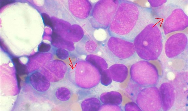
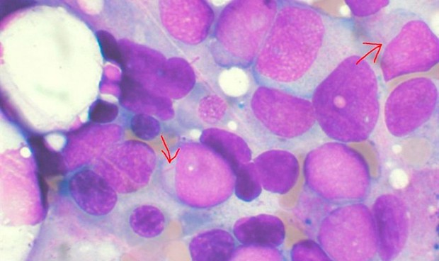
Investigadores de la Universidad de Purdue (Estados Unidos) están desarrollando una serie de compuestos farmacológicos que han demostrado ser prometedores en el tratamiento de pacientes con recurrencia de leucemia mieloide aguda.
Alrededor del 30 por ciento de estos pacientes tienen una mutación causada por una quinasa llamada FLT3, que hace que la leucemia sea más agresiva. Los inhibidores de esta quinasa han mostrado una buena respuesta inicial al tratamiento, pero los pacientes a menudo recaen debido a mutaciones secundarias.
El equipo de investigadores, liderado por Herman O. Sintim, ha desarrollado una serie de compuestos que funcionan no solo en esta leucemia con mutación FLT3 común, sino también en la resistente a los medicamentos que presenta mutaciones, como la de control F691L, que tienen algunos pacientes de leucemia que recaen.
Nueva clase de inhibidores de FLT3
"Estos compuestos tienen un gran potencial para ser la próxima generación de terapias de leucemia mieloide aguda para los pacientes con recaída que ya no responden a los inhibidores de FLT3 de primera o segunda generación", asegura Sintim, investigador principal del estudio, publicado en la revista EbioMedicine.
Los compuestos que los investigadores de Purdue están estudiando, la alquinil aminoisoquinolina y la alquinil naftiridina, han tenido éxito en estudios preclínicos. "En estudios con ratones, casi ninguna carga de leucemia fue visible después del tratamiento con compuestos durante solo unas pocas semanas. Fundamentalmente, esta nueva clase de inhibidores de FLT3 también actúa contra las mutaciones secundarias resistentes a los medicamentos, como la problemática mutacion F691L", explica Sintim.
REGÍSTRATE GRATIS
PARA SEGUIR LEYENDO
¿Ya eres premium? Inicia sesión
Aviso importante
El usuario desde el que está intentando acceder a este contenido no está registrado como profesional autorizado para acceder a esta información. Esta noticia informa sobre novedades farmacológicas y, por ley, está reservada a profesionales de la salud habilitados para la prescripción o dispensación de medicamentos.
Volver a la portada de Redacción Médica
Las informaciones publicadas en Redacción Médica contienen afirmaciones, datos y declaraciones procedentes de instituciones oficiales y profesionales sanitarios. No obstante, ante cualquier duda relacionada con su salud, consulte con su especialista sanitario correspondiente.