Un ensayo clínico con cuatro pacientes aumenta en un 50% la supervivencia con este nuevo abordaje

El retorno del ARN mensajero permite atacar al tumor cerebral más agresivo
La FDA apoyará un nuevo ensayo clínico aumentando la muestra de pacientes.


SE LEE EN 2 minutos
POR XAVIER MAGRANER
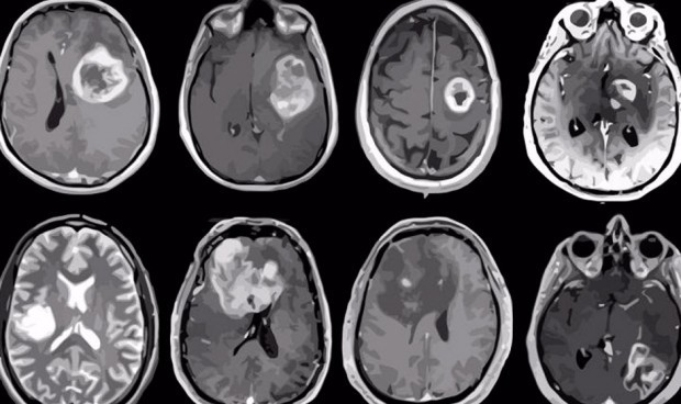
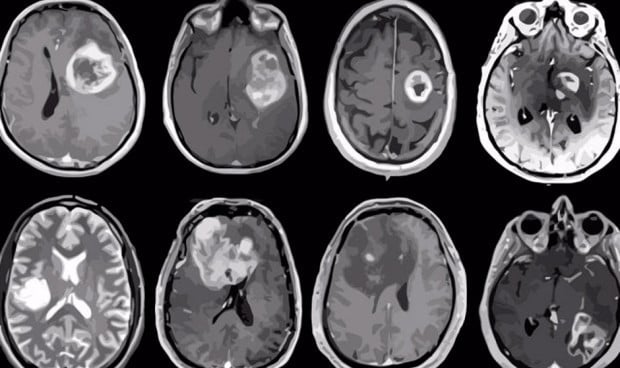
Una nueva vacuna de ARN mensajero fabricada en la Universidad de Florida contra el cáncer ha permitido reprogramar el sistema inmunológico del humano para poder atacar al tumor cerebral más agresivo de todos, el glioblastoma. Este nuevo abordaje ya se ha testado en un ensayo clínico en humanos, concretamente con cuatro pacientes adultos, logrando un resultado más que prometedor.

La vacuna, que está confeccionadas con la misma tecnología que las que se usaron frente al coronavirus, se administrará a una mayor muestra de pacientes que se presenten voluntarios. El tratamiento ha sido financiado por Estados Unidos y para asegurarse de que se podía dar el paso a los humanos, se usó previamente con ratones de laboratorio y 10 perros que sufrían tumores cerebrales.

Una de las principales novedades de la vacuna es que usa células tumorales propias del paciente, con el fin de crear una vacuna personalizada. El principal resultado cosechado hasta la fecha es que la vacuna permitió estimular una respuesta del sistema inmunológico del paciente para contraatacar el tumor.

Tras conseguir un éxito sin precedentes para luchar contra la pandemia de coronavirus, las vacunas de ARN mensajero también han demostrado su utilidad para luchar contra diferentes formas del cáncer en los primeros ensayos clínicos realizados tanto a animales como a humanos.

LA FDA apoyará un nuevo ensayo con hassta 24 pacientes


Tras su administración, los cuatro pacientes que sufrían un tumor cerebral lograron vivir libres de la enfermedad más tiempo del pronosticado. En concreto, los 10 perros vivieron una media de 139 días, cuatro veces más de lo habitual en estos casos.

El siguiente eslabón que quieren alcanzar los investigadores, y que se realizará junto con la Administración de Alimentos y Medicamentos (FDA), es un ensayo clínico de fase I ampliado que incluirá hasta 24 pacientes adultos y pediátricos para validar los hallazgos.
Las informaciones publicadas en Redacción Médica contienen afirmaciones, datos y declaraciones procedentes de instituciones oficiales y profesionales sanitarios. No obstante, ante cualquier duda relacionada con su salud, consulte con su especialista sanitario correspondiente.