El CSIC ha realizado un estudio para tratar tumores en modelos de ratón

Un tipo de nanopartículas magnéticas, clave para el conocimiento de tumores
El uso de nanopartículas magnéticas metálicas para tratar los tumores ha arrojado resultados prometedores


SE LEE EN 3 minutos
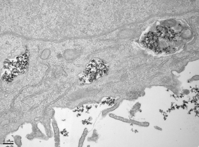
Un estudio dirigido por varios investigadores del CSIC (Consejo Superior de Investigaciones Científicas) centrado en el uso de nanopartículas magnéticas metálicas para tratar los tumores ha arrojado resultados prometedores. Los resultados de las investigaciones, publicadas en la revista Biomaterials, han mostrado que la cobertura de este tipo de nanopartículas es vital para conocer cómo se mueven y cómo se degradan en el interior de las células.

El hecho de introducir en células nanopartículas de óxido de hierro permite que se liberen fármacos de forma localizada, eliminando las células tumorales a través de la emisión de calor o para llevar a cabo diagnósticos en resonancias magnéticas. Para lograr la aprobación clínica se debe conocer al detalle cómo se comportan dentro de las células, y el estudio ha logrado revelar que la respuesta a este aspecto se encuentra en la cobertura de las nanopartículas.

Para su uso en aplicaciones médicas, se suelen recubrir de diferentes tipos de moléculas y polímeros (macromoléculas) para hacerlas más biocompatibles, estables, biodegradables y para evitar que formen agregados que podrían llegan a provocar trombos. Así pues, el trabajo revela que esta cobertura es de vital importancia para mejorar la eficacia de las nanopartículas.

El investigador Domingo F. Barber, del Centro Nacional de Biotecnología (CNB-CSIC), ha dirigido el estudio y ha asegurado “según el tipo de recubrimiento utilizado, cuando las nanopartículas entran en contacto con el entorno biológico se producen diferentes interacciones con las proteínas del medio, afectando su tamaño final, la vía de captación celular, así como el tránsito que siguen hasta su degradación en la maquinaria celular que se encarga de este proceso”.

Por otra parte, la investigadora en el CNB-CSIC, Yadileiny Portilla, ha valorado que “el tipo de recubrimiento y el aumento de tamaño de la nanopartícula por su asociación con proteínas del medio biológico son esenciales para dictar las rutas de entrada celular y el tránsito intravesicular, así como en la velocidad de degradación celular”.

Las nanopartículas, muy usadas en el campo de la biomedicina


Portilla también ha querido añadir que “en las células tumorales las nanopartículas se acumulan en endolisosomas, donde se degradan más lentamente, mientras que en las células macrofágicas del entorno tumoral, la degradación ocurre más o menos rápidamente dependiendo del recubrimiento, ya que en función de este se acumulan en vesículas con diferente capacidad de degradación. Estos hallazgos son de vital importancia a la hora de diseñar las nanopartículas ya que podremos, en función de su futura aplicación, potenciar el efecto deseado dependiendo de la diana terapéutica”.

Actualmente varios campos pertenecientes a la biomedicina han hecho uso de las nanopartículas de óxido de hierro, ya que permiten facilitar la liberación de fármacos y biomoléculas. Su capacidad a la hora de generar calor es muy usado para tratar cáncer por hipertermia intracelular y, por otra parte, pueden llegar a crear contraste en diagnóstico en imágenes de resonancia magnética.

Las informaciones publicadas en Redacción Médica contienen afirmaciones, datos y declaraciones procedentes de instituciones oficiales y profesionales sanitarios. No obstante, ante cualquier duda relacionada con su salud, consulte con su especialista sanitario correspondiente.