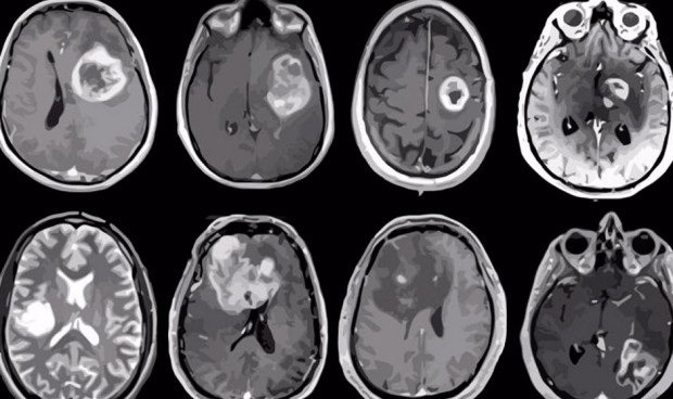
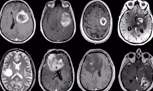
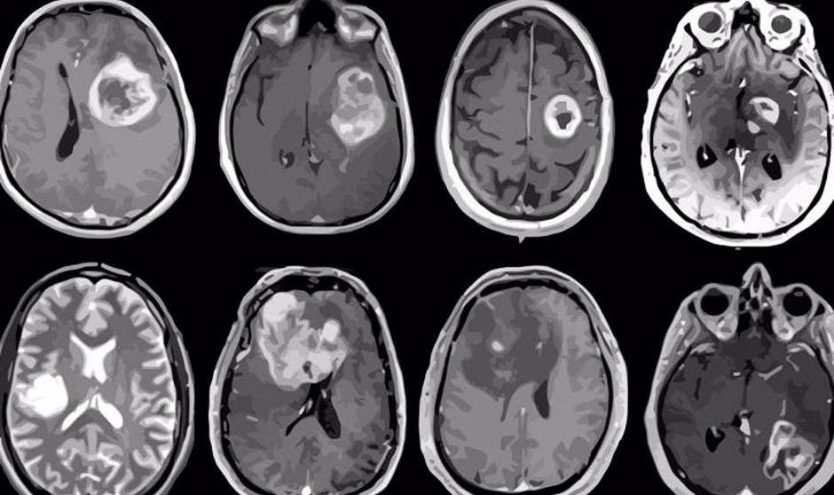
Una investigación de la Universidad de Bristol (Reino Unido) ha desarrollado un sencillo análisis de sangre para detectar los glioblastomas (GBM), que podría suponer un diagnóstico más temprano y opciones de tratamiento más eficaces y personalizadas de este tumor, el tipo más común de cáncer cerebral maligno.
La investigación, publicada en la revista científica 'The Royal Society Interface', consistió en el desarrollo de modelos matemáticos para evaluar el uso actual de biomarcadores en la detección de los GBM y cómo pueden mejorarse esas estrategias basadas en biomarcadores.
Esta investigación forma parte de un proyecto más amplio para desarrollar un análisis de sangre asequible para diagnosticar tumores cerebrales. Este proyecto interdisciplinar combina el descubrimiento de biomarcadores, el desarrollo de nanopartículas fluorescentes y nuevas técnicas de análisis con la modelización computacional.
En este estudio se desarrollaron modelos matemáticos y se emparejaron con datos experimentales. Los investigadores descubrieron que, para el biomarcador prospectivo del GBM, la proteína ácida fibrilar glial (GFAP), la reducción del umbral actual del biomarcador podría conducir a una detección más temprana de los GBM.
El equipo también utilizó la modelización computacional para explorar el impacto de las características del tumor y las diferencias de los pacientes en la detección y las estrategias de mejora.
Modelos matemáticos para más tumores cerebrales
"Nuestros hallazgos proporcionan la base para obtener más datos clínicos sobre el impacto de la reducción del umbral de detección actual del biomarcador conocido, GFAP, para permitir una detección más temprana de los GBM mediante análisis de sangre. Con más datos experimentales, también puede ser posible cuantificar las heterogeneidades de los tumores y de los pacientes e incorporar los errores en nuestros modelos y predicciones de los niveles en sangre para diferentes tumores. También hemos demostrado cómo nuestros modelos pueden combinarse con otros diagnósticos, como las exploraciones, para mejorar la visión clínica con vistas a desarrollar tratamientos más personalizados y eficaces", ha detallado Johanna Blee, autora principal del estudio e investigadora asociada del Departamento de Ingeniería Matemática de la Universidad de Bristol.
Según la doctora, estos modelos matemáticos podrían utilizarse para examinar y comparar nuevos biomarcadores y pruebas para los tumores cerebrales a medida que vayan apareciendo. "Confiamos en que esta investigación contribuya, en última instancia, al desarrollo de un sencillo análisis de sangre para los tumores cerebrales, que permita realizar diagnósticos más tempranos y detallados", ha remachado.
REGÍSTRATE GRATIS
PARA SEGUIR LEYENDO
¿Ya eres premium? Inicia sesión
Aviso importante
El usuario desde el que está intentando acceder a este contenido no está registrado como profesional autorizado para acceder a esta información. Esta noticia informa sobre novedades farmacológicas y, por ley, está reservada a profesionales de la salud habilitados para la prescripción o dispensación de medicamentos.
Volver a la portada de Redacción Médica
Las informaciones publicadas en Redacción Médica contienen afirmaciones, datos y declaraciones procedentes de instituciones oficiales y profesionales sanitarios. No obstante, ante cualquier duda relacionada con su salud, consulte con su especialista sanitario correspondiente.