aquellos pacientes que sí se tienen que tratar, “la quimioterapia ha dejado de ser una opción, dando paso a tratamientos dirigidos específicamente a las alteraciones previamente detectadas a través de estudios biológicos, con menos efectos secundarios y excelentes resultados”, asegura la doctora de la Cruz.

Este Observatorio de Hematología también ha puesto el foco en la necesidad de contar con fuentes de información seguras, que ofrezcan datos fiables y contrastados sobre las enfermedades de la sangre, en este caso concreto, sobre el cáncer hematológico. Además de poner en valor la labor de las diferentes sociedades científicas, las participantes han destacado el papel de las asociaciones de pacientes, tanto a nivel informativo, como a nivel psicológico, logístico, de asesoramiento, etc.
Las informaciones publicadas en Redacción Médica contienen afirmaciones, datos y declaraciones procedentes de instituciones oficiales y profesionales sanitarios. No obstante, ante cualquier duda relacionada con su salud, consulte con su especialista sanitario correspondiente.