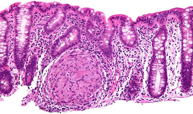
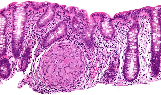
Un equipo de científicos del Instituto Walter y Eliza Hall en Melbourne (Australia) ha identificado reguladores clave que son esenciales para controlar la respuesta inflamatoria en enfermedades como la de Crohn y la esclerosis múltiple. Ambas afecciones están relacionadas con fallos en una vía inmunitaria crítica que permite que la inflamación continúe sin control.
En esta línea, los investigadores han señalado que la vía inmune NOD2 detecta y responde a los invasores bacterianos al liberar señales inflamatorias para combatir la infección. El equipo de investigación demostró que una proteína llamada xIAP era el "controlador principal" que iniciaba la inflamación a través de la vía NOD2. "Revelamos que xIAP era la clave para iniciar la respuesta inflamatoria en estas células. También demostramos que, una vez que se inicia el activador de la ruta NOD2, las células necesitan un segundo paso de amplificación para completar una respuesta inmune de potencia completa", han manifestado.
Ya en 2015 este equipo demostró que bloquear una proteína diferente en la vía NOD2 podría detener la inflamación y para la progresión de la esclerosis múltiple en un modelo preclínico.
"xIAP tiene otros roles en la célula, como la regulación de la muerte celular, por lo que es un objetivo difícil para tratar enfermedades inflamatorias. Sin embargo, estos nuevos descubrimientos nos brindan información vital para desarrollar nuevas estrategias de tratamiento que podrían conducir a una manera segura y efectiva de parar la inflamación para tratar la enfermedad", han concluido.
REGÍSTRATE GRATIS
PARA SEGUIR LEYENDO
¿Ya eres premium? Inicia sesión
Aviso importante
El usuario desde el que está intentando acceder a este contenido no está registrado como profesional autorizado para acceder a esta información. Esta noticia informa sobre novedades farmacológicas y, por ley, está reservada a profesionales de la salud habilitados para la prescripción o dispensación de medicamentos.
Volver a la portada de Redacción Médica
Las informaciones publicadas en Redacción Médica contienen afirmaciones, datos y declaraciones procedentes de instituciones oficiales y profesionales sanitarios. No obstante, ante cualquier duda relacionada con su salud, consulte con su especialista sanitario correspondiente.