Las mujeres con calcificación arterial mamaria tienen un 51% más de probabilidades de desarrollar enfermedad cardíaca
Los investigadores revisaron los historiales médicos de un subconjunto de más de 5.000 mujeres seleccionadas de entre más de 200.000 mujeres que se sometieron a mamografías de cribado.
Las mamografías de rutina pueden proporcionar información clave sobre las enfermedades cardiovasculares. La detección de calcificaciones arteriales en las mamografías de mama se asoció con un mayor riesgo de enfermedad cardiovascular en mujeres posmenopáusicas, según una nueva investigación publicada en 'Circulation: Cardiovascular Imaging', revista revisada por expertos de la American Heart Association. Según los autores del estudio, este hallazgo podría ser útil para determinar el riesgo de las mujeres de sufrir enfermedades cardíacas e ictus.
La calcificación arterial mamaria, la acumulación de calcio en la capa media de la pared arterial de la mama, está relacionada con el envejecimiento, la diabetes de tipo 2, la hipertensión y la inflamación, y es un marcador de la rigidez de las arterias. No es lo mismo que la calcificación de la capa interna de las arterias (la capa que está en contacto con la sangre), que suele darse en personas que fuman o con niveles altos de colesterol.
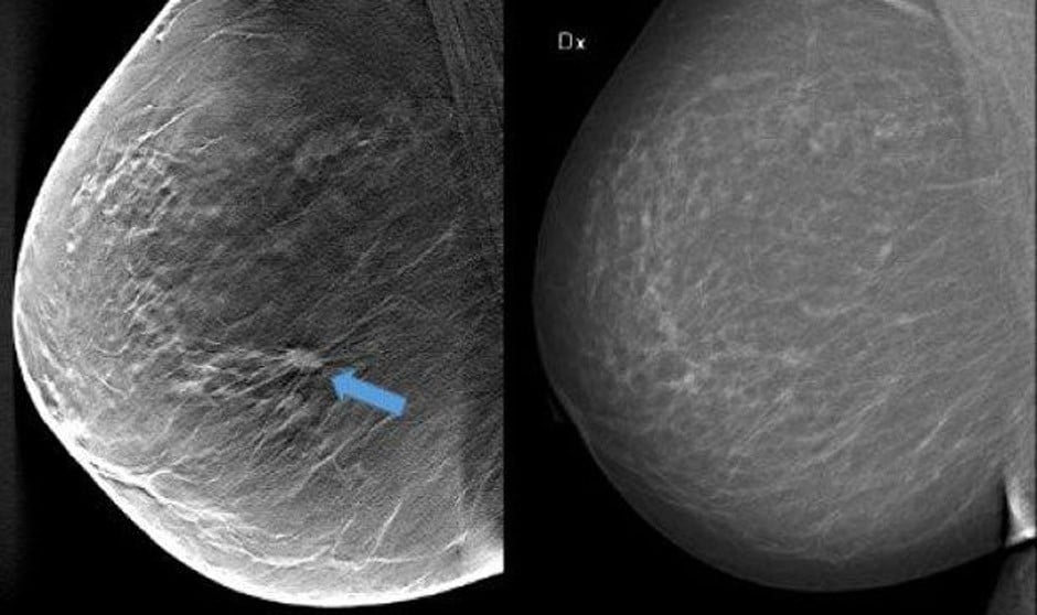
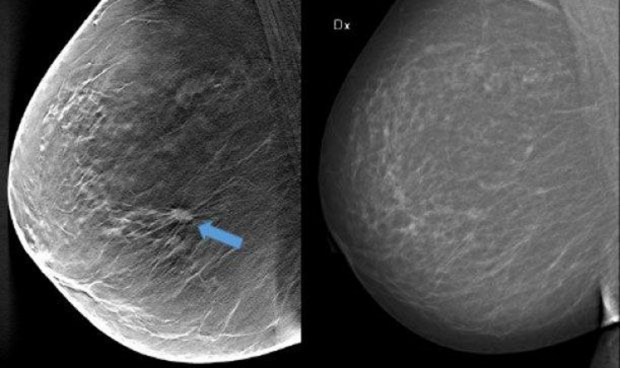
La calcificación de las arterias mamarias es un hallazgo común que aparece como áreas blancas en las arterias de la mama en una mamografía, sin embargo, no se cree que esté relacionado con el cáncer.
"En un estudio anterior de este mismo grupo de investigación, informamos de que entre las mujeres de 60 a 79 años, el 26 por ciento de las mujeres tenían calcificación arterial mamaria, y el porcentaje aumentaba con la edad hasta llegar a más de la mitad de las mujeres que tenían evidencia del hallazgo entre los 75 y los 79 años", señala el autor principal del estudio, Carlos Iribarren, científico investigador de la División de Investigación de Kaiser Permanente Northern California (Estados Unidos).
"Las investigaciones han confirmado que las calculadoras que utilizamos actualmente para evaluar el riesgo de 10 años de un individuo de desarrollar una enfermedad cardiovascular no son tan precisas en las mujeres como en los hombres --prosigue--. En nuestro estudio actual, evaluamos si la calcificación arterial de las mamas, que puede verse fácilmente en una mamografía, proporciona más información sobre el riesgo de que una mujer desarrolle una enfermedad cardíaca".
200.000 mujeres que se sometieron a mamografías
En este estudio, los investigadores revisaron los historiales médicos de un subconjunto de más de 5.000 mujeres seleccionadas de entre más de 200.000 mujeres que se sometieron a mamografías de cribado como parte de MINERVA (MultIethNic study of brEast aRterial calcium gradation and cardioVAscular disease), una cohorte amplia, racial y étnicamente diversa de mujeres posmenopáusicas.
Las participantes del estudio estaban inscritas activamente en el mismo plan de seguro médico, tenían entre 60 y 79 años de edad y recibieron al menos un cribado regular con mamografía digital en uno de los nueve centros de Kaiser Permanente del Norte de California entre el 24 de octubre de 2012 y el 13 de febrero de 2015. Las mujeres no tenían antecedentes de enfermedad cardiovascular ni de cáncer de mama.
Los investigadores evaluaron la salud general de las mujeres y las siguieron a través de sus registros de salud electrónicos durante unos 6,5 años después de la mamografía para encontrar qué mujeres tuvieron un ataque cardíaco o un accidente cerebrovascular o desarrollaron otros tipos de enfermedades cardiovasculares, como la insuficiencia cardíaca.
El análisis reveló que las mujeres que presentaban calcificación arterial mamaria en su mamografía tenían un 51 por ciento más de probabilidades de desarrollar una enfermedad cardíaca o sufrir un accidente cerebrovascular en comparación con las mujeres que no tenían calcificación arterial mamaria.
Además, las mujeres con calcificación arterial mamaria tenían un 23 por ciento más de probabilidades de desarrollar cualquier tipo de enfermedad cardiovascular, incluidas las enfermedades cardíacas, los accidentes cerebrovasculares, la insuficiencia cardíaca y las enfermedades de las arterias periféricas.
La calcificación arterial mamaria era más frecuente entre las mujeres que se autoidentificaban como blancas o hispanas/latinas, y menos entre las que se autoidentificaban como negras o asiáticas. Iribarren y sus colegas señalan que se necesita más investigación para entender estos hallazgos.
Calcificación arterial mamaria
"Actualmente, no es la norma de atención que se informe sobre la calcificación arterial mamaria visible en las mamografías. Algunos radiólogos incluyen esta información en sus informes de mamografía, pero no es obligatorio --señala Iribarren--. Esperamos que nuestro estudio fomente una actualización de las directrices para informar sobre la calcificación arterial mamaria de las mamografías de rutina".
Añade que el estudio "ha movido la aguja hacia la recomendación de la evaluación rutinaria y la notificación de la calcificación arterial mamaria en las mujeres posmenopáusicas. Integrar esta información en las calculadoras de riesgo cardiovascular y utilizar esta nueva información puede ayudar a mejorar las estrategias de reducción del riesgo cardiovascular".
"Este tipo de calcificación puede sugerir una mala salud del corazón, y los médicos pueden aprovechar esta oportunidad para discutir formas de optimizar la salud del corazón, como la participación en la actividad física de rutina, una dieta de alta calidad y mantener un peso saludable", explica la doctora Sadiya S. Khan, coautora de un editorial que acompaña a este estudio y profesora asistente de medicina en la división de cardiología en la Escuela de Medicina Feinberg de la Universidad Northwestern en Chicago.
"Sin embargo, es realmente importante señalar que la ausencia de calcificación arterial mamaria no se traduce en un bajo riesgo y no debe ser falsamente tranquilizador cuando no hay calcificación arterial mamaria --prosigue--. El control óptimo de los factores de riesgo es igualmente importante para todas las mujeres con y sin calcificación arterial mamaria".
REGÍSTRATE GRATIS
PARA SEGUIR LEYENDO
¿Ya eres premium? Inicia sesión
Aviso importante
El usuario desde el que está intentando acceder a este contenido no está registrado como profesional autorizado para acceder a esta información. Esta noticia informa sobre novedades farmacológicas y, por ley, está reservada a profesionales de la salud habilitados para la prescripción o dispensación de medicamentos.
Volver a la portada de Redacción Médica
Las informaciones publicadas en Redacción Médica contienen afirmaciones, datos y declaraciones procedentes de instituciones oficiales y profesionales sanitarios. No obstante, ante cualquier duda relacionada con su salud, consulte con su especialista sanitario correspondiente.