Así lo sugiere un estudio en el que han participado 53 radiólogos de 16 países

El bloqueo del nervio pudendo guiado por imágenes es "seguro y eficaz"
Diferentes estudios, incluidos dos ensayos controlados aleatorios, demostraron la ausencia de complicaciones para este procedimiento.


SE LEE EN 5 minutos
Expertos de la Sociedad Europea de Radiología Musculoesquelética (ERRS) han revisado la literatura publicada en busca de evidencia sobre procedimientos de intervención guiados por imágenes que se ofrecen alrededor de los nervios periféricos en la extremidad inferior (excluyendo el neuroma de Morton) para derivar su análisis clínico. Tras su investigación, publicada en la Revista de la Sociedad Europea de Radiología y recogida por Springer Link, llegaron a la conclusión de que "el bloqueo del nervio pudendo guiado por imágenes es seguro, eficaz y bien tolerado con pocas complicaciones". 

El panel de expertos estuvo formado por 53 radiólogos de 16 países (Austria, Bélgica, Dinamarca, Alemania, Grecia, India, Italia, Lituania, Nueva Zelanda, Macedonia del Norte, Polonia, Portugal, Eslovenia, España, Países Bajos, Reino Unido), con experiencia demostrada en procedimientos de intervención musculoesquelética y en la evaluación científica de la literatura médica. 

Para su investigación, evaluaron la literatura existente, como se hizo anteriormente en otros documentos de consenso de la ESSR, y utilizaron un método de revisión Delphi, que consistía en rondas de evaluaciones de la literatura por parte de un panel de expertos para establecer una lista de indicaciones acordadas sobre un tema específico. La búsqueda bibliográfica se realizó en las principales bases de datos en línea (MEDLINE, Web of Science, EMBASE y Google). Además, los expertos también podrían agregar artículos encontrados mediante la selección de las referencias de los artículos recuperados si se consideran relevantes para su búsqueda.

Actualmente, señala el documento, "en la práctica clínica se realizan de forma rutinaria varios procedimientos de intervención guiados por imágenes que van desde inyecciones de corticosteroides perineurales para neuropatías por atrapamiento hasta hidrodisección, aspiración de ganglios, ablación con fenol, inyección de toxina botulínica A o bloques de alcohol y otros procedimientos mínimamente invasivos". Especialmente, concreta, los tratamientos guiados por EEUU de las neuropatías por atrapamiento periférico "están emergiendo rápidamente como una opción alternativa a la cirugía, lo que brinda la posibilidad de un alivio de los síntomas comparable a una liberación quirúrgica".

Sin embargo, advierten los autores," existe escasa evidencia sobre el valor clínico de estos procedimientos y no se han elaborado pautas claras para estandarizar cómo, cuándo y por qué las intervenciones guiadas por imágenes podrían usarse para tratar las neuropatías periféricas del miembro inferior". Es por ello que iniciaron su investigación.


Principales conclusiones


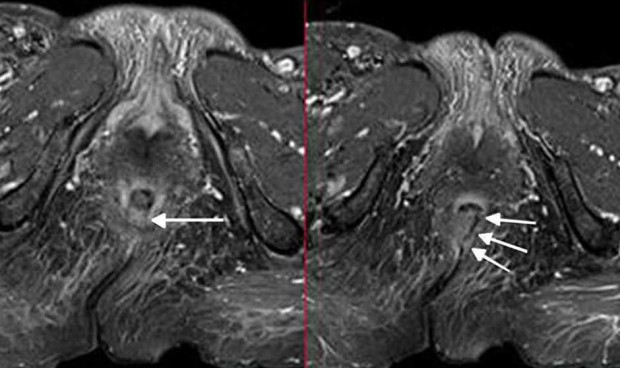
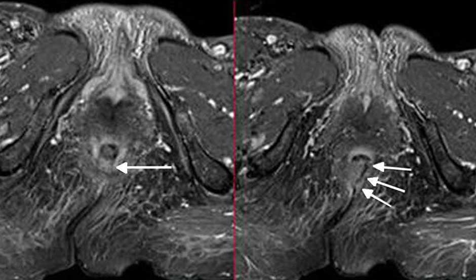
Una de sus conclusiones es que "el bloqueo del nervio pudendo guiado por imágenes es seguro, eficaz y bien tolerado con pocas complicaciones". En este sentido, los autores advierten que un bloqueo exitoso del nervio pudendo es crucial para el diagnóstico de la neuralgia del pudendo y proporciona orientación para el tratamiento. "Diferentes estudios, incluidos dos ensayos controlados aleatorios, demostraron la ausencia de complicaciones para este procedimiento. Además, no se demostró ninguna diferencia significativa en términos de eficacia entre la ecografía y la guía fluoroscópica", sentencian. 

Los investigadores también señalan que "los procedimientos de intervención guiados por ecografía alrededor del nervio genitofemoral son factibles y efectivos", aunque "la evidencia solo está respaldada por una pequeña serie". En esta misma línea, concluyen que la inyección perisiática de anestésico guiada por ecografía "proporciona un buen alivio de los síntomas en pacientes con síndrome piriforme"; sin embargo, "la adición de corticosteroides a los anestésicos locales todavía tiene un papel poco claro". 

Asimismo, consideran que "la inyección guiada por ecografía de toxina botulínica A en el músculo piriforme podría ofrecer un tratamiento a largo plazo del síndrome piriforme", pero en este caso la evidencia también es limitada; por tanto, 2su aplicación en la práctica diaria sigue siendo cuestionable".

Por otra parte, estiman que "el bloqueo del nervio cutáneo femoral lateral guiado por ecografía se puede utilizar para proporcionar una analgesia regional posoperatoria eficaz". "El volumen de anestésico local afecta el tamaño del área sensorial bloqueada", añaden los investigadores, quienes también consideran que "las inyecciones perineurales de corticosteroides guiadas por ecografía del nervio cutáneo femoral lateral son una opción de tratamiento eficaz en el tratamiento de la meralgia parestésica".

Otro de los puntos destacados de la investigación es que "la ablación del nervio cutáneo femoral lateral puede ser eficaz en pacientes con meralgia parestésica intratable y en pacientes después de un injerto de piel desde la parte lateral del muslo", sin embargo, los autores creen que se necesitan más datos. Por contra, sí consideran que "la inyección perineural guiada por ecografía de la primera rama del nervio plantar lateral (nervio de Baxter) es un procedimiento factible".

Como último consenso señalan que "el bloqueo del nervio infrapatelar guiado por ecografía es un procedimiento factible, rápido y seguro que se utiliza para la analgesia posartroscópica". "La hidrodisección del nervio infrapatelar guiada por ecografía seguida de una inyección de corticosteroides podría ser útil en pacientes con dolor persistente de la rodilla medial después de una artroplastia total de rodilla", concluyen. 



Las informaciones publicadas en Redacción Médica contienen afirmaciones, datos y declaraciones procedentes de instituciones oficiales y profesionales sanitarios. No obstante, ante cualquier duda relacionada con su salud, consulte con su especialista sanitario correspondiente.