Por primera vez, los investigadores han hallado un posible fármaco candidato que mejora los resultados de los pacientes con un tipo de tumor cerebral infantil para el que no existen tratamientos eficaces. El compuesto casi duplicó la supervivencia de los pacientes con glioma difuso de la línea media (GDM) o glioma pontino intrínseco difuso (GIPD), en comparación con los pacientes anteriores.
Los resultados han sido comunicados en 'Cancer Discovery', revista de la Asociación Americana para la Investigación del Cáncer, por un equipo internacional de investigadores dirigido por el Centro Oncológico Rogel de la Universidad de Michigan y el Centro Pediátrico de Tumores Cerebrales Chad Carr. Además de informar sobre los resultados de dos ensayos clínicos en fase inicial, el trabajo revela los mecanismos subyacentes al éxito del compuesto en estos tumores.
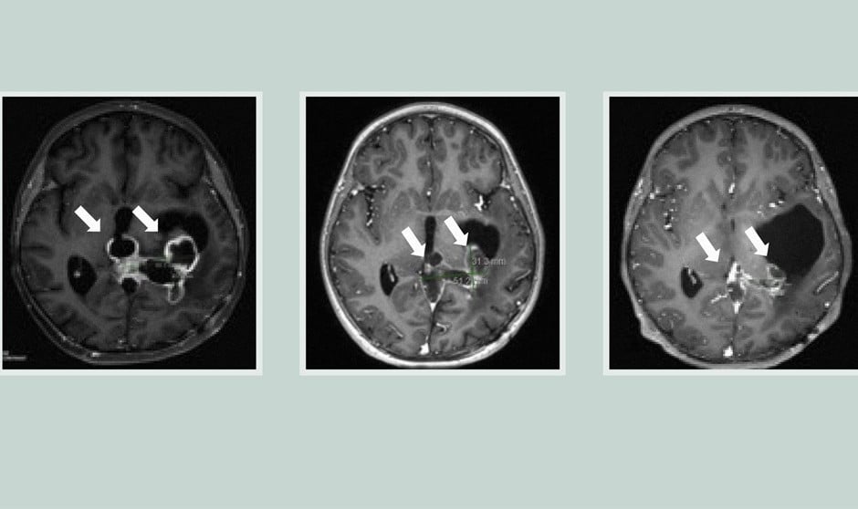
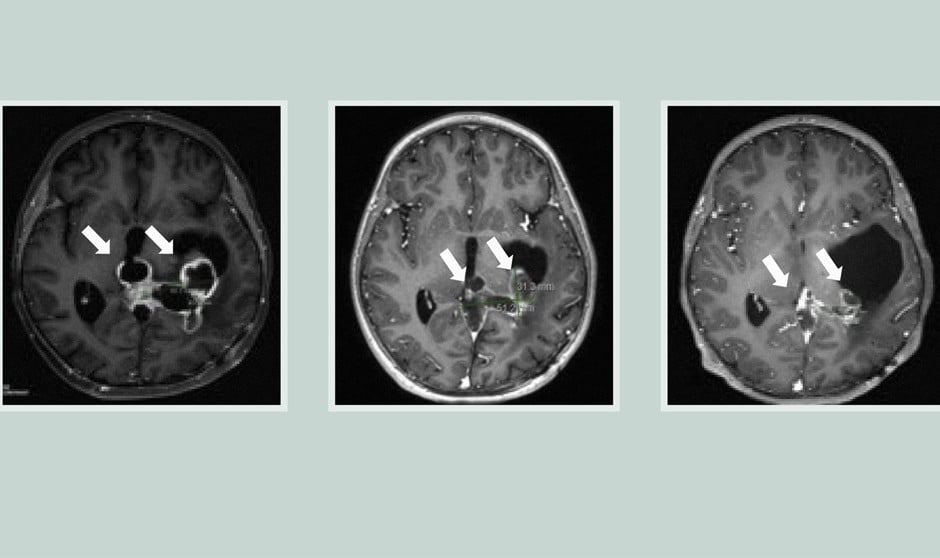
Los gliomas difusos de la línea media, incluidos los DIPG con una mutación denominada H3K27M, son particularmente agresivos, con una tasa de supervivencia global de 11-15 meses. Estos tumores son más frecuentes en niños y adultos jóvenes. El único tratamiento disponible es la radiación, e incluso eso es difícil ya que los tumores están situados en medio de regiones cerebrales con funciones críticas.
"Es un tumor increíblemente difícil de tratar -asegura Carl Koschmann, autor principal del estudio, profesor asociado de neurooncología pediátrica y director científico clínico del Centro de Tumores Cerebrales Pediátricos Chad Carr de Michigan Medicine (Estados Unidos)-. Antes de este estudio, ha habido más de 250 ensayos clínicos que no han conseguido mejorar los resultados. Esta es una grieta importante en la armadura".
Dos años de supervivencia en 1/3 de los pacientes
En dos ensayos clínicos en los que se probó el compuesto ONC201 en un total de 71 pacientes con gliomas difusos de la línea media mutados con H3K27M, la mediana de supervivencia global fue de casi 22 meses para los tumores que no habían recidivado en el momento de la inscripción. Casi un tercio de los pacientes vivió más de dos años.
El ONC201 siguió un camino poco habitual hasta llegar a los ensayos clínicos. Diseñado inicialmente para actuar sobre los receptores de dopamina, que están regulados al alza en muchos tumores diferentes, los investigadores vieron que el fármaco atravesaba la barrera hematoencefálica, uno de los mayores retos a la hora de diseñar fármacos para tumores cerebrales. Los ensayos iniciales en glioblastoma no tuvieron éxito, pero un pequeño número de pacientes con DMG portadores de la mutación H3K27M obtuvo resultados más prometedores. Sin entender por qué funcionaba mejor en estos pacientes, se inició un ensayo de fase 1 en niños y adultos jóvenes con DMG con mutación H3K27M.
Mientras tanto, Koschmann y su coautor, Sriram Venneti, intentaban averiguar qué ocurría en estas células tumorales. Durante el ensayo, recogieron líquido cefalorraquídeo de los pacientes. Utilizaron este líquido para analizar los cambios metabólicos y descubrieron que el ONC201 penetraba en las células tumorales y afectaba a las mitocondrias. Los pacientes que respondieron al fármaco presentaron un aumento de un metabolito llamado L-2HG producido por las células tumorales.
Koschmann califica el hallazgo de "muy inesperado". El equipo descubrió que el aumento de L-2HG invertía las señales epigenéticas definitorias del tumor, lo que hacía que las células tumorales se diferenciaran más y se dividieran menos. Cuanto más tiempo recibían ONC201 los pacientes, más tumores presentaban estas inversiones epigenéticas.
"Esto podría explicar por qué esta población de pacientes respondía tan bien al fármaco, ya que presentaba esta anomalía epigenética específica que podía ser desactivada por el ONC201. Los tumores tienen un cambio epigenético causado por la mutación H3K27M y el ONC201 deshace metabólicamente ese cambio", apunta Venneti, profesor asociado de patología y pediatría y director de investigación científica del Centro de Tumores Cerebrales Pediátricos Chad Carr de Michigan Medicine.
Combinación con otras terapias
En la actualidad se están llevando a cabo más ensayos clínicos, entre ellos el de ONC201 en combinación con otras terapias. Los investigadores del Centro de Tumores Cerebrales Pediátricos Chad Carr de la UM también siguen buscando formas de superar la resistencia al ONC201 mediante combinaciones de fármacos.
Koschmann señala que incluso una supervivencia casi duplicada no es suficiente para las familias de los pacientes con este diagnóstico, ya que el tumor sigue siendo muy letal, pero espera que este primer paso dé lugar a saltos mayores en el futuro.
"Por ahora tenemos esta población de pacientes que antes no tenía un fármaco, y ahora vemos que muchos de los tumores responden. Tenemos una plataforma sobre la que construir y también podemos explicar por qué funciona", afirma. "Estamos realmente entusiasmados con este estudio y prevemos que el ONC201 se convierta en el tratamiento estándar para estos pacientes en un futuro próximo", concluye Venneti.
REGÍSTRATE GRATIS
PARA SEGUIR LEYENDO
¿Ya eres premium? Inicia sesión
Aviso importante
El usuario desde el que está intentando acceder a este contenido no está registrado como profesional autorizado para acceder a esta información. Esta noticia informa sobre novedades farmacológicas y, por ley, está reservada a profesionales de la salud habilitados para la prescripción o dispensación de medicamentos.
Volver a la portada de Redacción Médica
Las informaciones publicadas en Redacción Médica contienen afirmaciones, datos y declaraciones procedentes de instituciones oficiales y profesionales sanitarios. No obstante, ante cualquier duda relacionada con su salud, consulte con su especialista sanitario correspondiente.