Combinar la vacuna contra el cáncer de páncreas GVAX, con una inmunoterapia y un tratamiento con anticuerpos agonistas anti-CD137es seguro, aumenta la cantidad de células T del sistema inmunitario que destruyen el cáncer en los tumores y parece eficaz cuando se administra dos semanas antes de la cirugía de extirpación del cáncer, según un estudio de John Hokpins Medicine (Estados Unidos).
Este estudio, publicado en la revista científica Nature Communications, es el último de una plataforma de ensayos en curso formada en 2015 para estudiar los tratamientos de inmunoterapia antes de la cirugía (neoadyuvante) y después de la cirugía (adyuvante) en pacientes con cáncer de páncreas.
Este formato permite a los investigadores utilizar los datos generados por el ensayo para avanzar en el desarrollo de inmunoterapias para el cáncer de páncreas dentro del mismo estudio. Para los últimos resultados combinaron la vacuna contra el cáncer de páncreas GVAX, la inmunoterapia nivolumab y urelemab y un tratamiento con anticuerpos agonistas anti-CD137.
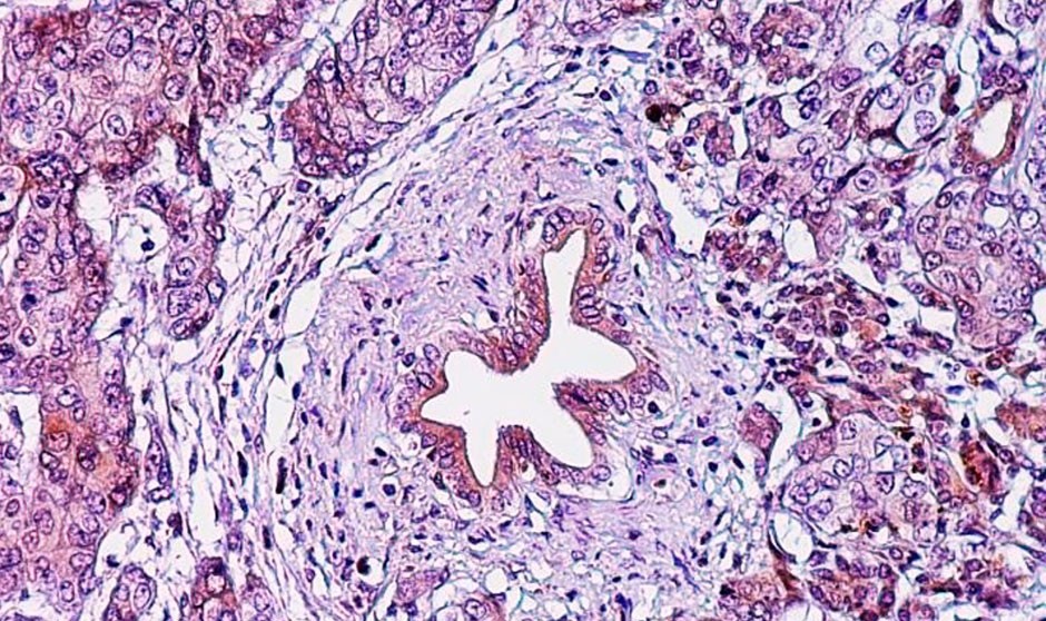
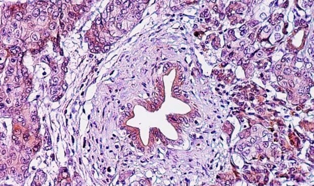
En esta parte más reciente del ensayo, 10 participantes recibieron el tratamiento combinado. La mediana de la supervivencia sin enfermedad -el tiempo transcurrido tras el tratamiento sin que se detecte cáncer- fue de 33,51 meses, y la mediana de la supervivencia global -el tiempo transcurrido hasta la muerte- fue de 35,5 meses.
Estos resultados fueron superiores a los obtenidos en brazos anteriores del ensayo que probaron la vacuna contra el cáncer de páncreas sola y en combinación con nivolumab, pero debido al reducido número de pacientes, los resultados no tuvieron significación estadística.
Las muestras tumorales estudiadas en la rama reciente también presentaban cantidades mucho mayores de células inmunitarias anticancerosas que las muestras de pacientes a los que se administró solo la vacuna o la vacuna más nivolumab.
Los resultados sugieren estudiar más esta combinación
"Los resultados sugieren que esta combinación terapéutica merece seguir estudiándose en un ensayo clínico de mayor envergadura", afirma el autor principal del estudio, Lei Zheng, codirector del Centro de Excelencia en Medicina de Precisión del Cáncer de Páncreas y catedrático de Oncología de la Facultad de Medicina de la Universidad Johns Hopkins.
El ensayo de la plataforma tiene dos objetivos en relación con los tratamientos del cáncer de páncreas administrados durante la "ventana de oportunidad" de dos semanas antes de la intervención quirúrgica, según Zheng.
En primer lugar, permite que las inmunoterapias enseñen a las células inmunitarias del paciente a responder a los tumores, de modo que puedan continuar la vigilancia más adelante si el cáncer reaparece. En segundo lugar, permite a los investigadores comprobar, mediante la evaluación de los tumores extirpados durante la intervención quirúrgica, la respuesta de los tumores al tratamiento.
El cuarto brazo del ensayo, en el que se estudian anticuerpos anti-interleucina-8 bloqueadores de neutrófilos en tumores pancreáticos, está en curso.
REGÍSTRATE GRATIS
PARA SEGUIR LEYENDO
¿Ya eres premium? Inicia sesión
Aviso importante
El usuario desde el que está intentando acceder a este contenido no está registrado como profesional autorizado para acceder a esta información. Esta noticia informa sobre novedades farmacológicas y, por ley, está reservada a profesionales de la salud habilitados para la prescripción o dispensación de medicamentos.
Volver a la portada de Redacción Médica
Las informaciones publicadas en Redacción Médica contienen afirmaciones, datos y declaraciones procedentes de instituciones oficiales y profesionales sanitarios. No obstante, ante cualquier duda relacionada con su salud, consulte con su especialista sanitario correspondiente.