Investigadores británicos hallan un potencial marcador biológico para tratar la leucemia mieloide aguda

Fármacos cardiovasculares potencian la quimioterapia en leucemia


SE LEE EN 6 minutos
POR REDACCIÓN
Los medicamentos desarrollados para tratar los problemas del corazón y los vasos sanguíneos podrían utilizarse en combinación con la quimioterapia para tratar una forma agresiva de leucemia de adultos, según revela una nueva investigación dirigida por el Instituto Francis Crick, en Reino Unido.

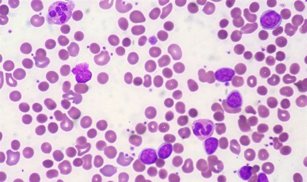
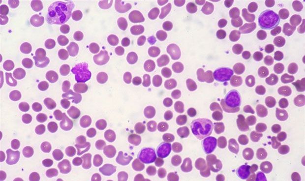
En un estudio publicado en Cancer Cell, investigadores del Francis Crick, el King’s College de Londres y el Barts Cancer Institute, en Reino Unido, descubrieron que la leucemia mieloide aguda –la leucemia aguda más común que afecta a los adultos– provoca que la médula ósea tenga una fuga sanguínea, evitando que se administre correctamente la quimioterapia.

Los fármacos que invirtieron la filtración de la médula ósea aumentaron el efecto de la quimioterapia en ratones y tejidos humanos, proporcionando una posible nueva terapia de combinación para pacientes con leucemia mieloide aguda. “Hemos encontrado que el cáncer dañaba las paredes de los vasos sanguíneos responsables de suministrar el oxígeno, nutrientes y la quimioterapia. Cuando usamos medicamentos para detener las fugas en ratones, pudimos matar el cáncer usando quimioterapia convencional”, subraya la primera autora del trabajo, Diana Passaro, del Francis Crick.


Al bloquear óxido nítrico con fármacos, se restauraron vasos sanguíneos de médula ósea


Como los fármacos ya están en ensayos clínicos para otras afecciones, se espera que puedan recibir luz verde para pacientes con leucemia mieloide aguda en el futuro. Esta patología es relativamente rara –aproximadamente, se diagnostica a 2.600 personas cada año en Reino Unido–, pero como afecta principalmente a personas mayores de 65 años, es probable que la prevalencia aumente con el envejecimiento de la población. Es un cáncer particularmente agresivo, con menos de un cuarto de pacientes que vive tras cinco años después del diagnóstico. La resistencia a quimioterapia y la recaída son un problema importante en el tratamiento de la enfermedad.

Para estudiar cómo la leucemia mieloide aguda afecta a la médula ósea, el equipo inyectó a ratones médula ósea de pacientes con esta enfermedad y, más tarde, compararon su médula ósea con la de ratones sanos usando una técnica llamada microscopía intravital, que permite ver procesos biológicos en animales vivos. Los investigadores descubrieron que los tintes fluorescentes precargados salían de los vasos sanguíneos de la médula ósea en ratones con leucemia mieloide aguda, pero no de ratones sanos.

A continuación, el equipo trató de entender qué causó que la médula ósea de roedores con leucemia mieloide se volviera estéril al estudiar los cambios moleculares en las células que recubren los vasos sanguíneos, detectando que tenían hambre de oxígeno en comparación con los roedores sanos, probablemente debido a que las células de leucemia mieloide aguda consumen mucho oxígeno en el tejido circundante. En respuesta a una reducción en el oxígeno, hubo un aumento en la producción de óxido nítrico, una molécula que normalmente alerta al cuerpo de áreas con bajo nivel de oxígeno.

Restauración de los vasos sanguíneos de la médula ósea

Como no es un relajante muscular, el equipo sospecha que podría estar causando las fugas de la médula ósea al aflojar las costuras apretadas entre las células, permitiendo que la sangre se escape a través de ellas. Al bloquear la producción de óxido nítrico con fármacos, el equipo pudo restaurar vasos sanguíneos de médula ósea en ratones de leucemia mieloide aguda, evitando que la sangre se escapara. Los roedores que recibieron bloqueadores de óxido nítrico en combinación con quimioterapia tuvieron una progresión mucho más lenta de la enfermedad y permanecieron en remisión mucho más tiempo que los que recibieron solo quimioterapia.


"Al restaurar el flujo sanguíneo normal, nos aseguramos que la quimioterapia llega a las céulas de leucemia"


“Cuando los vasos están goteando, el flujo sanguíneo de la médula ósea se vuelve irregular y las células de leucemia pueden encontrar fácilmente lugares para esconderse y escapar de los medicamentos de quimioterapia –dice Passaro–. Los vasos con fugas también impiden que el oxígeno llegue a partes de la médula ósea, lo que contribuye a una mayor producción y fugas de óxido nítrico”.

“Al restaurar el flujo sanguíneo normal con desbloqueadores de óxido nítrico, nos aseguramos de que la quimioterapia realmente llega a las células de la leucemia, por lo que la terapia funciona correctamente”, añade. Además de asegurar que los fármacos de quimioterapia alcancen sus objetivos, el equipo también detectó que los bloqueadores de óxido nítrico elevaron el número de células madre en médula ósea. Esto también puede mejorar los resultados del tratamiento ayudando a las células sanas a superar a las cancerosas.

Además, las biopsias de la médula ósea de pacientes con leucemia mieloide aguda tenían mayores niveles de óxido nítrico que los de donantes sanos, y la falta de reducción de los niveles de óxido nítrico se asoció con el fracaso de la quimioterapia. “Nuestros resultados sugieren que podría ser posible predecir cómo de bien responderán las personas con leucemia a la quimioterapia”, dice Dominique Bonnet líder del grupo en el Instituto Francis Crick.

“Hemos descubierto un marcador biológico para este tipo de leucemia, así como un posible objetivo farmacológico. El siguiente paso serán los ensayos clínicos para ver si bloqueadores de óxido nítrico pueden ayudar a los pacientes con leucemia mieloide aguda, tanto como sugieren nuestros experimentos pre-clínicos”, concluye. 
Las informaciones publicadas en Redacción Médica contienen afirmaciones, datos y declaraciones procedentes de instituciones oficiales y profesionales sanitarios. No obstante, ante cualquier duda relacionada con su salud, consulte con su especialista sanitario correspondiente.