También logra reducir la compresión de la mama respecto a la tradicional

La mamografía en 3D detecta un 30% más de tumores que la estándar
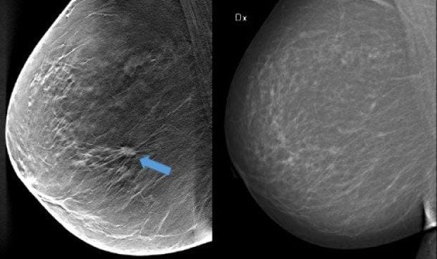
Diferencia entre una mamografía en 3D (izquierda) y una tradicional.


SE LEE EN 2 minutos
La mamografía en 3D detecta un 30 por ciento más de tumores de mama que la mamografía tradicional, según un estudio realizado en más de 15.000 mujeres durante un periodo de cinco años por expertos de la Universidad de Lund (Suecia), y que ha sido publicado en la revista Lancet Oncology.

"Con la mamografía en 3D, se detectó un 34 por ciento más de tumores cancerosos en comparación con la mamografía estándar actual. Al mismo tiempo, pudimos reducir la compresión de la mama durante el examen, algo que puede alentar a más mujeres a participar en la detección", han explicado los expertos.


Bajas dosis de rayos X


No obstante, han reconocido que tuvieron que volver a llamar a algunas mujeres más para exámenes adicionales en comparación con la mamografía tradicional. "Necesitamos confirmar que estas mujeres no tenían cáncer, ya que este método encuentra más estructuras en el seno en general", han apostillado.

Y es que, en la mamografía tradicional todo el tejido mamario se captura en una sola imagen, mientras que en la de 3D se toman varias imágenes de rayos X de baja dosis del seno desde diferentes ángulos, lo que aumenta la posibilidad de detectar tumores. Además, la dosis de radiación puede reducirse en ciertas circunstancias.

"Hay una necesidad de mejorar la detección para muchas mujeres, y la mamografía en 3D es claramente el método más apropiado para realizar la transición en la detección del cáncer de seno", han recalcado los investigadores.
Las informaciones publicadas en Redacción Médica contienen afirmaciones, datos y declaraciones procedentes de instituciones oficiales y profesionales sanitarios. No obstante, ante cualquier duda relacionada con su salud, consulte con su especialista sanitario correspondiente.