Un estudio confirma que los pacientes con SARS-CoV-2 tienen accidentes cerebrovasculares más severos

Covid: contar con una red de atención al ictus mejora las secuelas
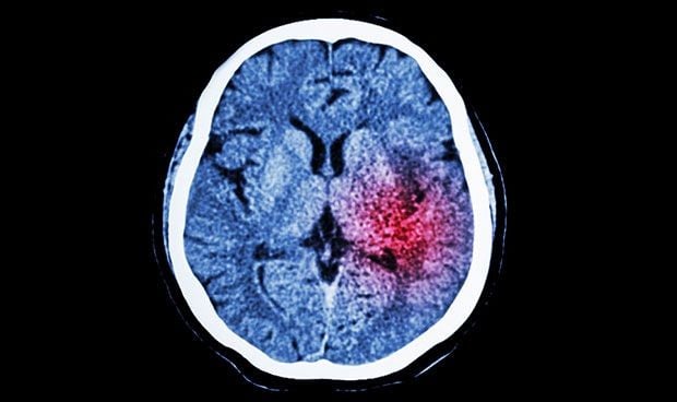
Imagen obtenido por TAC de un ictus isquémico.


SE LEE EN 2 minutos
Un estudio que se ha publicado este jueves en Stroke refleja que los pacientes con Covid-19 tienen accidentes cerebrovasculares más graves como consecuencia del virus. La investigación, que ha analizado el impacto de la primera ola de coronavirus en la asistencia en el Plan Ictus de la Comunidad de Madrid, muestra que contar con una red de atención de estas patologías bien establecida ayuda a reducir el impacto del coronavirus.

La investigación apunta que una red de atención de accidentes cerebrovasculares bien establecida "ayuda a disminuir el impacto de tal brote en la atención de accidentes cerebrovasculares, reduciendo las transferencias secundarias y permitiendo el mantenimiento de las terapias de reperfusión, con un impacto menor en los tiempos de puerta a punción, que eran más largos en los pacientes que se sometían a una tomografía computarizada de tórax".

Para la investigación se han analizado un total de 550 pacientes con apoplejía aguda. Se encontró una reducción significativa en el número de admisiones y transferencias secundarias interhospitalarias. Se confirmó la presencia de Covid-19 en 105 (19,1%) pacientes, y otros 19 pacientes fueron tratados como sospechosos de Covid-19 (3,5%). No se encontraron diferencias en las tasas de terapias de reperfusión en los accidentes cerebrovasculares isquémicos (45,5% sin Covid-19, 35,7% con Covid-19 confirmado y 40% con Covid-19 sospechoso; P=0,265).

Sin embargo, el grupo de Covid-19 tuvo un tiempo medio de puerta a punción más largo (110 versus 80 minutos), lo que se asoció con la realización de una tomografía computarizada de tórax. El análisis multivariado confirmó resultados más deficientes para la confirmación o sospecha de Covid-19 (odds-ratios ajustados, 2,05 [IC del 95%: 1,12-3,76] y 3,56 [IC del 95%: 1,15-11,05], respectivamente).

--- Puede consultar aquí la investigación ---

El coronavirus ha añadido dificultades a la prestación de una atención de calidad para los pacientes con accidentes cerebrovasculares agudos debido a que se han destinado muchos de sus recursos a la atención del coronavirus. Las series de casos sugieren que los pacientes con Covid-19 tienen accidentes cerebrovasculares más graves; sin embargo, ninguna serie grande ha comparado los resultados de los accidentes cerebrovasculares con los pacientes sin Covid-19.

Las informaciones publicadas en Redacción Médica contienen afirmaciones, datos y declaraciones procedentes de instituciones oficiales y profesionales sanitarios. No obstante, ante cualquier duda relacionada con su salud, consulte con su especialista sanitario correspondiente.