Se estima un 34% más de mortalidad en pacientes con mieloma múltiple que ingresan por coronavirus

Los diagnósticos de mieloma están retrasándose por la pandemia de Covid-19


SE LEE EN 2 minutos
Expertos reunidos en un seminario organizado por la Sociedad Española de Hematología y Hemoterapia (SEHH), con el apoyo de la compañía Janssen, han advertido de un retraso diagnóstico en los nuevos casos de mieloma múltiple por la pandemia de Covid-19. De hecho, los resultados preliminares de un estudio del Grupo Español de Mieloma apuntan hasta un 34 por ciento más de mortalidad en pacientes con mieloma múltiple que han ingresado por coronavirus.

DIRECTO | Siga aquí toda la actualidad sobre el coronavirus

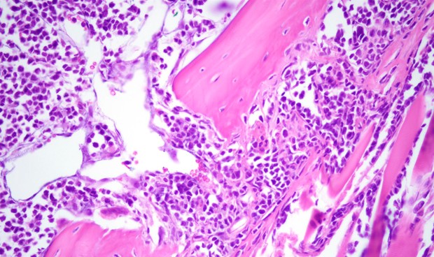
El mieloma múltiple es una neoplasia hematológica compleja y heterogénea desde los puntos de vista epidemiológico, clínico y molecular, caracterizada por la proliferación de células plasmáticas clonales en la médula ósea y la aparición, en la mayoría de casos, de un componente monoclonal en suero y/o en orina.

Esta enfermedad afecta a personas mayores fundamentalmente y representan el 10 por ciento de todo el cáncer hematológico. Se estima que en España podría haber cerca de 25.000 pacientes con mieloma múltiple activo en tratamiento y cada año se diagnostican de 3 a 5 casos por cada 100.000 habitantes (entre 2.000 y 3.000 personas).


Curación del mieloma múltiple


Dejando la actual pandemia a un lado, Jesús F. San Miguel, de la Clínica Universidad de Navarra, ha afirmado que "hay datos esperanzadores que llevan a pensar en la futura curación del mieloma múltiple". Así, por ejemplo, el 30 por ciento de los pacientes que entraron en ensayos clínicos en 2005 siguen libres de progresión una década después.

El experto ha enumerado cuatro acciones que podrían contribuir a dicha curación: el conocimiento profundo de la biología de la enfermedad para identificar dianas; la búsqueda de técnicas muy sensibles que puedan evaluar la eficacia de los tratamientos; el abordaje de las causas de la enfermedad en lugar de la sintomatología; y la investigación y desarrollo de nuevos medicamentos y esquemas de tratamiento.

"Aunque se han aprobado cuatro nuevas indicaciones terapéuticas en el último año, llama la atención que aún no hayan llegado a la práctica clínica", denuncia.
Las informaciones publicadas en Redacción Médica contienen afirmaciones, datos y declaraciones procedentes de instituciones oficiales y profesionales sanitarios. No obstante, ante cualquier duda relacionada con su salud, consulte con su especialista sanitario correspondiente.