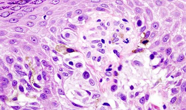
Que el gas radón es un factor de riesgo para desarrollar cáncer de pulmón es algo científicamente indiscutible. Pero, una reciente investigación del Swiss Tropical and Public Health Institute (Swiss TPH) muestra que la presencia de este compuesto químico, que aparece de forma natural en los hogares, incrementa las posibilidades de desarrollar cáncer de piel, concretamente, melanoma.
El estudio titulado 'Effects of Radon and UV Exposure on Skin Cancer Mortality in Switzerland' (Efectos de radón y la exposición UV en la mortalidad por cáncer de piel en Suiza) se publica en la revista científica Environmental Health Perspectives. En él, se examina el impacto de la exposición al radón y la radiación ultravioleta sobre la mortalidad por melanoma en Suiza. El estudio analizó 1.900 muertes debido a esta enfermedad que se produjeron entre 2000 y 2008.
"Nuestro estudio muestra que, cuando el radón se desintegra, las partículas alfa radiactivas no sólo destruyen el tejido pulmonar, sino que también puede afectar a la piel. Esto rara vez se ha investigado en el pasado", dice Martin Röösli, profesor de epidemiología ambiental en el Swiss TPH, que llevó a cabo este trabajo junto a Danielle Vienneau, colaborador científico principal del instituto.
Para la población de 30 años, el riesgo relativo de cáncer de piel aumenta alrededor del 50%, mientras que a los 60 años es considerablemente más baja (16%). "Cuanto más joven es la persona, mayor es el impacto de radón y también el riesgo de desarrollar la enfermedad", explica.
El radón y el cáncer de piel en Suiza
Suiza se posiciona tercera en el ránking mundial de incidencia por este tipo de patologías cancerígenas, por encima de la media centroeuropea. La tasa de melanoma se ha más que duplicado en los últimos 20 años. En este sentido, y relacionándolo con el radón, los científicos advierten que la exposición a este gas residencial puede reducirse significativamente.
REGÍSTRATE GRATIS
PARA SEGUIR LEYENDO
¿Ya eres premium? Inicia sesión
Aviso importante
El usuario desde el que está intentando acceder a este contenido no está registrado como profesional autorizado para acceder a esta información. Esta noticia informa sobre novedades farmacológicas y, por ley, está reservada a profesionales de la salud habilitados para la prescripción o dispensación de medicamentos.
Volver a la portada de Redacción Médica
Las informaciones publicadas en Redacción Médica contienen afirmaciones, datos y declaraciones procedentes de instituciones oficiales y profesionales sanitarios. No obstante, ante cualquier duda relacionada con su salud, consulte con su especialista sanitario correspondiente.