Uno de los beneficios que aporta esta técnica es la falta de radiación ionizante, sobre todo en la población pediátrica

La resonancia, la técnica que mejor halla abscesos de cuello en niños


SE LEE EN 4 minutos
POR ISABEL MARTÍN
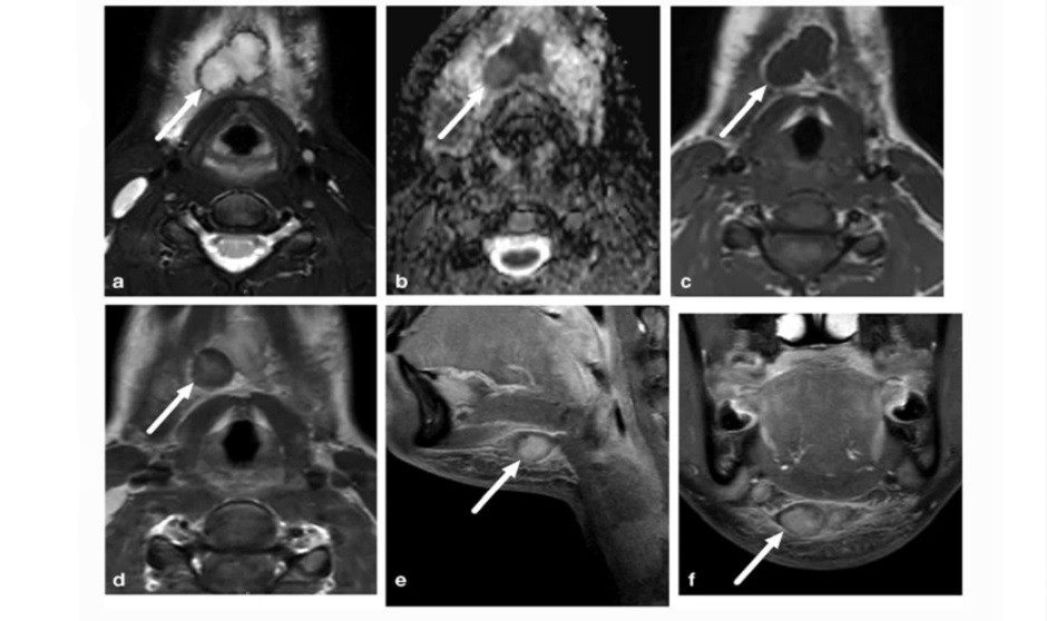
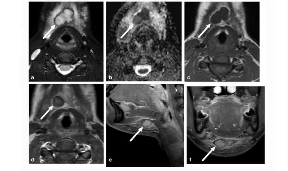
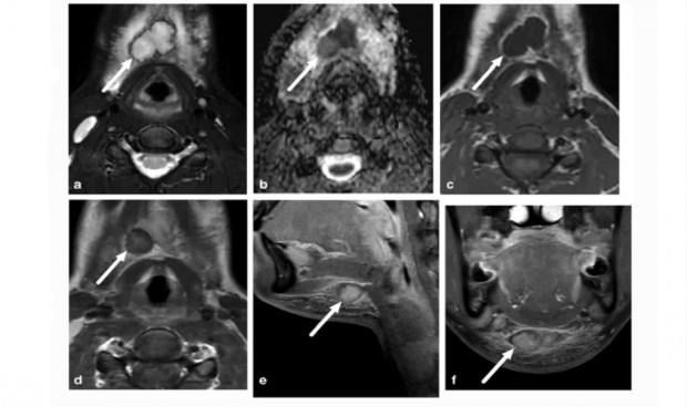
"La resonancia magnética (RM) es un método de imagen factible y preciso para diagnosticar las infecciones pediátricas del cuello". Así lo explican un grupo de investigadores que, según los datos del estudio, "la precisión diagnóstica de esta técnica es superior a la proporcionada por la tomografía computarizada (TC)", explica Janne Nurminen, el autor principal del estudio. 

En cuanto a los beneficios adicionales de la RM, sobre todo en niños, "se incluyen la falta de radiación ionizante", según Nurminen quien asegura que "en los grupos de edad más jóvenes se enfatizan las infecciones del espacio retrofaríngeo y la linfadenitis supurativa, lo que refleja las diferencias anatómicas entre niños y adultos". Unas diferencias que "requieren especial atención y habilidades de interpretación radiológica", señala Nurminen en el estudio publicado en la plataforma Springer.

Durante el periodo de estudio, "se sometieron a la RM de emergencia por sospecha de infección profunda del cuello un total de 45 pacientes pediátricos", apunta el autor principal del estudio. Asimismo, recalca que "durante un periodo de cinco años, solo un paciente pediátrico se sometió a una TC, siendo este un niño de 16 años con claustrofobia que prefería esta técnica a la RM". Para Nurminen, "ninguno de los pacientes pediátricos tuvo que ser descartado del estudio por criterios de exclusión y se comparó un total de 45 pacientes menores con 326 adultos".

En este sentido, Nurminen detalla que "la distribución anatómica de la ubicación de la infección fue significativamente diferente entre los niños en comparación con los adultos". Igualmente, añade que "las pruebas realizadas indicaron que las infecciones del espacio retrofaríngeo eran más comunes entre los niños (en un 24 por ciento) que entre los adultos (en un 3 por ciento), al igual que los ganglios linfáticos infectados (24 por ciento frente al 7,3 por ciento)".

Resultados: estas son las infecciones más frecuentes


Sin embargo, "las infecciones periamigdalinas/parafaríngeas fueron más frecuentes en adultos (44 por ciento) que en niños (22 por ciento)", añade Nurminen. Además, el experto señala que "las infecciones de origen dental también fueron más frecuentes en adultos (31 por ciento) que en niños (11 por ciento)". Hubo diferencias adicionales y más sutiles en la distribución de la ubicación de la infección en el grupo de estudio pediátrico (de 0 a 17 años), especialmente en lo que respecta a las infecciones del espacio retrofaríngeo y la linfadenitis.

"De los 20 pacientes de 7 años o menos, solo uno tenía una localización principal diferente al espacio retrofaríngeo o linfadenitis", detalla Nurminen. Además, no se observaron infecciones del espacio retrofaríngeo entre los pacientes de 8 a 17 años, y solo dos tenían linfadenitis en este grupo de edad. Este patrón de resultados sugiere que las infecciones retrofaríngeas y la linfadenitis tienden a ocurrir en niños más pequeños.

Para llevar a cabo la investigación, Nurminen explica que "se estudió retrospectivamente una cohorte de pacientes pediátricos que se sometieron a un estudio de RM del cuello durante un período de cinco años y los criterios de inclusión fueron: hallazgos de RM de emergencia que indicaran una infección, infección como diagnóstico clínico final, calidad de imagen diagnóstica verificada por el radiólogo que leyó el estudio y la edad menor de 18 años. Los datos del registro de pacientes, incluidos los informes de cirugía, se compararon con los hallazgos de la RM", concluye.
Las informaciones publicadas en Redacción Médica contienen afirmaciones, datos y declaraciones procedentes de instituciones oficiales y profesionales sanitarios. No obstante, ante cualquier duda relacionada con su salud, consulte con su especialista sanitario correspondiente.